CELL
裸盖菇素在重度抑郁症、酒精使用障碍等精神疾病的治疗中,已展现出显著且持久的疗效,其核心治疗机制已被证实与内侧前额叶皮层树突棘的结构性重塑密切相关。然而,这些新形成的树突棘所接收的突触前神经元输入来源还未阐明;同时,裸盖菇素如何特异性调控复杂的皮层网络投射,以及该调节作用的分子和机制均亟待探究。这些关键科学问题的解决,可以极大的提高我们对精神疾病病程进展的认识并加速药物临床转化进程。
近日,康奈尔大学研究团队在《Cell》期刊发表重要研究成果。该研究整合Cre依赖的单突触狂犬病病毒追踪技术、组织透明化三维成像技术、双光子成像技术、电生理记录技术及光/化学遗传学等多种前沿技术手段,系统揭示裸盖菇素通过不同核团之间的神经元活性变化来重塑大规模皮层网络,且其对突触输入的调控具有显著的神经网络和细胞类型特异性。
关键结果解读
全脑单突触病毒追踪:绘制裸盖菇素诱导的突触输入重构图谱
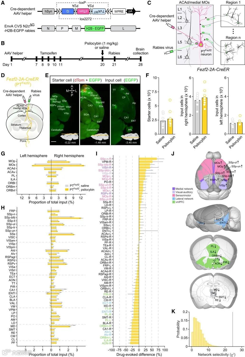
研究采用Cre依赖的单突触狂犬病病毒追踪技术(AAV辅助病毒+EnvA假型G缺陷狂犬病病毒),以Fezf2-2A-CreER和PlexinD1-2A-CreER小鼠为动物模型,分别靶向锥体细胞的锥体束(PT)亚型和端脑内(IT)亚型;结合组织透明化技术、光片荧光显微镜成像技术,成功绘制小鼠背内侧前额叶皮层锥体细胞的全脑突触连接图谱,并借助机器学习算法进行细胞计数,实现了全脑316个脑区突触连接的定量分析。研究发现,裸盖菇素处理后,PT和IT神经元的总输入细胞数量无显著变化,但突触输入来源构成发生选择性重构。
图1 裸盖菇素以网络特异性模式调控额叶皮层PT Fezf2 神经元的输入
网络特异性重塑:PT神经元的输入偏向性调控
组织透明化技术结合定量分析结果显示,裸盖菇素可显著增强PT神经元来自内侧神经网络、感觉运动网络及视觉-听觉网络的突触输入(如初级躯体感觉皮层、RSP区域、初级视觉皮层等脑区),同时显著削弱其来自外侧神经网络和腹内侧前额叶皮层的突触输入,上述差异具有显著统计学意义(p=6×10⁻⁵)。该结果提示,PT神经元作为“亚皮层投射通路”的核心组成部分,其突触输入重构倾向于感知信号向亚皮层区域的传导转换。
图2 裸盖菇素对PI神经元和TI神经元的信号输入产生完全相反的调控效应
细胞类型拮抗效应:PT与IT神经元的输入调控呈反向模式
通过对比PT(Fezf2标记)和IT(PlexinD1标记)神经元在生理盐水对照组与裸盖菇素处理组中的突触连接差异,Pearson相关分析显示两者的突触输入重构呈显著负相关关系(r=-0.58,p=5×10⁻⁷):IT神经元对感觉运动神经网络的突触输入显著减少(降低4%),而对外侧神经网络和腹内侧前额叶皮层的突触输入显著增强(分别升高10%和8%),与PT神经元的调控模式完全相反;此外,两种细胞接受来自新皮层外区域的突触输入均显著降低,但PT神经元的效应更为显著(12% vs 3%)。上述结果证实,裸盖菇素对皮层神经网络的重塑具有严格的神经细胞特异性。
图3 裸盖菇素对PI神经元和TI神经元的信号输入产生完全相反的调控效应
机制初探:c-Fos表达与突触重构的关联性分析
研究团队进一步探究了裸盖菇素诱导突触重构的潜在机制,结果发现5-羟色胺(5-HT)表达水平与突触输入重构无强相关性;而裸盖菇素诱导的c-Fos激活与突触输入重构呈现高度相关性——PT神经元增强的突触输入均来源于c-Fos高激活区域(r=0.44,p=0.02),IT神经元增强的突触输入则来源于c-Fos低激活区域(r=-0.41,p=0.03)。该结果提示,神经活动可能是裸盖菇素诱导突触输入重构的核心驱动因素。
图4全脑c-Fos成像显示神经活动度是调控作用发生的基础
靶向验证:RSP对PT神经元的突触输入增强效应
为验证关键通路的可塑性变化,研究采用双光子纵向成像技术追踪RSP区域轴突末梢密度,结合光遗传学技术(ChR2标记RSP神经元)和脑片膜片钳记录技术检测突触传递效率。结果显示,裸盖菇素处理后1-3天,RSP区域向背内侧前额叶皮层的轴突末梢密度显著增加(第3天增加11.4%,p=0.007);膜片钳结果显示,PT神经元的光诱发兴奋性突触后电流(EPSC)振幅显著升高,配对脉冲比率(PPR)降低,提示突触前释放增加,且该增强效应可持续至少3天。上述结果直接验证了裸盖菇素使RSP-PT通路的突触可塑性增强。
图5 RSP对PT神经元的突触输入增强
活动依赖性证据:裸盖菇素选择性调控RSP投射神经元放电
通过逆行AAV标记RSP→背内侧前额叶皮层投射神经元,结合在体多通道电生理记录和光遗传学标记验证神经元技术,研究发现裸盖菇素可使RSP→背内侧前额叶皮层投射神经元的放电频率升高39%(p=0.002),该激活效应持续到给药后15分钟;同时,裸盖菇素显著降低非标记神经元的放电频率(p=0.0001)。局部场电位分析显示,裸盖菇素处理后δ波功率显著增加、γ波功率显著降低,证实其对特定投射神经元的活动具有选择性调控作用。
图6 裸盖菇素升高RSP投射神经元放电
因果验证:化学遗传学抑制阻断RSP输入重构
在裸盖菇素给药的同时,通过化学遗传学技术特异性抑制RSP神经元活动,结合单突触追踪技术观察突触输入变化。结果显示,裸盖菇素给药后,PT神经元来自RSP区域的突触输入增强效应完全消失(生理盐水组vs裸盖菇素处理组:3.3% vs 3.2%,p=1.00);而裸盖菇素对其他区域(如AIv、VPM)的突触输入调控无显著影响。该结果证实,突触前区域的神经活动是裸盖菇素诱导该通路重构的必要条件。
图7 RSP 的化学遗传抑制中断裸盖菇素引起的神经通路重连
编文:李 辉
排版:安晓鹏
- END -
About
关于睿捷生物科技有限公司
睿捷生物科技有限公司是 (realgen-bio Co., Ltd.,简称睿捷生物)致力于为国内生命科学领域提供先进、专业的仪器设备、试剂耗材的企业。公司目前是近20家国内外知名生物公司的一级代理商,为客户提供从研发到生产的各类实验室仪器,检测试剂和生产设备。
公司产品领域涵盖分子生物学、免疫学、血液学、肿瘤研究、信号通路、药物筛选、干细胞研究、神经生物学、表观遗传学等等,为用户提供系统性的科学研究完整解决方案,成为众多研究者们可以信赖的选择。
公司成立于2011年,总部位于苏州,在南京、济南、合肥都设有办事处,公司客户主要为国内领先的生物制药、细胞治疗、生物医学和各类生物技术公司,以及大量的生命科学基础研究和政府实验室,目前已服务客户单位4000余家。
睿捷-企业文化
公司的使命:高效服务客户、为客户持续创造价值
公司的愿景:将人与科技相结合,成为生命科学领域一流的解决方案供应商
公司的价值观:诚信、公开、坚持、分享
睿捷-合作伙伴

