小伙伴们大家好,今天给大家分享一篇来自于Journal of Clinical and Translational Hepatology(IF = 5.065)杂志的文章《STX5 Inhibits Hepatocellular Carcinoma Adhesion and Promotes Metastasis by Regulating the PI3K/mTOR Pathway》。本篇文章证明了证明了STX5可以通过PI3K / mTOR途径促进HCC转移,STX5和mTOR的联合抑制是有效延长患者生存期和抑制HCC转移的潜在治疗方法。
背景
近年来,肝癌的发病率和死亡率仍然很高,其死亡率在癌症中排名第四(1.2%)。肝细胞癌(HCC)是原发性肝癌的主要病理类型,占3%以上。目前的几种主流治疗方式包括手术切除、肝移植、消融治疗以及索拉非尼和仑伐替尼等靶向药物治疗,这在一定程度上改善了肝癌患者的预后。然而,尽管最近在长期抵抗HCC方面取得了重大进展,但恶性肿瘤的复发率和转移率依旧很高,这使得患者的长期生存率受到关注。因此,有效改善肝细胞癌的预后仍然是一个复杂的问题,同时,确定有效的靶点并开发新的治疗策略以延长HCC患者的生存期非常重要。
方法
通过使用定量逆转录聚合酶链反应(qPCR)、蛋白质印迹和组织中RNA和蛋白质的免疫组织化学分析,作者全面评估了来自公共数据库和临床患者队列的STX5数据集。评估STX5表达与肝癌患者临床病理特征的相关性。此外,本文预测了来自差异表达基因(DEG)和癌症基因组图谱(TCGA)数据库的信号通路,并使用整合的转录组和RNA-seq证实了预测。最后,本文进一步研究了STX5在体外和体内HCC细胞迁移和粘附中的潜在机制。
结果
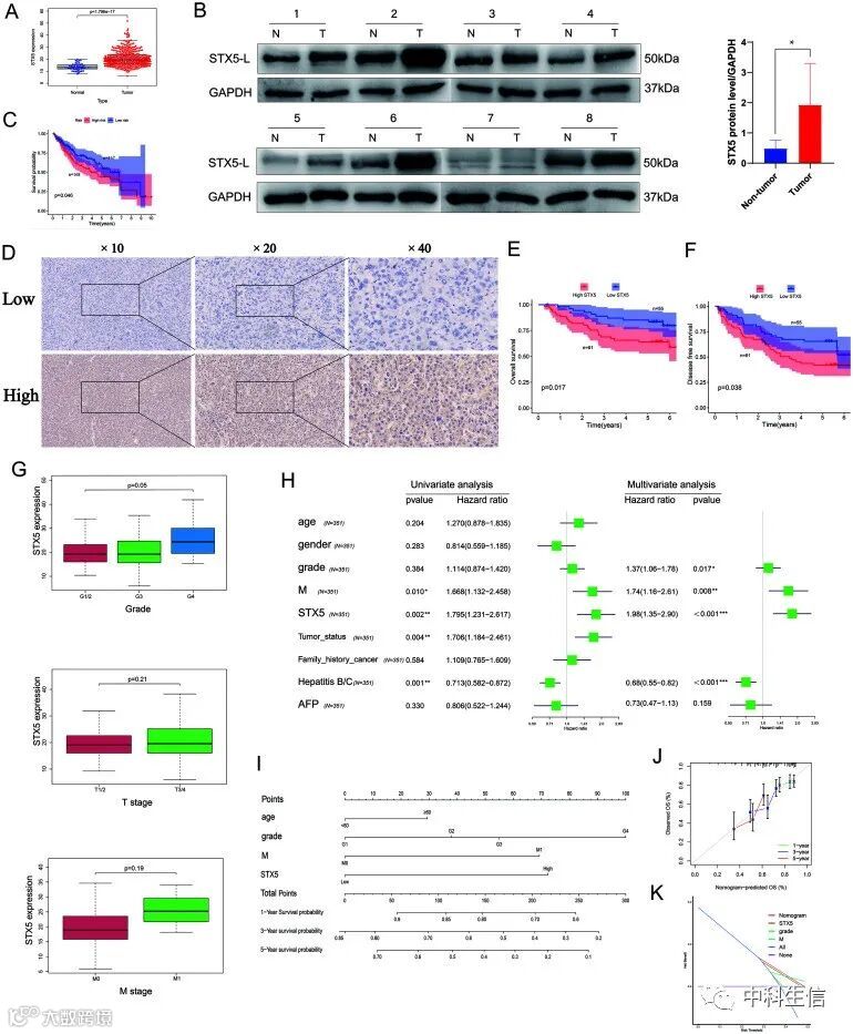
1. 与非肿瘤肝组织相比,STX5蛋白在肝癌组织中显著过表达;高 STX5 表达预示肝细胞癌预后不良
在TCGA数据库中,与非肿瘤肝组织相比,STX5 mRNA表达在HCC组织中显着过表达。同时,作者在匹配的冷冻肝细胞癌和连续的非肿瘤肝组织中证实了这一观察结果。使用TCGA数据库中发布的数据集,本文发现高STX5 mRNA表达的HCC患者的中位总生存期(OS)明显低于STX5 mRNA表达低的患者。此外,经IHC共检测116份样品,作者发现肝癌组织阳性率为81.8%,癌旁组织阳性率为17.2%。同时,通过116名患者的IHC评分,我们发现与STX5表达低组的患者相比,STX5表达高的患者OS更短,无病生存期更短。
在TCGA的HCC患者中,临床分级与STX5表达水平相关。TCGA数据库中HCC患者STX5表达水平、临床分级和临床指标的单因素和多因素Cox回归分析进一步表明,高STX5表达是HCC预后不良的独立危险因素。此外,使用五个独立的预后因素来构建预测 1年、3年和5年OS的列线图。生成校准图以比较1年、3年和5年随访时的预测OS率和实际OS率。

2. STX5表达对肝细胞粘附、迁移和EMT的影响
进一步的研究确定了STX5是否影响表达高水平STX5,Huh7和PLC/PRF/5的两种HCC细胞系中的HCC细胞粘附,迁移和EMT。用含有靶向STX5的shRNA串行的慢病毒载体转导细胞以敲低STX5表达,而LV-shSTX5观察到最佳的敲低效率。此外,作者在转染OE-STX5的MHCC97H细胞中观察到STX5的过表达,显示出优异的过表达效率。还研究了STX5过表达和抑制对HCC细胞粘附、迁移和EMT的影响。他们发现STX5过表达导致MHCC97H细胞系迁移显着增加,这与N-钙粘蛋白表达增加和E-钙粘蛋白降低一致。相反的,在通过慢病毒转导抑制STX5后,观察到Huh7和PLC / PRF / 5细胞的迁移显着减少和粘附显着增加。此外,STX5的抑制显着降低了Huh7的增殖。

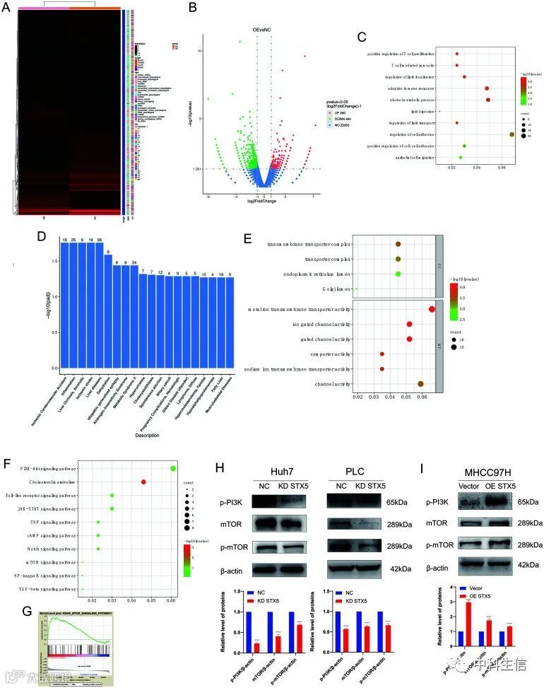
3. STX5 调控 PI3K/mTOR 通路
作者在转染OE-STX5和阴性对照载体的Huh7细胞中进行了转录组测序,并鉴定了差异表达基因(DEG)。OE-STX5和载体组中DEGs的富集分析结果表明,在生物过程方面,DEGs主要富集于细胞粘附和上皮细胞迁移。根据DisGeNET分析,DEGs在肝硬化,肝病和脂肪肝中显着富集。DEGs也富集在高尔基体腔中。KEGG途径富集分析表明,DEGs在PI3K/Akt和mTOR途径以及核因子κB(NF-κB)和JAK-STAT途径等核因子κB(NF-κB)和JAK-STAT途径中富集。GSEA表明STX5表达与HCC中的mTOR信号传导呈显着正相关。蛋白质印迹分析显示,STX5被慢病毒载体敲低24 h后,Huh7和PLC/PRF/5细胞中PI3K 110β和磷酸化mTOR(p-mTOR)水平显着下降。相反,在STX5过表达后24小时,MHCC97H细胞中p-PI3K,mTOR和p-mTOR的水平升高。数据表明STX5是一种PI3K / mTOR途径调节因子,与我们的RNA-seq和GSEA数据一致。

4. STX5表达水平对通过PI3K/mTOR途径的HCC细胞粘附和迁移的影响
1nM浓度的雷帕霉素可显着抑制STX5敲低后h7中p-MTOR的表达。当细胞与雷帕霉素(一种PI3K / mTOR抑制剂)相互作用时,STX5抑制介导的抗转移增强。STX5表达水平对HCC细胞粘附和迁移的影响通过PI3K / mTOR途径施加。作者研究了STX5过表达或抑制引起的PI3K / mTOR信号通路的抑制或诱导对HCC细胞粘附和迁移的影响。他们发现质粒的STX5过表达导致细胞迁移增加并抑制细胞粘附。此外,当细胞与雷帕霉素共处理时,STX5介导的转移被逆转。因此,结果表明,STX5过表达抑制了HCC细胞粘附,并通过PI3K / mTOR途径促进了迁移。

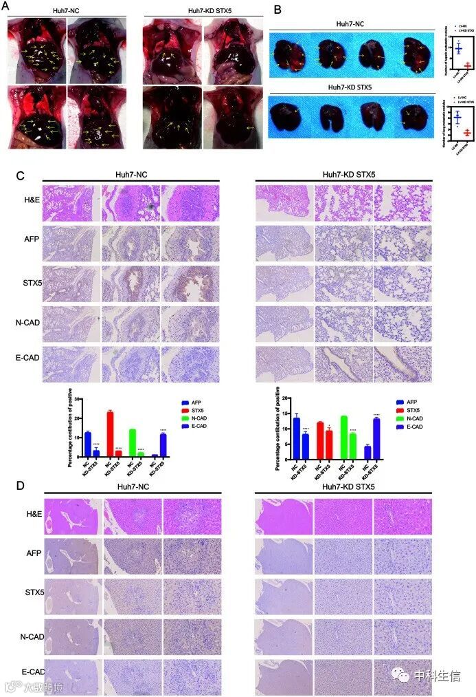
5. STX5敲低抑制体内HCC细胞转移
随后,本文在转移的侧尾静脉模型中研究了体内 STX5 抑制的抗转移作用。与接种LV-shNC Huh7细胞的裸鼠相比,接种Huh7 LV-shSTX5细胞的裸鼠肺转移、肝转移和肿瘤负荷显着降低,表明Huh7细胞的转移能力下降在击倒 STX5 后显着。重要的是,IHC 染色数据显示转移性结节中的 AFP 染色呈阳性,进一步证实了结节起源于 HCC 细胞。IHC染色也检测STX5、N-cadherin和E-cadherin在肺和肝组织中的表达。与Huh7 LV-shNC组相比,Huh7 LV-shSTX5组AFP和N-cadherin的表达更明显降低,E-cadherin的表达增加。因此,STX5 抑制抑制了体内转移性生长,证实了体外发现。



