早!今天小编和大家分析一篇2023年1月发表在《Frontiers in Immunology》(IF:8.0+)期刊上的文章《TREM2 is associated with tumor immunity and implies poor prognosis in glioma》。作者通过分析确认了TREM2在胶质瘤中的高表达,并与肿瘤免疫和不良预后相关。该思路同样适用于其他单基因在肿瘤的研究,有相关需求的老师欢迎联系我们。
背景&方法
背景:
胶质瘤是最常见的原发性脑肿瘤,占中枢神经系统恶性肿瘤的81%。胶质瘤特点是侵袭性、复发性和不良预后,中位生存期不足15个月,5年生存率仅为10%。TREM2是免疫球蛋白超家族中的跨膜受体,也是病理性诱导的主要免疫信号中枢,能诱导细胞表型和生物学功能发生显著变化。越来越多的研究表明TREM2在肿瘤进展中发挥作用。TREM2在癌细胞中表达,并与食管癌的生存相关。此外,有研究发现TREM2在非小细胞肺癌和肝癌患者中高表达,提示TREM2的高表达与肿瘤患者的不良预后相关。然而,TREM2在胶质瘤和肿瘤免疫应答中的作用尚不清楚。本研究系统研究了TREM2的表达及其在脑胶质瘤预后中的作用,重点探讨了TREM2的分子特征、免疫学特征和预后意义,还评估了TREM2表达和关键免疫相关成分之间的相关性,探究TREM2在胶质瘤免疫过程中的作用,可能为胶质瘤的治疗提供新的思路。
方法:
1,GEPIA公共数据库获取泛癌数据;
2,ROC曲线评估预测准确性;
3,DAVID数据库进行GO和KEGG分析;
4,AmiGO2下载的已识别的生物功能GO项;
5,CIBERSORT进行免疫浸润分析;
6,UMAP进行降维,R包Seurat进行细胞聚类;
7,Kaplan-Meier曲线进行生存分析;
8,Cox回归用于分析TREM2的预后价值;
免疫组化实验分析TREM2与细胞的表面标记物共定位;
研究结果
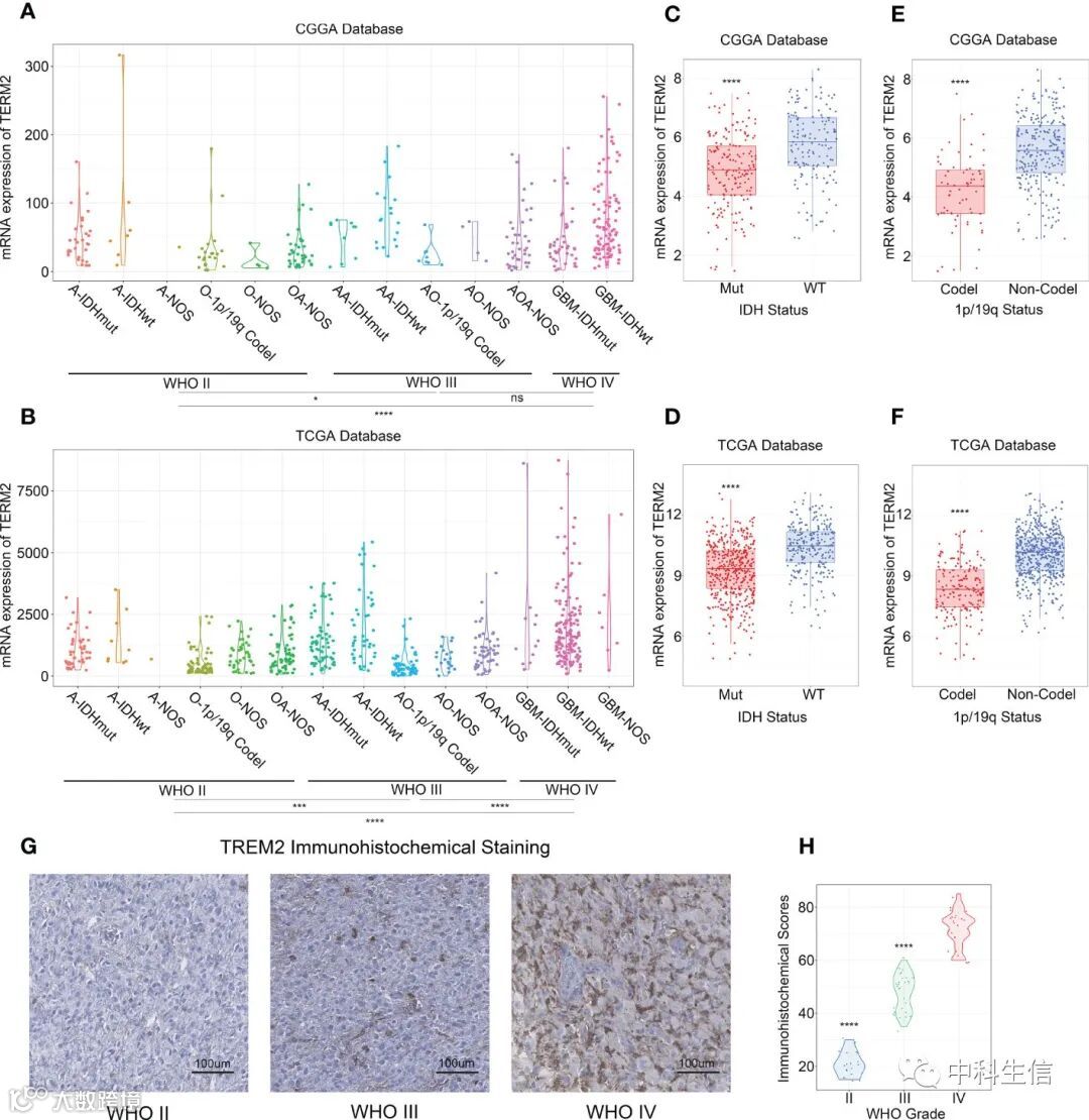
(一)TREM2高表达与恶性胶质瘤相关
文章为了研究TREM2是否是癌基因,使用GEPIA数据库比较了TREM2在31种不同肿瘤及其相应正常组织中的表达水平。结果显示,TREM2仅在GBM和LGG组织中高表达,说明TREM2可能在胶质瘤中起癌变作用。为了探讨TREM2在胶质瘤进展中的意义,文章分析了TCGA和CGGA数据库中不同病理背景患者的RNA-seq数据。首先,与WHO II和WHO III胶质瘤相比,WHO IV GBM患者TREM2表达相对较高(图1A、B),说明TREM2高表达预示胶质瘤恶性程度较高。免疫组化染色实验与RNA-seq数据一致,TREM2在GBM组织中富集(图1G, H)。
此外,考虑IDH突变状态和1p/19q共缺失状态,分别对三个数据库中的TREM2表达进行了独立研究。1q/19q染色体共缺失的低级别胶质瘤患者从放射治疗中获益更多。野生型IDH或1p/19q非共缺失患者的TREM2表达水平在所有数据库中最高(图1C-F)。通过评估TCGA数据库中染色体不稳定性的状态发现TREM2低表达水平通常伴有1p/19q共缺失。而TREM2的高表达通常伴随着7号染色体的扩增和10号染色体的缺失。结果表明,TREM2的高表达预示着高度恶性胶质瘤。
(二)TREM2是间充质胶质瘤的指标
为了研究TREM2的分子表达模式,文章通过多个数据库分析了TREM2在不同分子亚型胶质瘤中的表达分布。结果,在CGGA和TCGA数据库中,与其他三种亚型相比,间充质亚型中的TREM2显著上调(图2A、B)。为进一步验证,采用ROC曲线评价TREM2表达对各级别胶质瘤间充质亚型的鉴别能力。在CGGA和TCGA数据库中,TREM2表达的曲线下面积(AUC)分别高达80.7%和83.5%(图2C、D)。TREM2可能作为间充质亚型胶质瘤的生物标志物,因为它在间充质亚型胶质瘤中具有高度特异性的表达。
(三)TREM2与胶质瘤免疫功能相关
为了探索神经胶质瘤中TREM2表达相关的生物学过程,在CGGA和TCGA数据库中筛选出与TREM2强正相关的基因(Pearson R>0.5、p<0.0001),进行GO和KEGG分析。结果显示,正相关基因主要富集在免疫反应、防御反应、先天免疫反应、细胞因子生成、炎症反应等生物过程中(图3A、D)。此外,文章通过KEGG分析进一步研究了相关基因的信号通路。图3B、E的结果显示,相关基因与免疫应答通路密切相关,包括fc γ r介导的吞噬作用、B细胞受体信号通路、吞噬体、趋化因子信号通路、NF-κB信号通路。这些结果表明TREM2相关基因主要参与胶质瘤的免疫应答。
(四)与TREM2相关的免疫反应
为了进一步验证TREM2在胶质瘤免疫应答中的意义,文章分析了TREM2与几个参与免疫功能的基因之间的相关性。结果表明,两者之间存在明显的正相关关系(补充图4D-F)。此外,研究中发现TREM2的高表达水平表明患者的免疫活性高,但预后差。这些结果表明TREM2可能在对胶质瘤的免疫反应中发挥复杂的作用。对TREM2与AmiGO2下载的已识别的生物功能GO项进行Pearson相关分析。在CGGA和TCGA数据库中,免疫系统过程的生物学功能分别有80.46%和81.90%与TREM2呈正相关(图3C、F)。最终证明TREM2对胶质瘤免疫应答至关重要。
(五)TREM2与T细胞免疫应答和抑制性免疫检查点有关
考虑到TREM2高表达与不良预后的相关性推测TREM2可能增强肿瘤免疫逃避。为了进一步确定文章分析了TREM2与不同数据库中包含的11种免疫系统过程的相关系数(图4A, C)。结果显示,TREM2与大多数肿瘤免疫功能呈正相关,除了“T细胞介导的对肿瘤细胞的免疫应答”。为了避免T细胞介导的免疫应答,肿瘤细胞经常上调免疫检查点基因,如PD-L1、PD-L2和Galectin-9。基于以上研究结果可假设TREM2可能调节免疫检查点的表达,以协助胶质瘤细胞维持恶性表型。通过研究不同数据库中TREM2与一系列免疫检查点的相关性,证实TREM2与抑制性免疫检查点呈正相关(图4B, D)。这些结果表明TREM2可能通过免疫检查点抑制T细胞介导的免疫应答。
(六)TREM2与肿瘤相关的巨噬细胞相关
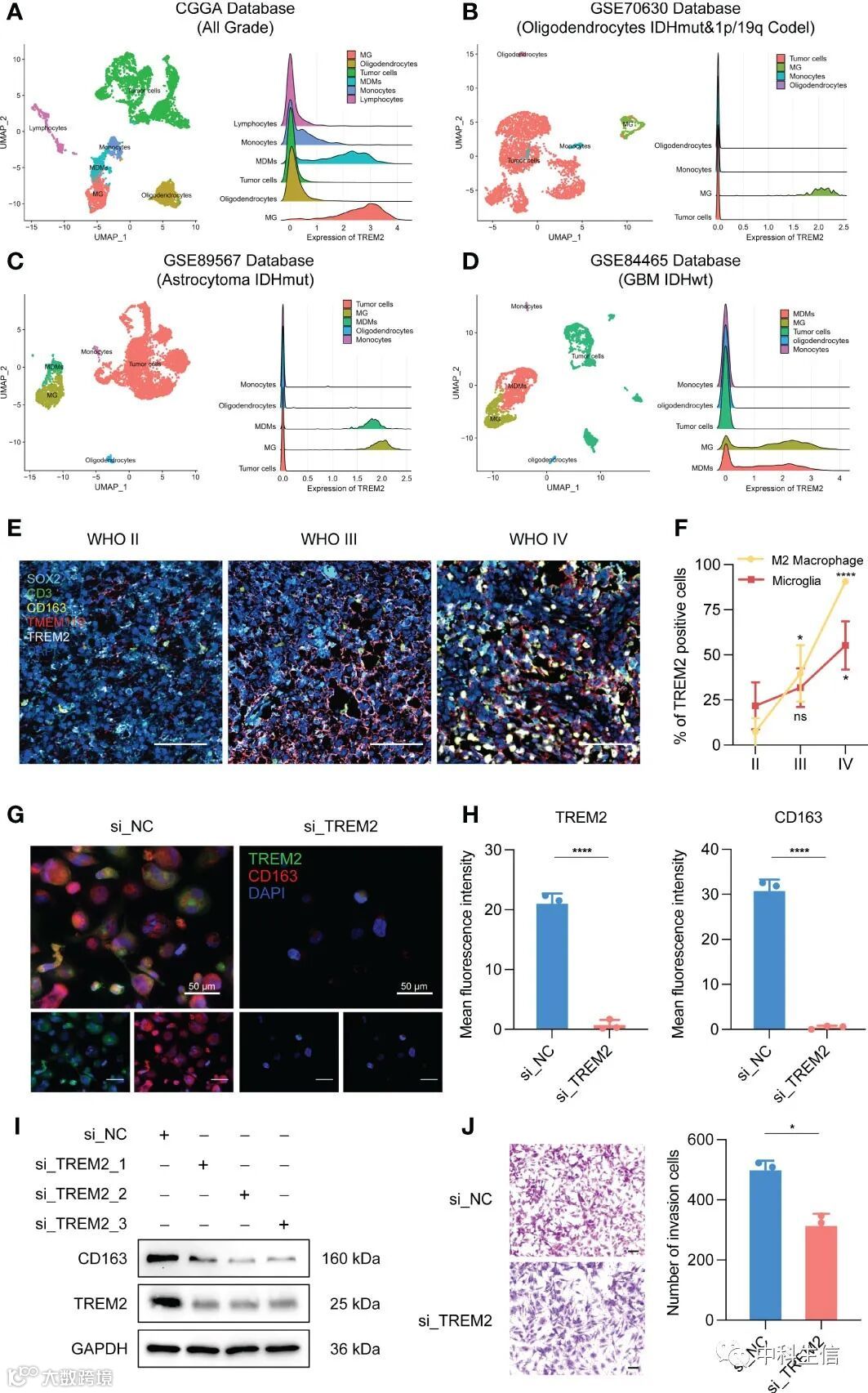
为了进一步研究TREM2在胶质瘤免疫反应中的影响,文章分析了TREM2与炎症反应的相关性。在不同数据库中,TREM2均与HCK、干扰素、MHC-I、MHC-II、STAT1、STAT2的表达呈正相关,与IgG的表达呈负相关(图5A、C)。根据这些发现,TREM2涉及多种免疫过程,在不同数据库中进行了CIBERSORT分析(图5B, D)。结果显示,M2巨噬细胞在三个数据库中与TREM2显著相关。推测TREM2可能在肿瘤浸润的巨噬细胞中表达。
为了验证假设在CGGA、GSE70630、GSE89567和GSE84465数据库中对不同级别胶质瘤患者进行了单细胞测序分析(图6A-D)。结果表明,小胶质细胞和巨噬细胞表达TREM2。此外,多色免疫组化染色显示TREM2与小胶质细胞和巨噬细胞的表面标记物共定位(图6E, F)。这些发现表明TREM2可能通过巨噬细胞重塑微环境。免疫荧光实验显示,与对照组相比,极性TREM2-knockdown THP-1细胞表达较少CD163 (m2表型标记物)(图6G, H, I)。我们发现与TREM2-knockdown THP-1细胞共培养的胶质瘤细胞侵袭能力较对照组降低(图6J)。这些结果表明TREM2通过调节巨噬细胞极化重塑微环境,并通过TAM改变胶质瘤侵袭性。
(六)TREM2是胶质瘤预后不良的指标
由于TREM2在胶质瘤免疫应答中起着关键作用,文章分析了其预测患者预后的潜力。采用Kaplan-Meier曲线分析CGGA和TCGA数据库中所有级别胶质瘤患者的预后(图7A, B)。TREM2表达增加与总生存期缩短相关。提示TREM2可能是一种恶性生物标志物。此外,对三个数据库进行Cox回归分析,以确定TREM2是否是独立的临床预测因素。TREM2表达、WHO分级、诊断年龄、IDH状态和1p/19q共缺失状态与胶质瘤患者的总生存期显著相关。多变量分析进一步证实,在调整上述临床因素后,TREM2的表达是一个显著的预测因子(图7C, D)。这些结果表明TREM2可能是胶质瘤预后不良的一个指标。
春
中科生信
节
兔
年
大
吉
春
点击蓝字 关注我们
节

