
Immunoway坐拥中美双研发体系的雄厚实力,二十年来深耕抗体领域,匠心独运,构建了多元化的抗体研发平台。纳米基因工程抗体的精妙、鼠单克隆抗体的精准、兔多克隆抗体的广泛应用,共同织就了一张覆盖抗体研发全方位的技术网络。
我们凭借平台的卓越优势,倾注重磅资源,精心雕琢,成功搭建了兔重组基因工程抗体研发的新高地——PT® Rabbit mAb研发平台。这不仅是对抗体技术的一次革新,更是对科学探索精神的极致追求。
Immunoway,以匠心铸就品质,以科技引领未来,致力于在抗体研发的道路上不断前行,书写更多辉煌篇章。
兔重组基因工程抗体是抗体工程领域的一项重要成果,它结合了基因工程技术和兔免疫系统的独特优势。通过基因工程技术,将兔免疫系统中产生的特异性抗体基因进行克隆、重组,并在适当的表达系统中(如哺乳动物细胞)进行表达而获得的抗体。这种抗体既保留了兔源性抗体的高特异性和高亲和力,又通过基因工程手段实现了抗体的可重复性和稳定性,为生物医学研究、工业检测、临床诊断和治疗等领域提供了高质量的抗体工具。
Immunoway的兔重组基因工程抗体——PT® Rabbit mAb 研发平台拥有四重特异性筛选环节,以确保抗体的高度特异性和高亲和力。
首先用特异性多肽或者真核蛋白对兔子进行免疫,刺激其免疫系统产生特异性抗体,抽取血液做内源性样本的特异性检测和血清效价的检测;
在B细胞筛选过程中,通过双阳性流式细胞分选,分离出B细胞表面IgG+和抗原特异性+的B细胞;
然后对单B细胞进行培养,并通过Elisa、WB、IF等实验对阳性B细胞进一步进行特异性筛选鉴定;
将筛选出的B细胞中的抗体可变区基因进行克隆与重组,将重组抗体基因导入哺乳动物细胞中进行表达,再通过如Elisa、WB、IHC、IF、FCM、IP等全面特异性验证方式进行检测;
最后通过细胞培养、抗体表达和纯化等步骤,获得高纯度的兔重组基因工程抗体。

技术路线
WB:AKT (Phospho Ser473) (PT0470R) Rabbit mAb YM8304
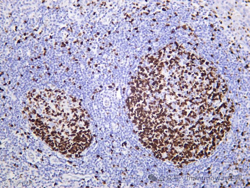
IHC: CD19 (PT0089R) rabbit mAb YM8051
Immunoway专业且高标准的研发平台,注重每一个研发细节,保证抗体的高特异性和高亲和力,确保批次间的一致性和稳定性。以卓越的品质,赢得了广大客户的信赖和好评。
严格的四重特异性筛选流程,确保抗体具有极高的特异性。通过多样本、多应用的全面检测,层层把关,全方位满足高标准要求。
兔重组基因工程抗体拥有更高的亲和力,得益于其更长的CDR3区域,使得抗体能够更紧密地与抗原结合,从而提高检测的灵敏度和准确性。
抗体适用于多种实验技术,包括Western blot(WB)、免疫组化(IHC)、免疫荧光(IF)以及免疫沉淀(IP)等,且能达到IP级别的高品质要求。这为您的研究提供了更多的选择和灵活性。
兔重组基因工程抗体具有超高的稀释比例,保证实验效果的同时,减少抗体的使用量,从而降低成本,提高实验的经济性。
无血清真核表达系统,确保确保批次间的一致性和稳定性,这为您的实验提供了可靠的保障。

Catalog No.:YM8024
Name: NLRP3 (PT0049R) rabbit mAb
Applications:WB;IHC;IF;IP;ELISA
Reactivity:Human;Mouse;Rat;

Catalog No.:YM8025
Name: SQSTM1/p62 (PT0051R) rabbit mAb
Applications:WB;IHC;IF;IP;ELISA
Reactivity:Human;Mouse;Rat;

Catalog No.:YM8023
Name: CD86 (PT0048R) rabbit mAb
Applications:WB;IHC;IF;IP;ELISA
Reactivity:Mouse

Catalog No.:YM8045
Name: PI3-Kinase p85α(PT0082R)rabbit mAb
Applications:WB;IHC;IF;IP;ELISA
Reactivity:Human;Mouse;Rat;

Catalog No.:YM8058
Name: Caspase-3 (PT0099R) rabbit mAb
Applications:WB;IHC;IF;IP;ELISA
Reactivity:Human;Mouse;Rat;

Catalog No.:YM8147
Name: LC3B (PT0235R) rabbit mAb
Applications:WB;IHC;IF;IP;ELISA
Reactivity:Human;Mouse;Rat;

Catalog No.:YM8209
Name: NLRP3 (PT0049R) rabbit mAb
Applications:WB;IHC;IF;IP;ELISA
Reactivity:Human;Mouse;Rat;

Catalog No.:YM8175
Name: Bax (PT0301R) rabbit mAb
Applications:WB;IHC;IF;IP;ELISA
Reactivity:Human;Mouse;Rat;

Catalog No.:YM8148
Name: p21 (PT0237R) rabbit mAb
Applications:WB;IHC;IF;IP;ELISA
Reactivity:Human;Rat;

Catalog No.:YM8043
Name: PKM (PT0080R) rabbit mAb
Applications:WB;IHC;IF;IP;ELISA
Reactivity:Human;Mouse;Rat;
欢迎评论区留言(产品分享、经验分享、实验/学习/生活相关...)抽取评论点赞数最高前20名送好礼(集赞数量>100)!
赠送官网任意2支100ul兔重组基因工程抗体(货号YM8货号开头)(价值4000-8000)。
赠送官网任意1支100ul兔重组基因工程抗体(货号YM8货号开头)(价值2000-4000)。
赠送官网任意1支40ul/50ul兔重组基因工程抗体(货号YM8货号开头)(价值900-2000)。
赠送一张100元京东卡。
赠送50京东卡一张。
赠送可爱中国龙颈枕一个

(集赞活动结束时间:2024.11.24 17:00结束)。
本活动仅限生命科学与医学领域单位、科研院所及院校科研工作者、老师及在研学生参加,Immunoway当地授权代理商伙伴配送范围予以兑奖,感谢大家的关注。
- END -
About
关于睿捷生物科技有限公司
睿捷生物科技有限公司是 (realgen-bio Co., Ltd.,简称睿捷生物)致力于为国内生命科学领域提供先进、专业的仪器设备、试剂耗材的企业。公司目前是近20家国际知名生物公司的一级代理商,为客户提供从研发到生产的各类实验室仪器,检测试剂和生产设备。
公司产品领域涵盖分子生物学、免疫学、血液学、肿瘤研究、信号通路、药物筛选、干细胞研究、神经生物学、表观遗传学等等,为用户提供系统性的科学研究完整解决方案,成为众多研究者们可以信赖的选择。
公司成立于2011年,总部位于苏州,在南京、济南、合肥都设有办事处,公司客户主要为国内领先的生物制药、细胞治疗、生物医学和各类生物技术公司,以及大量的生命科学基础研究和政府实验室,目前已服务客户单位5000余家。
睿捷-企业文化
公司的使命:高效服务客户、为客户持续创造价值
公司的愿景:将人与科技相结合,成为生命科学领域一流的解决方案供应商。
公司的价值观:诚信、公开、坚持、分享
睿捷-合作伙伴

