搜索
首页
大数快讯
大数活动
服务超市
文章专题
出海平台
流量密码
出海蓝图
产业赛道
物流仓储
跨境支付
选品策略
实操手册
报告
跨企查
百科
导航
知识体系
工具箱
更多
找货源
跨境招聘
DeepSeek
首页
>
39.3高分文章:单细胞测序和空间转录组学揭示了间质性膀胱炎的免疫景观
>
39.3高分文章:单细胞测序和空间转录组学揭示了间质性膀胱炎的免疫景观
中科生信
2023-09-19
4
导读:大家好!今天小编和大家分享一篇发表在Nature子刊Signal Transduction and Targ
大家好!今天小编和大家分享一篇发表在
Nature
子刊
Signal Transduction and Targeted Therapy(IF:39.3)
杂志的文章《
Integrating single-cell RNA sequencing with spatial transcriptomics reveals immune landscape for interstitial cystitis
》。
研究使用
单细胞
RNA
测序(
scRNA-seq
)对
15
名
间质性膀胱炎(
IC
)
女性患者和
9
名压力性尿失禁对照者的
135,091
个
CD45
+
免疫细胞进行了测序
,
在构建的图谱中发现了
22
个免疫亚群
。
通过整合
scRNA-seq
和空间转录组学
(
ST
)
的结果,我们发现在
IC
患者
膀胱中,几乎所有的免疫亚群都富集在尿路上皮区域或靠近成纤维细胞的位置,但在对照膀胱中,它们是在尿路上皮和平滑肌细胞周围被发现的。这些发现描绘了
IC
的免疫图谱,或许能为
IC
的病理生理学提供有价值的见解。
背景
IC
又称膀胱疼痛综合征,以强烈的骨盆疼痛和排尿症状为特征,是一种严重衰弱的慢性疾病。
其
发病率从
0.01%
到
6.5%
不等,女性患者约为男性患者的五倍。
由于
IC
的病因和病理生理学仍是一个谜,这给诊断和治疗带来了困难。虽然没有人能够确定
IC
是否是一种自身免疫性疾病,但目前的证据表明,免疫可能在
IC
的发展过程中起着重要作用
。
因此,我们旨在研究
IC
膀胱中的免疫状况(免疫细胞亚群的分布)以及免疫可能参与
IC
进展的特定阶段。以往研究
IC
分子通路的方法主要是通过流式细胞术、病理特征描述以及芯片基因表达等方法对膀胱组织、血液和尿液进行无偏见分析。至于它们能在多大程度上反映炎症状况、细胞亚群和免疫状态,目前还不得而知。
scRNA-Seq
能够揭示细胞类型中不同的亚群,已成为捕捉疾病中免疫浸润复杂特征的有力
工具
。将
scRNA-seq
与
质量
细胞测定法(飞行
时间
细胞测定法(
CyTOF
))相结合的方法已被用于确定类风湿性关节炎关节滑膜组织中的炎症细胞状态。为了更好地了解免疫在
IC
膀胱中的作用,我们首先通过
scRNA-Seq
结合
CyTOF
对免疫参数(仅使用
CD45
+
单细胞)进行了全面的表型和功能研究。然后,通过多模态交叉分析将
scRNA-Seq
得出的免疫观点与
ST
的结果进行整合。本研究的发现揭示了
IC
患者膀胱的免疫图谱,为今后的病理生理学研究和治疗铺平了道路。
研究结果
1.
IC
患者
膀胱中
CD45
+
免疫细胞的单细胞转录特征
为了破译和构建
IC
的免疫图谱,研究人员应用
scRNA-seq
来检查隐藏在群体平均测量结果中的转录组异质性(图
1a
)。通过膀胱镜检查确定了
IC
膀胱壁的特征性病理特征显示,与对照组相比,
IC
膀胱中尿路上皮变性或解剖学缺失、血管生成和免疫细胞浸润
是
常见
的
(图
1b
)。对来自
IC
患者和对照组的膀胱标本进行新鲜采集、解剖并消化成单细胞。从
24
个样本中共分离并测序出
135,091
个
CD45
+
免疫单细胞。经过严格的质量控制后,共对
92029
个高质量的
CD45
+
免疫细胞进行了进一步分析(图
1c
)。细胞计数与基因之间的相关系数很高(
R=0.8995
),但细胞计数与线粒体基因之间的相关系数不高(
R=-0.006
)(图
1d
)。通过
PCA
进行降维,然后使用
UMAP
方法进行可视化。共检测到七种细胞类型,其中包括
T
细胞,这些细胞类型的造血和组织系决定基因最易区分:
CD3E
(
51,193
个,
55.6%
),
B
细胞:
CD79A
(
20,090
,
21.8%
),髓系细胞:
LYZ
和
CST3
(
14,656
,
15.9%
),成纤维细胞:
COL1A1
和
LUM
(
3764
,
4%
),上皮细胞:
KRT19
和
UPK1B
(
1096
,
1.19%
),
NK
细胞:
CD56/NCAM1
、
CD16/FCGR3A
和
NKG7
(
864
,
0.94%
),以及内皮细胞:
CD31/PECAM1
(
366
,
0.39%
)(图
1e-h
)。在剔除双倍细胞后,当前的细胞结构由
94.42%
的
CD45
+
免疫细胞和
5.58%
的
CD45
-
单细胞组成(图
1h
)。
IC
膀胱
中检测到的免疫细胞包括
T
细胞、
B
细胞、浆细胞、巨噬细胞、中性粒细胞和肥大细胞。然而,进一步分类的细胞类型,如调节性
T
细胞(
Treg
)、自然杀伤性
T
细胞(
NKT
)、
CD56bright CD16low NK
细胞、开关
/
非开关记忆
B
细胞(
SMB/USMB
)、
M2
样巨噬细胞以及树突状细胞(
DC
)却鲜有报道。通过对这些细胞的鉴定,可以描绘出
IC
患者更复杂、更完整的免疫图谱。
2.
对
T
细胞系和
B
细胞系进行逐步聚类,发现
CD8
+
T
细胞功能失调,
B
细胞活化异常
为了描述
IC
组和对照组之间单个
T
细胞亚群的变化,我们对
T
细胞进行了亚群划分,并根据典型
T
细胞标记物的表达获得了
9
个亚群。我们确定了
5
个
CD4
+
T
细胞群、
3
个
CD8
+
T
细胞群和
1
个
NKT
细胞群(图
2a
)。
在
CD4
+
T
细胞区系中,如图
2
所示,有两个辅助性
T
细胞群,包括
Tregs
(
FOXP3
、
CTLA4
和
IL-2RA
)和滤泡辅助性
T
细胞(
Tfh
)(
MAF
、
CXCL13
、
ICOS
和
PDCD1
)。在
CD4
+
T
细胞区系中,如图
2b
所示,通过其独特的转录因子和标记物的表达,我们发现了两个辅助性
T
细胞群,包括
Tregs
和
Tfh
。我们发现
Tregs
中几乎检测不到
IL-10
(一种重要的抗炎细胞因子),这可能意味着
IC
组的免疫调节紊乱。然后,我们观察到一个
TH17
辅助细胞
(Th17)
簇,它上调了特定于
th17
的
RORA
基因,使其成为
th17
细胞转录因子。随后,我们又发现了一个
CD3D
+
T
细胞集群,其特征是与
NK
细胞活性相关的典型基因(如
NCAM1
、
FCGR3A
、
PRF1
、
NKG7
和
GNLY
)的高表达,使它们成为
NKT
细胞。最后,效应记忆
CD4+ T
细胞(
CD4+Tem
)通过其
CCL5
、
CXCR6
和
PRDM1
的高表达被识别,中心记忆
CD4+T
细胞(
CD4+Tcm
)通过其
IL-7R
、
CCR7
和
SELL
的表达被识别。
CD69
和
ICOS
在这些集群中上调,表明这些细胞更有可能是
CD4+Tcm
,而不是幼稚
T
细胞。
TCF7
和
KLF2
的表达表明了早期中枢记忆
T
细胞表型(图
2b
)。
对
T
细胞亚群比例的分析表明,
IC
膀胱中
Treg
细胞显著增加,
Th17
细胞减少(图
2c
)。对
IC
组与对照组相比的差异表达基因(
DEGs
)进行了
GO
和
KEGG
富集分析。
Tregs
的
DEGs
主要富集于
mRNA
分解过程、病毒受体和病灶粘附(图
2d
)。然而,
Th17
细胞的
DEGs
主要富集在经典的炎症信号通路中,如
IL-17
信号通路和
NF-kappa
B
信号通路(图
2e
)。
通过
CD8A
和细胞毒性基因(
GZMA
、
GZMK
、
GZMB
、
NKG7
和
PRF1
)的高表达水平,发现了两个
CD8
+
效应
T
细胞(
CD8
+
Tef
)群。属于
CD8
+
Tef
的细胞高度表达细胞毒性标志物,而
GZMK
+
CD8
+
T
细胞集群中的细胞具有最高水平的
GZMK
,而不是
GZMA
或
GZMB
。活化的
CD8
+
T
细胞(
ActCD8
+
T
)是指表达
TRAC
、
TRBC1
和
ACTB
等活化基因的细胞,但其细胞毒性活性相对较低(图
2a
,
b
)。不出所料,
IC
组衰竭基因的表达水平相对高于对照组(图
2f
,
g
),这表明
CD8
+
T
在这种慢性疾病中功能失调。
为了进一步研究
B
细胞亚群的转录变化,我们对
B
细胞进行了亚群分类,发现了
6
个
B
细胞亚群(图
2h
),包括幼稚
B
细胞(
CD27
-
IGHM
+
IGHD
+
)、过渡
B
细胞(
TBCs
)(
CD27
-
CD24
+
IGHMlow IGHDlow
)、活化
B
细胞(
CD27
+
CD86
+
HLA
-
DRA
+
)、未切换记忆
B
细胞(
USMBs
)(
CD27
+
CD38
+
IGHMlow IGHDlow
)、切换记忆
B
细胞(
SMBs
)(
CD27
+
IGHM
-
IGHA1
+
IGHG1
+
IGHE
+
)和浆细胞(
MZB1
+
XBP1
+
)(图
2i
)。
活化
B
细胞和
USMB
明显增加,
SMB
和
TBC
减少(图
2j
)。
IC
组的大多数
B
细胞都是活化
B
细胞(
46.32%
),这表明
IC
组的
B
细胞活化程度越来越高。虽然检测到了可能表明年龄相关
B
细胞的基因表达特征,但老化相关基因的表达水平在
IC
组和对照组之间没有显著差异(图
2k
)。
B
细胞的异常活化和浆细胞的识别意味着
IC
患者可能会发生强大的体液免疫反应。因此,检测了
IC
患者和对照组血浆和尿液中的免疫球蛋白,包括
IgA
、
IgM
、
IgG
和
IgE
。虽然两组患者血浆中的所有免疫球蛋白均无统计学差异,但
IC
患者尿液中的
IgE
显著增加(图
2l
),提示
IgE
是
IC
潜在的尿液生物标记物。
3.
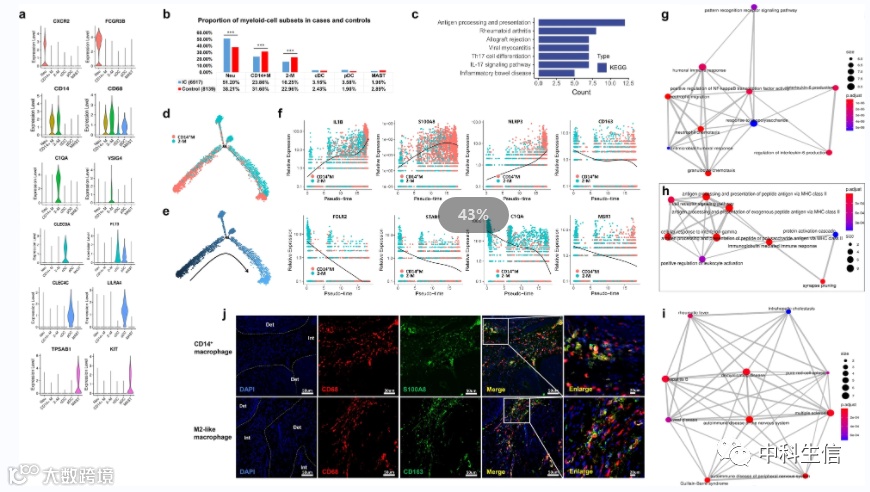
髓系细胞群的分类和注释揭示了免疫相关巨噬细胞
然后,我们对髓系细胞的分子和功能差异进行了划分。我们鉴定了六种细胞类型,包括中性粒细胞(
CXCR2
和
FCGR3B
)、炎性
CD14+
巨噬细胞(
CD14
和
CD68
)、
M2
样巨噬细胞(
C1QA
和
VSIG4
)、传统树突状细胞(
cDC
)(
CLEC9A
和
FLT3
)、浆细胞树突状细胞(
pDC
)(
CLEC4C
和
LILRA4
)和肥大细胞(
TPSAB1
和
KIT
)(图
3a
)。
IC
膀胱中的大多数髓系细胞是中性粒细胞(
51.20%
),而不是肥大细胞(图
3b
)。
KEGG
分析显示,与对照组相比,
IC
组中性粒细胞的
DEGs
在抗原处理和呈递以及类风湿性关节炎通路中显著富集(图
3c
)。伪时间分析描绘了从
CD14
+
巨噬细胞到
M2
样巨噬细胞的主流发展轨迹(图
3d
、
e
)。在分化过程中,促炎基因(
IL-1β
、
S100A8
和
NLRP3
)在
CD14
+
巨噬细胞中上调,但随着时间的推移逐渐下调。同时,吞噬基因和调节受体(
CD163
、
FOLR2
、
STAB1
、
C1QA
和
MSR1
)在
M2
样巨噬细胞中逐渐上调(图
3f
)。与对照组相比,炎性
CD14
+
巨噬细胞的功能与炎症产生有关,如
IL-6
的产生和
NF-kappa B
信号调节(图
3g
)。然而,
M2
样巨噬细胞主要通过
MHC II
类分子调节免疫(图
3h
)。此外,
M2
样巨噬细胞的
DEGs
主要富集于自身免疫性疾病,如多发性硬化症和格林
-
巴利综合征(图
3i
)。为了验证两种不同巨噬细胞的存在,对
CD68
、
S100A8
和
CD163
进行了免疫荧光染色(图
3j
)。
4.
通过
CyTOF
确认免疫表型异质性
进行了
CyTOF
分析,以确定
IC
患者膀胱内免疫亚群的特征,并验证
scRNA-seq
结果(图
4a
)。图
4b
中显示了每个群中所选标记物的蛋白质水平。图
4b
在构建的图谱中确定了来自
IC
患者和对照组的
40
个集群(图
4b
、
c
)。捕获
CD45
+
免疫细胞进行
CyTOF
分析(图
4d
)。根据标准标记,确定了不同的细胞亚群,包括
CD4
+
T
细胞(
CD3
+
CD4
+
)、
CD8
+
T
细胞(
CD3
+
CD8
+
)、
B
细胞(
CD19
)、巨噬细胞(
CD68
)、
DC
细胞(
CD11C
)、肥大细胞(
KIT
)和活化细胞(
HLA-DR
),推测的细胞类型与
scRNA-seq
的结果一致(图
4e
)。这些数据与基于
scRNA-seq
的集群定义一起,帮助验证和建立了
IC
膀胱中的细胞免疫细胞图谱。
5.
IC
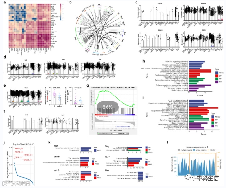
的免疫激活网络
为了确定
IC
组细胞活化之间潜在的相互作用,分析了相应受体和配体(仅趋化因子、细胞因子及其受体)的表达模式。相互作用对主要分布在内皮细胞、巨噬细胞、
cDCs
和
CD4
+
Tem
的表面(图
5a
)。基于
IC
组前
50
个相互作用对的免疫激活网络见图
5b
。此外,我们发现两种趋化因子受体(
FGFR1
和
FGFR2
)几乎在所有细胞亚群中都有表达,但它们的配体(
FGF2
和
FGF10
)主要在成纤维细胞中表达(图
5c
)。此外,这些配体在
IC
组的表达水平高于对照组
,
这些发现意味着上皮细胞和成纤维细胞可能协调了免疫细胞在
IC
膀胱中的转移。不过,需要注意的是,我们只纳入了
CD45
+
细胞进行下游分析,因此
5.58%
的
CD45
-
细胞不具有代表性(图
1h
)
,
需要进一步研究来验证这些结果。
炎症因子(
TNF
、
IFNG
和
IL-1β
)的高表达水平表明
IC
膀胱中存在强烈的炎症反应(图
5d
),这与之前的研究结果相吻合。酶联免疫吸附试验证实,尿液中的
CCL5
含量很高,而血液中的含量则不高(图
5e
),因此
CCL5
有可能成为
IC
的尿液生物标志物。
IL-10
和
IL-35
表达下降(图
5f
),
Tregs
中
TGF-β
信号通路表达上调(图
5g
),提示
IC
膀胱中
Tregs
功能失调
,
表明它们可以作为潜在的治疗靶点。除了参与免疫反应外,
IC
患者上皮细胞的
DEGs
还富集于人类乳头瘤病毒感染以及病毒蛋白与细胞因子和细胞因子受体的相互作用(图
5h
)。成纤维细胞的富集分析也得到了类似的结果(图
5i
)。随后,预测出了
IC
膀胱上皮细胞的前
5
个转录因子,包括
NR2F1
、
FOXA1
、
HOXD1
、
TBX2
和
OVOL1
(图
5j
)。值得注意的是,
NR2F1
与
HIV
感染有关。关于比例变化较大的细胞类型(
Tregs
、
Th17
、
Act Bs
、
SMBs
、
USMBs
和中性粒细胞),我们回顾了这些细胞中
DEGs
的功能结果,发现它们都与病毒感染有关(图
5k
)。综上所述,我们推断出病毒感染可能是导致
IC
的潜在原因之一。因此,我们收集了
20
名
IC
患者和
14
名对照者的尿液样本进行病毒检测。值得注意的是,在
IC
尿液中检测到人类多瘤病毒
-2
,阳性率高达
95%
(
19/20
),而在对照组尿液中却未发现该病毒(图
5l
)。这一发现将为
IC
的病因学和病理生理机制提供新的线索和理论依据,应设计更多的工作和研究来深入研究受感染的细胞类型及其关键受体,以找到治疗
IC
的潜在靶点。
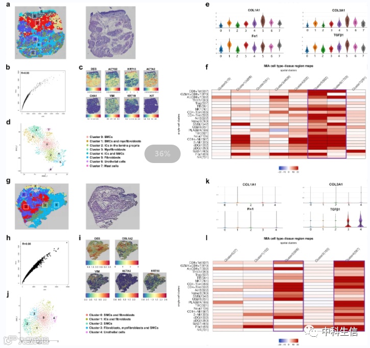
6.
ST
证明了
IC
尿路黏膜中免疫细胞的聚集情况
为了生成无偏见的组织切片转录组图谱,将来自
3
名
IC
患者和
3
名对照组的
6
个膀胱组织样本安装到空间条形码
ST
芯片载玻片上(图
1a
)。经过苏木精和伊红(
H&E
)染色和明视野成像后,玻片被用于观察明显的组织学特征。经过标准质量控制后,使用
Seurat
方法进行了降维,并通过
T-SNE
实现了可视化。根据每个聚类中的
DEGs
,进行逐步单元聚类以构建
ST
图谱。
图
6a
展示了第一张
IC
膀胱
ST
图。观察到基因与
UMIs
之间存在很强的相关性(图
6b
)。检测到了平滑肌细胞(
SMC
)(
DES
、
ACTG2
和
CNN1
)、尿路上皮细胞(
KRT19
)、肌成纤维细胞(
ACTA2
)、间质细胞(
ISC
)(
VIM
和
KRT13
)和肥大细胞(
KIT
)的标记基因(图
6c
)。描绘了膀胱壁的完整结构,包括尿道区域、固有层和肌层(图
6d
)。包括
FN1
、
TGF-β1
、
COL1A1
和
COL3A1
在内的纤维化基因在各种细胞类型中均有高表达,这可能表明膀胱结构最终会出现严重的纤维化(图
6e
)。图
6g
显示了对照组膀胱的第一张
ST
图。基因与
UMI
之间的相关系数为
0.98
(图
6h
)。发现了
SMC
、
ISC
、成纤维细胞(
COL1A2
)、肌成纤维细胞和尿路上皮细胞(图
6i
,
j
)。然而,对照组细胞中纤维化基因的表达水平较低(图
6k
)。
有趣的是,我们注意到在
IC
的
ST
图中,一些免疫细胞聚集在尿路上皮细胞中,如第二张
ST
图(图
7a
、
b
)中的
T
细胞和第三张
ST
图(图
7d
、
e
)中的浆细胞。然而,在对照组膀胱的
ST
图中没有观察到这种聚集现象(图
7g
、
h
、
j
、
k
)。这些结果进一步凸显了尿路上皮在
IC
发生过程中的重要作用。
7.
免疫亚群图谱揭示了免疫细胞在
IC
和对照组膀胱组织中的分布差异
为了确定免疫细胞在
IC
膀胱中的位置,我们采用了多模态交叉分析
(MIA)
来解释整个组织的空间限制图谱。我们发现几乎所有的免疫亚群,如巨噬细胞、
Tregs
、常驻记忆
CD8
+
T
细胞、浆细胞、
pDCs
、
cDCs
、
NKT
细胞、幼稚
B
细胞和中性粒细胞,都富集在
IC
膀胱的尿道区域或靠近成纤维细胞的位置(图
6f
和图
7c
,
f
),但在对照组膀胱中,它们被发现在尿路上皮和平滑肌细胞周围(图(
6l
和图
7i
,
l
)。值得注意的是,只有一半的免疫细胞亚群在对照组膀胱的尿路上皮区域被发现。
IC
膀胱和对照膀胱中三个样本的结果高度一致。
MIA
的研究结果证实了上皮细胞和成纤维细胞在
IC
的发展过程中起着重要作用。总之,我们成功地构建了空间水平的免疫图谱,并描述了
IC
膀胱中免疫网络的特征。
8.
总结
目前,研究人员一直专注于寻找可能的尿液和血清生物标志物,以早期发现
IC
患者。先前的研究表明,
IC
患者尿液中的炎性细胞因子(包括
IL-2
、
IL-6
、
IL-8
、
IL-33
和
IL-17A
)升高,其中
IL-33
在
IC
患者尿液中显著升高。在本研究中,除
IL-1β
、
TNF
和
IFNG
外,
CCL5
也在大多数免疫细胞中表达,
IC
患者尿液中
CCL5
的分泌增加也证实了这一点。在膀胱肿瘤、尿路感染、输尿管肾盂连接处梗阻和
IC
中,
CCL5
上调。由于肿瘤、感染和信息属于排除标准的内容,
CCL5
可能是
IC
的潜在生物标记物。关于血清中的抗体,
IC
患者血清
IgE
的增加与之前的研究结果一致。虽然以细胞因子尿液水平作为
IC
诊断标志物的方法已经确立,但将几种不同的尿液细胞因子(如
CCL5
与尿液中
IgE
的组合)作为非侵入性标志物可能会提高结果的准确性。虽然本研究证明炎症或免疫在
IC
的发展过程中起着重要作用,但它似乎更可能是上皮屏障被破坏后的下游表现。今后还需要更多的研究来揭示这一课题。
总之,我们构建了
IC
女性患者膀胱的免疫图谱,然后确认了这些免疫细胞亚群的特征,并阐述了它们之间的关系和相互作用。这项研究开创了研究
IC
免疫图谱的先例。免疫图谱可为了解
IC
的病理生理学提供深刻见解,并为今后诊断和治疗该疾病奠定基础。
【声明】内容源于网络
0
0
中科生信
中科生信是一家专业从事生物技术服务的公司,提供生物医学领域的定制化数据分析服务。公司业务有:二代测序平台、数据库搭建技术、测序个性化分析平台、以及生信分析定制化服务!致力于为客户提供“一站式”科研服务。
内容
580
粉丝
0
关注
在线咨询
中科生信
中科生信是一家专业从事生物技术服务的公司,提供生物医学领域的定制化数据分析服务。公司业务有:二代测序平台、数据库搭建技术、测序个性化分析平台、以及生信分析定制化服务!致力于为客户提供“一站式”科研服务。
总阅读
1.1k
粉丝
0
内容
580
在线咨询
关注