今天小编和大家分析一篇2024年2月发表在J Immunol Res(IF:4.818)杂志的文章《KIF26B and CREB3L1 Derived from Immunoscore Could Inhibit the Progression of Ovarian Cancer》作者使用卵巢癌(Ovarian cancer,OV)转录组数据,鉴定了两个与OV免疫评分相关的枢纽基因模块,发现了6个与OV免疫相关的枢纽基因,其中KIF26B和CREB3L1有望成为OV免疫治疗的潜在靶点。
背景:
OV是女性最致命的妇科恶性肿瘤,OV在所有妇科肿瘤中致死率最高(67.33%)。目前OV的标准治疗方法是手术联合铂类和紫杉醇化疗。虽然靶向治疗等新治疗方法已应用于OV治疗,但OV的5年生存率并未明显提高。现有研究认为,免疫在肿瘤的发生和发展中至关重要且复杂。同时,免疫也揭示了肿瘤治疗的新方向。然而,OV的免疫治疗研究尚未取得显著进展。在已发表的研究中,证明免疫评分可以用作OV的潜在预后生物标志物。本研究对免疫评分进行了进一步分析,旨在探究免疫的作用,揭示潜在的致病机制,并发现OV的潜在免疫治疗靶点。
方法:
1.从UCSC Xena(http://xena.ucsc.edu)下载OV的RNA测序数据和临床病理学特征。TCGA OV的免疫评分(n=172)是从之前的研究中获得的。GSE18520和GSE26712从Gene Expression Omnibus(GEO)(https://www.ncbi.nlm.nih.gov/geo)下载。
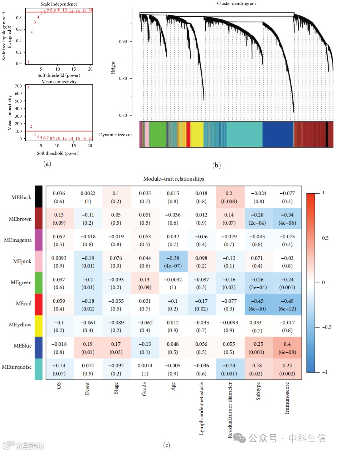
2.加权基因共表达网络分析(WGCNA)。删除了172个TCGA样本中具有异常值的OV样本。然后,对样本和相应的临床表型进行聚类。根据β对基因进行加权相关性分析。然后,对加权基因矩阵进行聚类,并合并相似度高的模块,以识别基因模块。计算基因模块与不同OV临床表型的相关性。Hub基因模块具有与免疫评分最显著的相关性(包括正相关和负相关)的特征。最后计算了基因显著性(GS)和模块成员(MM),其中枢纽基因模块中关键基因的选择标准为GS > 0.2,MM> 0.8。
3.采用ClusterProfiler软件包对基因本体论(GO)术语和京都基因和基因组百科全书(KEGG)通路进行富集分析。
4.在Cytoscape软件中对这些基因进行蛋白质-蛋白质相互作用(PPI)分析,以建立PPI网络并探索它们之间的相互作用。
5.GSE18520和GSE26712的正常卵巢组和OV组的差异表达基因(DEGs)分别通过Limma Package进行分析。利用这两个数据集中上调的DEGs和下调的DEGs的交集来过滤与OV免疫相关的枢纽基因。
6.SKOV3细胞系购自Procell(中国武汉)。细胞培养后在收获细胞进行进一步实验。使用 Trizol(Invitrogen,Carlsbad,CA)从 SKOV3 细胞中提取总 RNA。在Roche LightCycler® 480 II实时荧光定量PCR系统上进行qRT-PCR。
7.细胞活力测定:MTT检测、CCK8检测、伤口愈合试验、细胞侵袭试验、蛋白质印迹分析
8.统计分析:研究中的生物信息学分析是在 R Studio 3.6(使用 R 3.6.0 和 Java 10.0.2)中进行的。采用Pearson方法计算相关系数。在实验部分,使用FIJI(图像J2)进行图像分析,使用Graphpad Prism 9进行绘图统计。统计方法是单因素方差分析,然后是Dunnett检验进行多重比较。在整个分析中,P< 0.05 被认为具有统计学意义。
研究结果:
WGCNA鉴定OV中与免疫评分相关的两个枢纽基因模块
在之前的研究中,发现免疫评分在预测OV的预后方面起着关键作用。因此,通过对172个TCGA OV数据和5,000个基因进行WGCNA来检测与免疫评分密切相关的中心基因模块。首次对OV样本进行聚类时,发现并删除了异常样本。随后对171个OV样本进行了第二次聚类分析,并整合了相应的临床表型(OS、事件、分期、分级、年龄、淋巴结转移、残余肿瘤直径和免疫评分)。根据R2和平均连通性,选择β=6(R2= 0.9)作为软阈值,以建立更接近无标度网络的网络。对5000个基因进行加权相关性分析,动态杂交切割可以收集到具有相似表达模型的基因。结果,这些基因被分为九个具有不同基因编号的基因模块:黑色(n= 102)、蓝色(n= 1,071)、棕色(n= 947)、绿色(n= 433)、品红色(n= 37)、粉红色(n= 101)、红色(n= 175)、绿松石色(n= 1,522)和黄色(n= 612)。

细胞外基质和病毒感染与枢纽基因模块中的基因相关
对枢纽基因模块中的基因进行GO项和KEGG通路富集分析。首先进行了GO术语扩充分析。结果表明,蓝色模块中的基因主要富集在细胞外基质组织、细胞外结构组织、细胞外基质、含胶原的细胞外基质、细胞外基质结构成分等细胞外基质相关项目。红色模块富集的GO项与炎症反应显著相关,如对病毒的反应、对其他生物体的防御反应、对病毒的防御反应、I型干扰素信号通路、细胞对I型干扰素的反应、对I型干扰素的反应。
随后,对这两个模块进行了KEGG通路富集分析。在蓝色模块中,主要富集的KEGG通路是PI3K-Akt信号通路和人瘤病毒(HPV)感染。一些与病毒相关的KEGG通路也富集在红色模块中,如EB病毒感染和单纯疱疹病毒1(HSV1)感染。

根据WGCNA中计算的基因的度数和权重,在Cytoscape软件中构建并可视化了蓝色模块和红色模块的PPI网络。分别从两个完整的PPI网络中提取两个子网。蓝色模块的子网包含75个节点和2,664条边,子网中的许多基因(如CREB3L1、COL5A1、MMP14、PRRX1和ADAM12)相互关联或与肿瘤相关。红色模块的子网包含24个节点和259条边,2′-5′-寡腺苷酸合成酶(OAS)家族中的许多成员(如OAS1、OAS2、OAS3和OASL)出现在子网中。

鉴定与OV免疫相关的枢纽基因
通过蓝色和红色模块中基因的GS和MM过滤枢纽基因模块中的关键基因。结果获得了蓝色模块的92个关键基因和红色模块的25个关键基因。在GSE18520,得到了13,266个DEGs(OV中8,332个上调DEGs和4,934个下调DEGs)。在GSE26712,得到了7,409个DEGs(OV中4,605个上调DEGs和2,804个下调DEGs)。由于蓝色模块与免疫得分显著正相关,而红色模块与免疫得分显著负相关,将蓝色模块中的关键基因与GSE18520和GSE26712中上调的DEGs相交,将红色模块中的关键基因与GSE18520和GSE26712中下调的DEGs相交。最后,在蓝色模块中得到了四个上调的中枢基因(LOXL2、LZTS1、KIF26B和CREB3L1),在红色模块中得到了两个下调的中枢基因(TRIM22和DDX60)。这些基因不仅是OV组织和正常卵巢组织中的DEGs,也是与OV免疫得分相关的中枢基因模块中的关键基因,因此我们将它们视为与OV免疫相关的中枢基因。

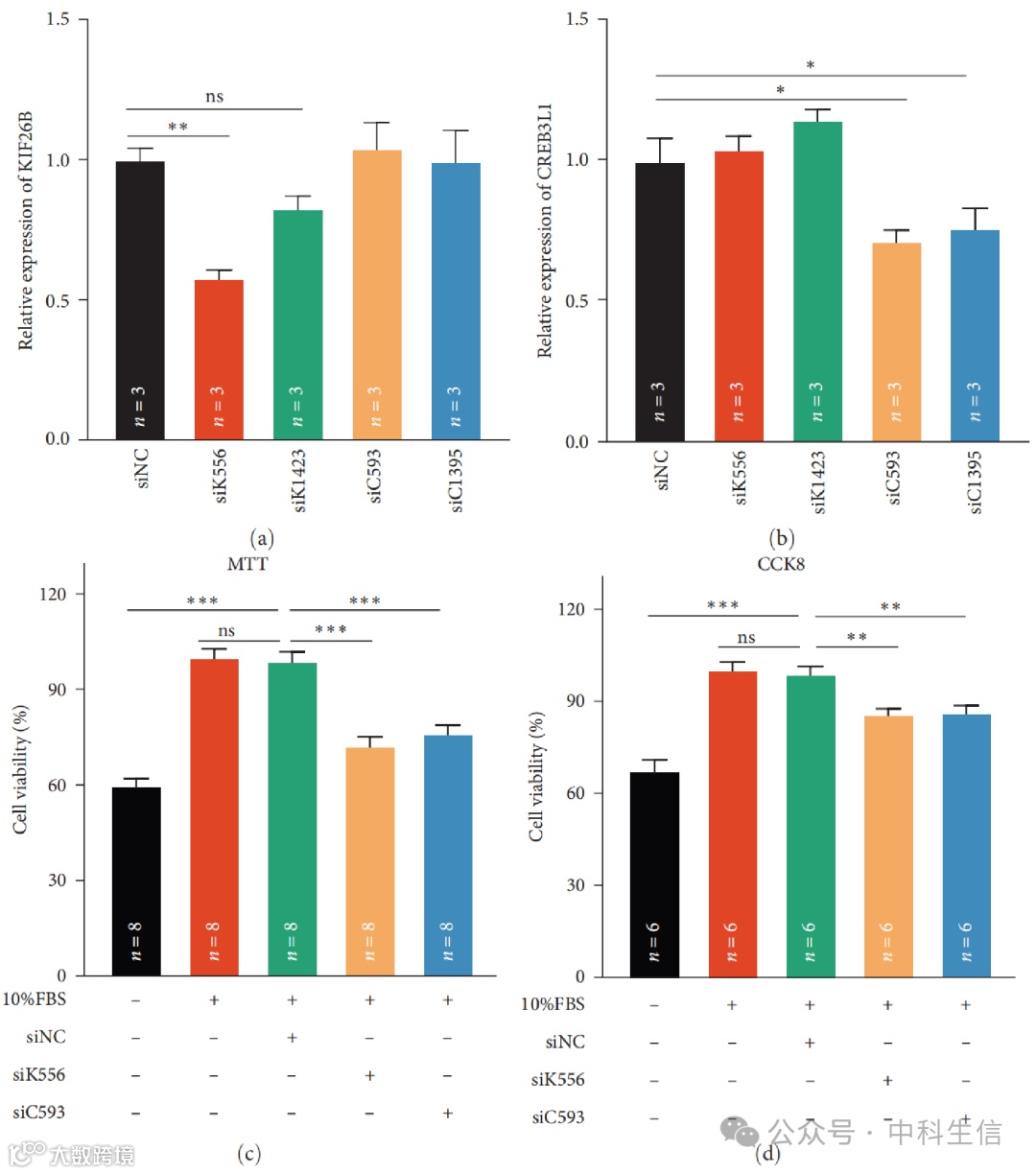
敲低KIF26B和CREB3L1基因表达抑制SKOV3细胞的增殖、迁移和侵袭
分析了敲除KIF26B和CREB3L1表达后SKOV3细胞的生物学行为。首先通过qRT-PCR筛选了合适的针对KIF26B和CREB3L1的siRNA(小干扰RNA)序列。结果表明,siK556和siC593可分别显著敲低KIF26B和CREB3L1的基因表达,并被用于随后的SKOV3细胞实验。细胞活力检测(MTT和CCK8)显示,敲除KIF26B和CREB3L1会降低SKOV3细胞的活力。因此,认为敲除KIF26B和CREB3L1可以抑制SKOV3细胞的增殖。

然后继续通过伤口愈合实验和细胞侵袭实验来检测KIF26B和CREB3L1是否会影响SKOV3细胞的迁移和侵袭。伤口愈合实验结果显示,敲除KIF26B和CREB3L1后,SKOV3细胞在培养24小时和48小时后伤口愈合率增加,这说明敲除KIF26B和CREB3L1可以抑制SKOV3细胞的迁移。细胞侵袭实验结果表明,敲除KIF26B和CREB3L1能显著减少SKOV3细胞的侵袭细胞数。因此,认为敲除KIF26B和CREB3L1可以抑制SKOV3细胞的侵袭。

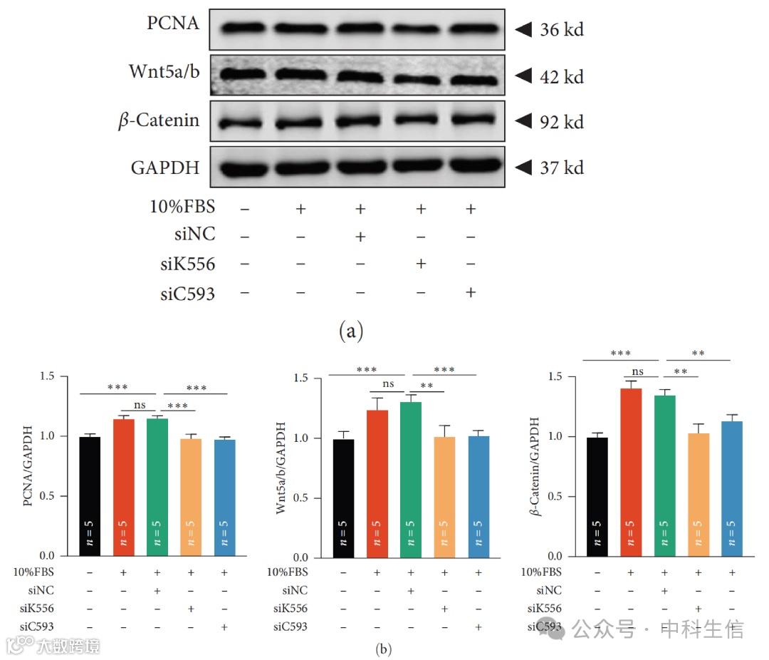
KIF26B和CREB3L1通过PCNA和Wnt/β-Catenin通路影响SKOV3细胞的增殖、迁移和侵袭
研究表明,KIF26B和CREB3L1与SKOV3细胞的增殖、迁移和侵袭有关。因此对相关机制进行了进一步研究。增殖细胞核抗原(PCNA)是一种分子量为36 KD的蛋白质。它参与细胞增殖的启动,是细胞增殖状态的指标。同时,有研究者报道Wnt/β-catenin信号通路参与了多种肿瘤的增殖、迁移和侵袭。因此,通过WB(western blot)检测了敲除KIF26B和CREB3L1基因表达的SKOV3细胞中PCNA、Wnt5 a/b和β-catenin蛋白的表达。结果显示,敲除KIF26B和CREB3L1可降低PCNA、Wnt5 a/b和β-catenin的表达。总之,推测敲除KIF26B和CREB3L1可通过调节PCNA和Wnt/β-catenin通路抑制OV的增殖、迁移和侵袭。
