背景
路线图如下(图1)

研究结果
CHSTs在胃癌中的mRNA表达

CHSTs相互作用和CNV突变分析

CHST与胃癌免疫浸润的相关性


生存模型构建与分析


列线图构建

CHST14在胃癌中的功能富集分析

CHST14表达的验证

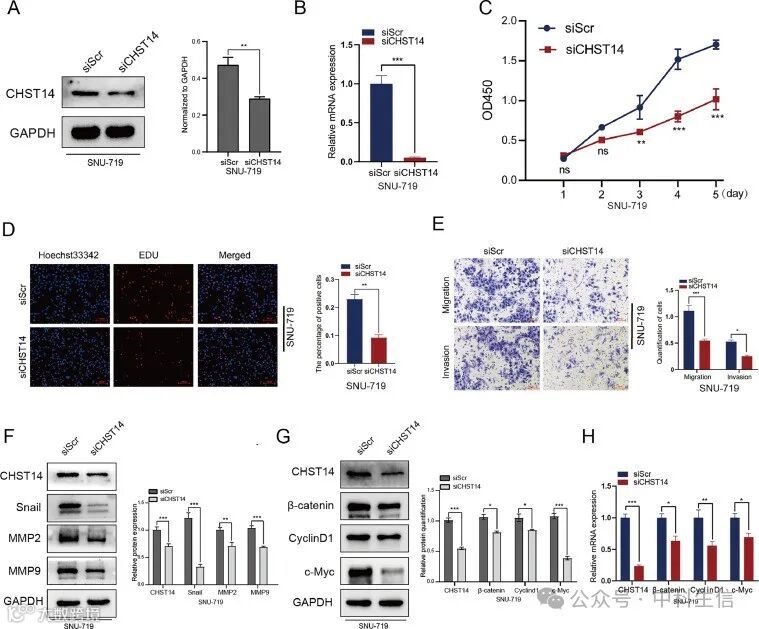
CHST14在胃癌细胞中的功能分析

中科生信背景
路线图如下(图1)

研究结果
CHSTs在胃癌中的mRNA表达

CHSTs相互作用和CNV突变分析

CHST与胃癌免疫浸润的相关性


生存模型构建与分析


列线图构建

CHST14在胃癌中的功能富集分析

CHST14表达的验证

CHST14在胃癌细胞中的功能分析
