口腔穿通性伤口(如腭裂修复术后)常因细菌感染和炎症反应导致愈合延迟,革兰氏阴性菌释放的脂多糖(LPS)通过激活TLR4信号通路引发过度炎症,破坏微生态平衡,传统治疗方法难以同时解决细菌清除和炎症调控问题。

近期,研究团队在《Advanced Materials》发表文章“LPS-Binding Hydrogel for TLR4-Mediated Microbiota-Immune Modulation”,开发了一种新型LPS结合水凝胶(OCMC-PMBP),该水凝胶由氧化羧甲基纤维素(OCMC)、抗菌多肽(PMB)和聚乙烯亚胺(PEI)组成,其中PMB可破坏细菌细胞膜直接杀灭革兰氏阴性菌,PEI通过静电作用结合并中和LPS以阻断TLR4信号通路。在腭部穿通性伤口模型中,OCMC-PMBP水凝胶显著加速伤口愈合,降低促炎因子水平,促进抗炎巨噬细胞极化,且通过16S rRNA测序证实其能维持微生物稳态;单细胞测序和免疫荧光成像进一步揭示,水凝胶通过减少中性粒细胞浸润、增强细胞黏附等机制重塑免疫微环境。该研究为复杂粘膜伤口的再生治疗提供了“抗菌 - 抗炎”双靶点策略,有望成为临床腭裂修复等手术的新选择。
创新性双功能设计:将细菌裂解(PMB)与LPS清除(PEI)相结合,实现“抗菌+抗炎”协同作用,解决了传统方法难以兼顾的问题。
多组学证据支持:结合16S rRNA测序、单细胞测序和免疫荧光成像,全面验证了水凝胶的疗效和机制,数据充分且可信。
临床转化潜力:水凝胶的生物相容性和局部递送能力使其有望用于临床腭裂修复等手术,为复杂粘膜伤口的治疗提供了可落地的解决方案。
跨学科研究范式:整合材料科学、微生物学和免疫学,为再生医学领域的跨学科研究提供了范例。
文中所用CD86抗体源自Immunoway,货号:YM8023
摘要
脂多糖(LPS)作为革兰氏阴性菌的保守成分,是一种强效免疫激活剂。当微生物失调期间释放时,它会破坏组织修复过程。LPS清除策略常受限于脂质A的低可及性—这种LPS的生物活性核心被可变寡糖结构屏蔽并嵌入细菌膜中。为此,本研究开发出协同作用的LPS结合水凝胶(OCMC-PMBP),融合了针对脂质A靶向溶解细菌的多粘菌素B(PMB)与通过静电作用捕获LPS的聚乙烯亚胺(PEI)。
该系统应用于腭裂修复相关的复杂易感染病症——口鼻穿孔伤口。临床微生物组分析及小鼠模型揭示:LPS-TLR4信号通路导致免疫紊乱与愈合障碍。通过分析发现,该水凝胶在愈合各阶段重编程免疫细胞表型,并调节巨噬细胞与中性粒细胞、上皮细胞及成纤维细胞的相互作用。本研究提出一种兼具抗菌与免疫调节功能的生物材料设计,旨在解决由菌群失调引发的炎症问题,并增强复杂黏膜创面的再生愈合能力。
核心发现1:LPS-TLR4信号是伤口愈合的"绊脚石"
研究首先证实,口腔穿通性伤口愈合不良与LPS-TLR4信号激活密切相关:
患者样本分析显示,愈合延迟的伤口中革兰氏阴性菌丰度显著升高,LPS水平增加;
动物实验表明,TLR4缺陷小鼠的伤口愈合速度明显快于野生型。
这提示靶向LPS-TLR4轴可能是促进愈合的关键。
图1 LPS-TLR4 信号传导会导致口鼻穿孔伤口愈合受阻
核心发现2:双功能水凝胶的设计与作用机制
研究者开发了一种智能水凝胶(OCMC-PMBP),它由氧化羧甲基纤维素(OCMC)、抗菌多肽(PMB)和阳离子聚合物(PEI)组成:
PMB:破坏细菌细胞膜,直接杀灭革兰氏阴性菌;
PEI:通过静电作用结合并中和LPS,阻断TLR4信号通路。
分子动力学模拟和体外实验证实,该水凝胶能高效结合LPS并破坏细菌膜。

图2 LPS结合水凝胶的设计与表征
核心发现3:加速伤口愈合,重塑免疫微环境
在腭部穿通性伤口模型中,OCMC-PMBP水凝胶显著促进愈合:
加速愈合:治疗3天后伤口面积缩小,14天时完全闭合;
抑制炎症:降低促炎因子(TNF-α、IL-6)水平,促进抗炎巨噬细胞极化;
维持微生态:通过16S rRNA测序发现,水凝胶组维持了更稳定的微生物群,并抑制了LPS合成。
图3 LPS结合水凝胶加速穿孔创伤愈合
图4 LPS结合水凝胶维持微生物群稳态
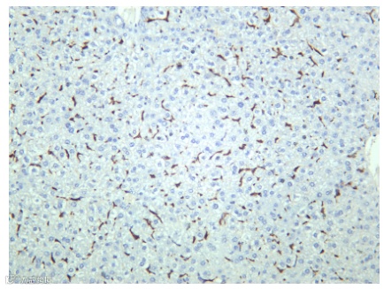
关键证据:免疫细胞的表达揭示抗炎机制
巨噬细胞是伤口愈合中的核心免疫细胞,其表型转换(促炎M1 vs 抗炎M2)决定炎症进程。研究通过单细胞测序和免疫荧光分析发现:
CD86作为M2型巨噬细胞标志物:在增殖和重塑阶段,OCMC-PMBP处理组中CD86+巨噬细胞比例显著高于对照组,表明水凝胶促进巨噬细胞向抗炎M2型极化;
免疫荧光验证:免疫荧光染色显示,OCMC-PMBP组中CD86阳性细胞数量增加,进一步证实抗炎微环境的重塑。
这些结果说明,水凝胶通过上调CD86表达,增强巨噬细胞的抗炎功能,从而抑制过度炎症,为组织再生创造有利条件。
图5 LPS结合水凝胶在增殖和重塑阶段调节巨噬细胞-效应细胞的相互作用
此外,研究结果显示:
中性粒细胞浸润减少:OCMC-PMBP处理组中Ncf1+中性粒细胞(促炎细胞)的数量显著低于对照组,说明水凝胶抑制了过度炎症反应;
细胞黏附增强:OCMC-PMBP组中MYH9(细胞黏附相关基因)的表达上调,促进成纤维细胞与上皮细胞间的相互作用,有利于组织修复。
这些荧光结果直观地证实了水凝胶通过调控免疫细胞表型和细胞间通讯,为伤口愈合创造了有利条件。
图6 LPS结合水凝胶在炎症阶段重塑LPS-TLR4介导的免疫微环境
意义:从"抗炎"到"免疫调控"的新模式
该研究首次将细菌裂解与LPS清除相结合,通过重塑微生物-免疫互作网络,实现了炎症抑制和组织再生的协同促进。这种策略不仅适用于口腔伤口,也为其他感染性炎症疾病的治疗提供了新思路。
展望:未来应用潜力
临床转化:水凝胶的生物相容性和局部递送能力使其有望用于临床腭裂修复等手术;
机制深化:单细胞测序揭示了水凝胶如何调控中性粒细胞-巨噬细胞串扰;
拓展应用:该平台可扩展至其他粘膜损伤(如牙周炎、溃疡)的治疗。
总之,这种LPS结合水凝胶通过"抗菌-抗炎"双靶点策略,为解决复杂伤口愈合难题提供了创新解决方案。未来,随着材料优化和临床验证,它可能成为再生医学领域的重要工具。
参考文献:
J. Chen, C. Wu, R. Yang, et al. “ LPS-Binding Hydrogel for TLR4-Mediated Microbiota-Immune Modulation.” Adv. Mater. 38, no. 9 (2026): e14484. https://doi.org/10.1002/adma.202514484
货号:YM8023
CD86 (PT0048R) PT™ Rabbit mAb
货号:YM8625
CD163 (PT0856R) PT™ Rabbit mAb
货号:YM8137
STAT2 (PT0114R) PT™ Rabbit mAb
货号:YM8217
Arginase-1 (PT0364R) PT™ Rabbit mAb
货号:YM8628
iNOS (PT0859R) PT™ Rabbit mAb
文末福利
留言送好礼
留言+关注送好礼
评论区留言(产品/经验分享、实验/学习/生活相关...),并关注Immunoway生物微信公众号+小红书,评论前30名将免费赠送1支50uL二抗
抗鼠或抗兔二抗任选一支:
#RS0001 产品名称:Goat Anti Mouse IgG(H+L) (HRP)
#RS0002 产品名称:Goat Anti Rabbit IgG(H+L) (HRP)
参与对象:仅限高校、科研院所、医疗机构等单位的科研人员参与。
- END -
About
关于睿捷生物科技有限公司
睿捷生物科技有限公司是 (realgen-bio Co., Ltd.,简称睿捷生物)致力于为国内生命科学领域提供先进、专业的仪器设备、试剂耗材的企业。公司目前是近20家国内外知名生物公司的一级代理商,为客户提供从研发到生产的各类实验室仪器,检测试剂和生产设备。
公司产品领域涵盖分子生物学、免疫学、血液学、肿瘤研究、信号通路、药物筛选、干细胞研究、神经生物学、表观遗传学等等,为用户提供系统性的科学研究完整解决方案,成为众多研究者们可以信赖的选择。
公司成立于2011年,总部位于苏州,在南京、济南、合肥都设有办事处,公司客户主要为国内领先的生物制药、细胞治疗、生物医学和各类生物技术公司,以及大量的生命科学基础研究和政府实验室,目前已服务客户单位4000余家。
睿捷-企业文化
公司的使命:高效服务客户、为客户持续创造价值
公司的愿景:将人与科技相结合,成为生命科学领域一流的解决方案供应商
公司的价值观:诚信、公开、坚持、分享
睿捷-合作伙伴

