在进行类器官(Organoids)研究时,构建基因敲除或过表达的稳定株是探索基因功能的关键步骤。但很多同学反馈:完全照搬2D细胞系的慢病毒侵染方法,在类器官上往往行不通。
常见问题包括:基质胶物理阻隔导致病毒无法接触细胞、转染后细胞状态差、或无法长期维持基因表达。 结合 Hans Clevers 团队在《Nature Methods》发表的经典文献(PMID: 22138822)及丹望医疗的实验室实操经验,我们总结了高效构建类器官稳定株的 3 个关键质控点:
Key point 1:
< 打破基质胶阻隔与物理状态控制 >
🔬 类器官包裹在基质胶中,慢病毒难以渗透。
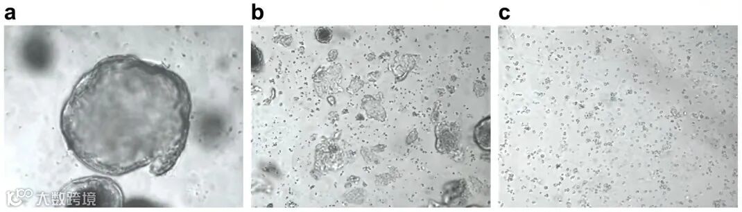
✅ 关键操作:必须将类器官从基质胶中通过机械吹打分离,并结合消化液处理成小细胞团(small cell clusters)。
⚠️注意:不要消化成单细胞(由死),也不要保留大块类器官(内芯难感染)。
控制解离程度是成功的关键,需处理至图c所示的小细胞团状态
Key point 2:
< 提高Lgr5+干细胞比例 >
📈 类器官的更新依赖干细胞。如果在分化细胞中进行编辑,基因修饰会随细胞脱落而丢失。
✅ 策略:在侵染前,对于小肠类器官等模型,建议使用 Wnt3a 等因子处理,增加 Lgr5+ 干细胞比例,确保病毒整合进干细胞基因组,实现子代长期表达。
Key point 3:
< 精准的药物筛选窗口 >
⏱️ 不同类器官对筛选药物(如 Puromycin)的敏感度差异巨大。
✅ 数据支撑:实验显示,需预先测试最低致死浓度。侵染 48h 后(待类器官恢复生长),开启加药筛选。若带荧光标记,可结合荧光显微镜观察 GFP 表达情况。
丹望医疗胃癌类器官实测数据:筛选后阳性克隆占比显著提升
Summary
< 全文总结 >
类器官病毒侵染并非“玄学”,核心在于去除基质胶干扰与保护干细胞状态。
如果你在胃癌、肠癌或正常组织类器官的培养与构建中遇到难题,欢迎参考丹望医疗(D1Med)提供的标准化试剂与技术服务体系。
- END -
About
关于睿捷生物科技有限公司
睿捷生物科技有限公司是 (realgen-bio Co., Ltd.,简称睿捷生物)致力于为国内生命科学领域提供先进、专业的仪器设备、试剂耗材的企业。公司目前是近20家国内外知名生物公司的一级代理商,为客户提供从研发到生产的各类实验室仪器,检测试剂和生产设备。
公司产品领域涵盖分子生物学、免疫学、血液学、肿瘤研究、信号通路、药物筛选、干细胞研究、神经生物学、表观遗传学等等,为用户提供系统性的科学研究完整解决方案,成为众多研究者们可以信赖的选择。
公司成立于2011年,总部位于苏州,在南京、济南、合肥都设有办事处,公司客户主要为国内领先的生物制药、细胞治疗、生物医学和各类生物技术公司,以及大量的生命科学基础研究和政府实验室,目前已服务客户单位4000余家。
睿捷-企业文化
公司的使命:高效服务客户、为客户持续创造价值
公司的愿景:将人与科技相结合,成为生命科学领域一流的解决方案供应商
公司的价值观:诚信、公开、坚持、分享
睿捷-合作伙伴

