在各种极端应用环境下,陶瓷总是能凭借其优异的性能脱颖而出,其中,航空航天和军工都是先进陶瓷非常火爆的应用市场。而在航空航天军用市场中,“耐高温”和“隐身”就是陶瓷的两条发展主线。
热端材料:
长期替代趋势,潜在渗透率巨大
随着军用航空发动机推重比的不断提高,涡轮进口温度不断提高。推重比7-8的第三代涡扇发动机,涡轮前进口温度为1250-1400℃左右;推重比10的第四代涡扇发动机,涡轮前进口温度为1550-1700℃;第五代涡扇发动机预计涡轮前进口温度将达到1950-2150℃。
目前热端部件采用的镍基高温合金主量元素镍的熔点为1455℃,随着单晶、热障涂层及主动气冷的潜力逐渐穷尽,新一代军用航空发动机对新型耐高温结构材料的需求愈发迫切,SiC/SiCCMC成为耐高温结构材料首选之一。
涡轮部件、燃烧室火焰筒、喷嘴等采用SiC/SiC/CMC,冷却空气用量可明显减小,甚至为零,可改善燃烧条件、提高燃烧效率、降低污染排放和噪声水平;冷却结构可大大简化甚至省去,从而降低结构设计的复杂性,提高工作温度,并进一步减轻结构质量。
▲采用碳化硅陶瓷基复合材料的燃烧室部件
欧美等航空发达国家在航空发动机用SiC/SiCCMC构件的研制与应用方面,遵循先静止件后转动件,先中温(700-1000℃)件后高温(1000-1300℃)件,先简单件后复杂件的发展思路,优先发展中温中等载荷(应力低于120MPa)静止件(密封片、调节片、内锥体等);以此为基础发展高温中等载荷(应力低于120MPa)静止件(火焰筒、火焰稳定器、涡轮外环、导向叶片等);然后发展高温高载荷(应力高于120MPa)转动件(涡轮转子、涡轮叶片等)。
目前,SiC/SiCCMC喷管调节片、密封片已在国外M53-2、M88、M88-2、F100、F119、EJ200、F414、F110及F136等多种型号军/民用航空发动机上成功试验并应用多年。由于SiC纤维含硅,能有效地减弱发动机的红外信号。因此,与C/SiCCMC相比,SiC/SiCCMC不但具有更高的力学性能、更好的抗氧化性能和更长的高温使用寿命,还具有更好的吸波性能。鉴于SiC/SiC/CMC良好的隐身性能,PW公司已将验证的SiC/SiCCMC调节片和密封片用于改进F119发动机,以实现减重、隐身并提高其耐久性等。
国内SiC/SiCCMC制备的主要研究单位包括西北工业大学、航天材料及工艺研究所、西安航天复合材料研究所、中国科学院上海硅酸盐研究所、航空工业复合材料技术中心、国防科技大学等,相关工程化生产也以科研院所技术转移为主,目前SiC/SiCCMC低成本、高可靠工程化生产是目前产业链主要的发展瓶颈之一。SiC/SiCCMC通常由碳化硅纤维、碳化硅陶瓷基体、基体与纤维之间的界面相和环境障涂层组成。碳化硅纤维在SiC/SiCCMC中起到主要的增强增韧作用。耐温能力1200℃以上的碳化硅纤维作为SiC/SiCCMC最关键的原材料,成为各航空强国的研究竞争重点。
▲碳化硅长纤维(左)与碳化硅短纤维(右)
制备SiC纤维主要有4种方法:先驱体转化法、化学气相沉积法、超微细粉高温烧结法及活性碳纤维转化法,目前只有前两者实现商品化,其中先驱体转化法为制备连续束丝SiC纤维的最主要方法,按照纤维成分组成(受具体制备工艺影响)分为第一代至第三代SiC纤维,使用温度分别为1100、1200-1250、1400-1450℃,第三代纤维的耐热温度甚至超过1700℃。
隐身材料:
高技术壁垒叠加下游需求高景气
随着雷达等先进探测手段的升级及超视距作战模式的发展,战斗机、运输机(包括改装的特种机,如加油、侦查、反潜、电子对抗等)、轰炸机、直升机、无人机、巡航导弹等各式航空装备均进入“隐身”时代。为了保证相应的气动性能及制造装配效率,外形隐身设计的潜力逐渐穷尽,且外形特征的可移植性较强,因此目前主要发展的为隐身材料,主要为雷达及红外隐身,其中后者为航空发动机及高超声速飞行器气动加热位置最重要的信号抑制领域。
● 雷达隐身材料
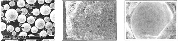
吸波材料是最重要的隐身材料之一,一般由基体材料(或粘结剂)与吸收介质(吸收剂)复合而成。在陶瓷吸波材料中,碳化硅是制作多波段吸波材料的主要成分。大连义邦引入的E-SPHERES空心陶瓷微珠是一种中空材料,其密度很低,可实现轻质、薄层、宽屏带和多频段等吸收功能,所以在微波吸收或电磁屏蔽涂料等领域应用前景广阔。
▲陶瓷空心微珠的SEM图
中国哈尔滨工业大学的一个研究团队近期发现一种轻质、耐高温吸波新材料,其密度仅为每立方厘米15毫克,是已知陶瓷材料中最轻的。据介绍,这种材料是通过先驱体分子设计合成的六方BCN三元化合物陶瓷,独特的微纳结构和成分可设计性使其在不同电磁波段具有优异的吸波性能。其吸波频段具有可调节特性。除此之外,这种具有微纳孔结构的三元化合物材料具有超疏水特性,不需借助任何外形设计即可漂浮在水面上。
据该成果的第一作者、哈尔滨工业大学张教授介绍,这种新吸波材料可以大大为飞行器、船舰减负。以美军U-2飞机为例,其吸波剂为羰基铁粉,占到涂层重量的50%以上。如果将此次发现的新材料用于隐身和屏蔽,其占涂层重量的比例将降至10%以下。
● 红外隐身材料
实现红外隐身最有效的途径是控制目标的表面温度,尽量减小目标与背景的偏差。陶瓷红外隐身材料是一种由无机陶瓷纳米材料与无机高分子材料复合而成的涂料,通过精细控制无机陶瓷纳米粒子均匀分散在无机聚合物基体中,实现高效的宽频带电磁波吸波。具有易于实现高吸收、涂层薄、耐高温、重量轻、吸收频带宽并与红外微波吸收兼容等特点。
▲歼20隐身战机
红外隐身是目前航空装备重要的、正进行的发展趋势,我国由原歼20一款主力隐身战机,已发展为多款隐身战机、隐身无人机等高端装备系列,对标先进国家,还有隐身轰炸机、隐身直升机等装备发展增量。同时,航发红外隐身处理具有极高的技术壁垒,具有独占优势的标的将充分享受装备升级换代的高景气。
本文来源于公众号“中航国创”
版权归原作者所有
ABOUT CERADIR
「CERADIR™先进陶瓷在线」——先进陶瓷行业垂直化服务平台,致力于为用户提供一站式 B2B 解决方案,专业服务全球先进陶瓷供应链上下游工厂、贸易商、服务商而自主开发的B2B行业平台,吸引全球供应商和采购商入驻。


