做实验时常常会怀疑人生:明明已经按照实验室祖传标准流程一步步操作,但仍不是每一次都能够得到理想的结果!难道实验室传承多年的protocol也有bug?
太过相信标准流程,说不定就忽视了实验中“亿些”可以优化的要点!
那么如何避免一条protocol走到黑?
Abcam打造全新内容板块,一期一篇专题内容,重点讲解热门应用WB, IHC在实际操作过程中如何避免 “刻板印象” ,让我们一起学习如何科学的根据靶标特性优化实验流程吧!
要知道不同定位的靶标蛋白会对实验条件的选择影响是巨大的!比如之前介绍过常规的煮样操作,竟然会导致膜蛋白条带拖尾、聚集、甚至无信号,还没看过文章的可以👉🏻戳这里
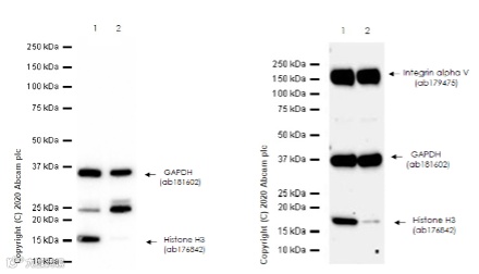
//话不多说,直接展示Abcam内部实验室结果,让我们来一起看看吧!
Western Blot
WB实验中检测核蛋白需特别注意
不同亚细胞定位的靶标蛋白适用的裂解液和裂解方法存在区别,如表1,建议参考产品说明书及文献报道,根据靶标及产品特性选择最合适的实验条件。
表1 不同样本及裂解缓冲液类型
|
样品类型 |
裂解缓冲液 |
|
全细胞 |
NP-40或RIPA |
|
细胞质(可溶性) |
Tris-HCl |
|
细胞质(细胞骨架) |
Tris-Triton |
|
|
NP-40或RIPA |
|
细胞核 |
RIPA或核裂解液 |
|
线粒体 |
RIPA或线粒体分离方案 |
核蛋白检测时,强烈推荐对样本进行超声处理,超声破碎可以更好地破坏细胞核,提高核蛋白的提取效率。
当使用全细胞裂解液检测不到信号时,建议提取细胞核组分进行检测,该方法同样适用于膜蛋白,线粒体蛋白等特定组分表达的蛋白,同时,检测时注意带上特定组分的loading control以确保提取效率。
Immunohistochemistry
IHC实验中检测核蛋白需特别注意
若IHC检测核蛋白时出现细胞核无信号现象,可能是因为抗体不能穿透蛋白所定位的细胞核,此时可尝试向封闭缓冲液和抗体稀释液中加入强效通透剂(如 Triton™ X-100);也可能是因为组织样本获取后,未及时处理,由于靶蛋白降解和细胞自溶等导致定位错误,此时建议更换新鲜处理的样本进行检测。
Immunocytochemistry
ICC实验中检测核蛋白需特别注意
对于细胞核蛋白优先尝试醛类固定,例如使用醛类(例如4%PFA)固定时,推荐室温固定10分钟。4%PFA固定细胞后,推荐使用0.1-0.25% Triton-X 100室温通透10分钟。通透处理能够在细胞质膜/核膜上打孔,使抗体能进入到细胞中和抗原发生结合,该步骤对于核蛋白的检测尤为关键。
ATF3靶点
WB检测ATF3时需要关注以下注意事项:
ATF3在部分细胞系中较容易观察到信号,比如293T;在部分细胞系中信号较弱或无信号,但刺激诱导后检测信号明显增强,比如Raw264.7,THP-1;在部分正常组织中较难检测到ATF3,比如肝脏、心脏组织,但有文献报道刺激后会增强组织中ATF3的表达。请注意不同细胞或组织的最适诱导方法可能存在区别,请根据文献或说明书选择合适的刺激诱导条件。
ATF3定位于细胞核,建议超声破碎处理细胞获得更多靶标蛋白,若全细胞裂解液检测信号仍然较弱,建议尝试提取细胞核组分增强检测信号。
ATF3实际检测分子量为21 kDa,请根据小分子蛋白实验建议进行操作。例如,在WB实验中使用15%或更高浓度的SDS-PAGE;转膜使用0.22μm的PVDF膜,并且转膜时间不要过长,防止信号丢失。
MDM2靶点
WB检测MDM2时需要关注以下注意事项:
MDM2存在明显存在表达特异性,在癌症组织中较容易检测得到,但在正常组织中低表达或不表达,可能会检测不到信号。
部分细胞系需要诱导刺激才能够检测到MDM2蛋白,请根据文献或说明书选择合适的刺激诱导条件。若不确定自己的样本是否表达靶标蛋白,强烈建议在实验中使用阳性对照(例如10uM Nutlin-3a处理24小时的2.4G2全细胞裂解液)。
MDM2定位于细胞核,建议超声破碎处理细胞获得更多靶标蛋白,若全细胞裂解液检测信号仍然较弱,建议尝试提取细胞核组分增强检测信号。
MDM2预测分子量为55 kDa,但由于存在多种异构体和翻译后修饰,以及p53激活时对MDM2的剪切作用,最终检测时观察到的分子量大小为90 kDa、60 kDa,所以可能观察到多条条带的情况,建议不要裁膜。
SOX2靶点
WB检测SOX2时需要关注以下注意事项:
SOX2在不同组织细胞中的表达不同,有些样本可能会出现弱表达或无表达的情况。请选择合适的实验样本,推荐使用阳性对照,例如NCCIT(人多能胚胎癌细胞系),以确认实验体系没有问题。
SOX2主要定位于细胞核,请选择合适的裂解方法来富集更多靶标蛋白。
IHC检测SOX2时需要关注以下注意事项:
SOX2在不同组织细胞中的表达不同,有些样本可能会出现弱表达或无表达的情况。请选择合适的实验样本,推荐使用阳性对照,例如人胶质细胞瘤,以确认实验体系没有问题。
ICC检测SOX2时需要关注以下注意事项:
SOX2主要定位于细胞核,对细胞进行通透处理尤为关键。如果用醛类(例如4%PFA)固定细胞,推荐使用0.1-0.25% Triton-X 100室温通透10分钟。
SOX2在不同组织细胞中的表达不同,有些样本可能会出现弱表达或无表达的情况。请选择合适的实验样本,推荐使用阳性对照,例如NCCIT(人多能胚胎癌细胞系),以确认实验体系没有问题。
- END -
About
关于睿捷生物科技有限公司
睿捷生物科技有限公司是 (realgen-bio Co., Ltd.,简称睿捷生物)致力于为国内生命科学领域提供先进、专业的仪器设备、试剂耗材的企业。公司目前是近20家国际知名生物公司的一级代理商,为客户提供从研发到生产的各类实验室仪器,检测试剂和生产设备。
公司产品领域涵盖分子生物学、免疫学、血液学、肿瘤研究、信号通路、药物筛选、干细胞研究、神经生物学、表观遗传学等等,为用户提供系统性的科学研究完整解决方案,成为众多研究者们可以信赖的选择。
公司成立于2011年,总部位于苏州,在南京、济南、合肥都设有办事处,公司客户主要为国内领先的生物制药、细胞治疗、生物医学和各类生物技术公司,以及大量的生命科学基础研究和政府实验室,目前已服务客户单位5000余家。
睿捷-企业文化
公司的使命:高效服务客户、为客户持续创造价值
公司的愿景:将人与科技相结合,成为生命科学领域一流的解决方案供应商。
公司的价值观:诚信、公开、坚持、分享
睿捷-合作伙伴

