在ImmunoWay,我们的核心使命是透过创新的抗体解决方案,加速生物医学的突破,连接科学发现与临床治愈的桥梁。今天,我们凭借二十年深耕抗体领域的深厚积淀,正式推出PT™重组单克隆抗体定制生产平台,将抗体开发的速度、精准度和成功率提升至全新高度。将发现与诊断、治疗和治愈之间的各个环节连接起来。
鼠兔单抗平台再升级--PT™重组单克隆抗体平台
- •
无与伦比的抗原数据库:基于20年兔多抗与鼠兔单抗开发经验,我们已构建全球领先的抗原决定簇数据库,几乎覆盖所有人源与鼠蛋白。 - •
精准的抗原设计策略:凭借对蛋白结构的深刻理解,我们能为您量身定制最优的抗原方案(全长蛋白、特定片段或多肽),从源头极大提高获得高效、高特异性抗体的概率。
- •
Hypercell®高通量单细胞分选在单细胞水平上,一天内快速筛选数万个能分泌目标抗体的成熟浆细胞。 - •
AbFinder™生物信息学平台:对筛选出的细胞进行NGS测序,并通过Phylogenetic tree,VH-VL Circos plot分析等高级分析,智能筛选出最优的VH-VL配对序列。 - •
核心突破:相比从记忆B细胞中筛选,直接筛选浆细胞能获得亲和力成熟度更高的抗体。平台兼容鼠、兔等多种物种,极大缩短研发周期。

采用标准化细胞培养与自动化生产工艺,结合多步层析精细纯化技术(如Protein A/G、离子交换、疏水层析),严格去除HCPs,DNA,脱落配体,寡聚体/单体片段,确保高纯度、高活性。每批次均经严格质控检测,实现兔单抗批次间高度一致,稳定可靠,满足工业级科研与诊断应用需求。
fig6 多步纯化后抗体纯度99%以上
4.多维度抗体验证的优势
Immunoway同时依据靶标的背景数据调查,表达丰度、时空表达特异性、抗体的检出阈值、以及合适的检测方式等,选择最适合的验证策略。在WB IHC IF实验中验证抗体质量,筛选出高亲和力,高稀释比,稳定性高的抗体以供客户使用
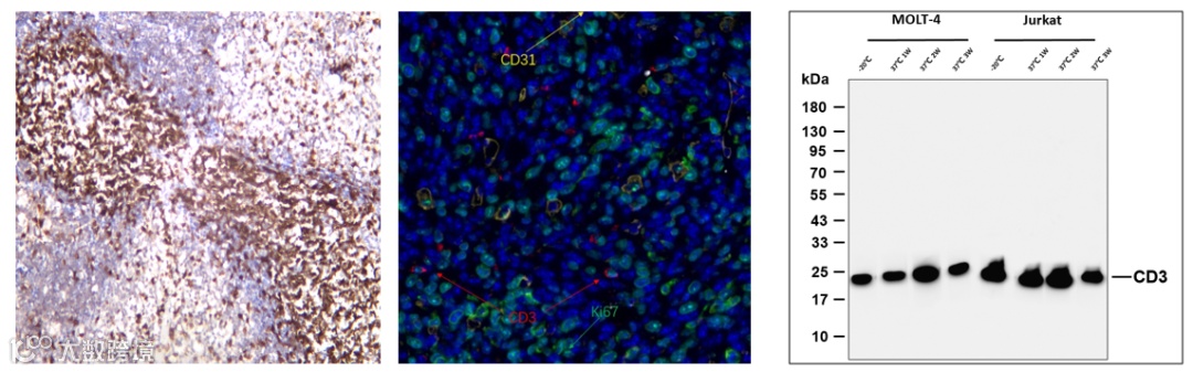
fig7 CD3抗体的WB IHC IF鉴定
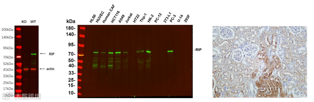
RIP (PT0147R) PT™ Rabbit mAb-YM8084
HDAC2 (PT0063R) PT™ Rabbit mAb-YM8033
- •
端到端流程:无缝衔接“抗原设计→浆细胞筛选→序列分析→抗体验证”全流程。 - •
硬软件结合:“Hypercell®硬件 + AbFinder™软件”强强联合,提供从筛选到分析的闭环服务。 - •
高效与经济兼具:高通量自动化操作不仅极大提升了效率,更显著降低了单次研发成本。
- END -
About
关于睿捷生物科技有限公司
睿捷生物科技有限公司是 (realgen-bio Co., Ltd.,简称睿捷生物)致力于为国内生命科学领域提供先进、专业的仪器设备、试剂耗材的企业。公司目前是近20家国内外知名生物公司的一级代理商,为客户提供从研发到生产的各类实验室仪器,检测试剂和生产设备。
公司产品领域涵盖分子生物学、免疫学、血液学、肿瘤研究、信号通路、药物筛选、干细胞研究、神经生物学、表观遗传学等等,为用户提供系统性的科学研究完整解决方案,成为众多研究者们可以信赖的选择。
公司成立于2011年,总部位于苏州,在南京、济南、合肥都设有办事处,公司客户主要为国内领先的生物制药、细胞治疗、生物医学和各类生物技术公司,以及大量的生命科学基础研究和政府实验室,目前已服务客户单位4000余家。
睿捷-企业文化
公司的使命:高效服务客户、为客户持续创造价值
公司的愿景:将人与科技相结合,成为生命科学领域一流的解决方案供应商
公司的价值观:诚信、公开、坚持、分享
睿捷-合作伙伴

