这篇文章是2025年6月发表在《Experimental Hematology & Oncology》(IF:13.5)期刊上的文章《Multi-omics analyses of the heterogenous immune microenvironment in triple-negative breast cancer implicate UQCRFS1 potentiates tumor progression》。
背景介绍
三阴性乳腺癌(TNBC)因其缺乏治疗靶点、侵袭性强和预后差而成为乳腺癌中最棘手的亚型。肿瘤免疫微环境(TME)在肿瘤进展和免疫治疗应答中起着决定性作用,但其在TNBC中的异质性(即细胞组成和状态的多样性)尚未被完全阐明。该研究旨在利用多组学分析(包括单细胞RNA测序、空间转录组、蛋白组学和批量转录组数据)系统解析TNBC的异质性TME,鉴定关键的细胞亚群和分子特征,并构建有效的预后模型,最终通过实验验证关键基因UQCRFS1的促癌功能。
图形摘要
主要研究结果
(一)绘制TNBC单细胞图谱并揭示关键免疫细胞亚群
为解析初治三阴性乳腺癌(TNBC)的异质性免疫微环境,研究收集了九例患者的活检肿瘤组织进行单细胞RNA测序。经过质控筛选后,最终获得92,304个细胞,并将其划分为八大主要细胞类型:B细胞、内皮细胞、上皮细胞、成纤维细胞、壁细胞、髓系细胞、浆细胞和T细胞。基于患者来源或主要细胞类型的UMAP可视化结果展示于图2A、B;图2C则呈现了九例患者中八种主要细胞类型的比例分布。此外,这些细胞类型通过经典谱系标志物得以鉴定:B细胞(CD79A、CD79B、MS4A1)、内皮细胞(CDH5、PECAM1、VWF、CLDN5)、上皮细胞(EPCAM、CDH1、KRT8、KRT18)、成纤维细胞(DCN、COL1A1、COL1A2)、壁细胞(RGS5、ACTA2、TAGLN)、髓系细胞(CD14、FCN1、C1QC)、浆细胞(JCHAIN、MZB1、IGHG1)及T细胞(CD2、CD3D、TRAC、TRBC2)(图2D-F)。
(二)TNBC髓系细胞特征分析
基于t-SNE算法,髓系细胞被重新划分为六个亚群:巨噬细胞、肥大细胞、单核细胞、耐受性树突状细胞(tDCs)、浆样树突状细胞(pDCs)和经典树突状细胞(cDCs)(图3A),各亚群的标志物如图3B、C所示。我们进一步聚焦巨噬细胞,鉴定出四个亚群:S100A8+巨噬细胞、IL1B+巨噬细胞、FOLR2+巨噬细胞和MKI67+巨噬细胞(图3D)。通过小提琴图展示各亚群标志物的表达水平,验证了分群的准确性(图3E)。CellChat分析显示巨噬细胞各亚群间存在广泛通讯(图3F)。
进一步利用hallmark通路集进行功能通路富集分析,探索各亚群潜在的相关信号通路和生物学功能(图3G)。具体而言,FOLR2+巨噬细胞主要富集于雄激素反应、移植物排斥;IL1B+巨噬细胞富集于凋亡、缺氧、炎症反应等通路;MKI67+巨噬细胞在DNA修复、有丝分裂纺锤体、G2/M检查点等通路显著富集;S100A8+巨噬细胞则主要富集于活性氧通路、氧化磷酸化等。随后通过代谢通路分析发现,FOLR2+和MKI67+巨噬细胞亚群代谢通路活性相对增强,而S100A8+和IL1B+亚群代谢活性较低(图3H)。
转录因子(TF)分析显示:IL1B+巨噬细胞中CREM、PDRM1、REL、IRF8等转录因子显著激活;MKI67+巨噬细胞以RAD21和MYC为主;FOLR2+巨噬细胞中CEBPD和MAFB明显上调;S100A8+巨噬细胞中CEBPBM、YY1、IRF2等显著高表达(图3I)。基于GSE96058和MATABRIC-TNBC队列的生存分析证实,这些巨噬细胞亚群特异性转录因子均是TNBC患者总体生存的不良预后因素(图3J)。综上研究证实,TNBC肿瘤微环境中的髓系细胞(特别是巨噬细胞)在功能通路和转录因子表达方面具有显著异质性,提示大量巨噬细胞亚群与TNBC患者预后不良密切相关。
(三)TNBC中成纤维细胞与B/浆细胞的多样性
现有研究证据表明,原发性或转移性肿瘤中的成纤维细胞具有显著的适应性、可塑性与恢复力,通过参与肿瘤微环境(TME)中多种细胞群体的复杂相互作用,推动肿瘤进展。本研究对成纤维细胞进行重聚类,基于t-SNE算法明确了四个亚群(Fib_C0—C3)(图4A)。热图展示了这些亚群间的差异表达基因(图4B)。CellChat分析显示,与Fib_C2和Fib_C3亚群相比,Fib_C0和Fib_C1亚群具有更活跃的细胞间通讯(图4C)。伪时序分析揭示了从Fib_C2亚群向其他亚群分化的独特轨迹(图4D、E)。
随后,我们鉴定出两个B细胞亚群(初始B细胞与记忆B细胞)及两个浆细胞亚群(JCHAIN+浆细胞与IGG+浆细胞)(图4H),各亚群的标志物表达特征如图4I、J所示。Monocle分析揭示了从B细胞向浆细胞分化的连续过程(图4K)。通路富集分析表明:初始B细胞与记忆B细胞主要富集于自然杀伤(NK)细胞介导的细胞毒性、T细胞受体信号通路等免疫调控通路;而JCHAIN+与IGG+浆细胞则显著增强泛素介导的蛋白水解、补体与凝血级联等通路活性(图4L)。
进一步通过转录因子(TF)分析发现:浆细胞亚群中XBP1表达显著上调,而初始B细胞与记忆B细胞亚群中STAT1表达更为活跃(图4M、N),这两类转录因子均是B细胞分化过程中的关键调控因子。综上所述,本研究从分化轨迹、功能通路和转录因子表达三个维度,系统阐释了TNBC肿瘤微环境中成纤维细胞与B/浆细胞的多样性特征。
(四)TNBC中T/NK细胞的异质性特征
T细胞与NK细胞是肿瘤微环境(TME)中的重要组成部分。我们通过t-SNE算法对T/NK细胞进行鉴定与重分类,识别出CD4+ T细胞、CD8+ T细胞、调节性T细胞(Tregs)、MKI67+ T细胞、NK细胞及NKT细胞等主要群体(图5A),其标志物表达如图5B所示。进一步分析显示,CD4+ T细胞包含三个亚型(IL7R+、CXCL13+和NKG7+ CD4+ T细胞),CD8+ T细胞包含六个亚型(GZMB+、CXCL13+、IL7R+、GZMK+、GNLY+和NR4A2+ CD8+ T细胞),Tregs则分为IL32高表达(IL32high)与低表达(IL32low)两个亚型(图5C、D)。
CellChat分析揭示了这些亚型与上皮细胞间的通讯差异:CXCL13+ CD4+ T细胞、GZMB+与IL7R+ CD8+ T细胞以及IL32high Tregs与上皮细胞表现出更显著的相互作用(图5E)。为进一步评估各T/NK亚型的综合功能,研究对比了其免疫相关基因(共刺激、共抑制及功能标志物)的表达水平(图5F),并发现不同亚型在T细胞耗竭、细胞毒性、效应功能及免疫逃逸特征评分上存在显著差异(图5G)。其中,CXCL13+ CD8+ T细胞在耗竭特征中评分最高;GZMK+ CD8+ T细胞在细胞毒性及效应功能中作用最为突出;而IL32high Tregs则在免疫逃逸过程中发挥关键作用。
通过对比IL32high与IL32low Tregs的功能通路差异,发现IL32high Tregs显著富集于翻译失调调控、PD-L1/PD-1检查点通路及原发性免疫缺陷等免疫失调相关通路(图5H)。基于GSE96058队列的分析进一步证实,TNBC患者中IL32high Tregs特征评分越高,其预后越差(图5I)。综上研究表明,TNBC微环境中的免疫细胞存在高度异质性,其中IL32high Tregs可能通过促进免疫逃逸导致患者不良预后。
(五)TNBC上皮细胞亚群的异质性解析
为明确TNBC上皮细胞的异质性,研究采用"inferCNV"算法区分正常上皮细胞与恶性上皮细胞,并对恶性细胞进行重聚类分析,鉴定出八个亚群(Malignant_C0–C7)(图6A、B)。各亚群的标志物表达特征如图6C所示。通过对比恶性细胞亚群的拷贝数变异(CNV)评分,发现Malignant_C3亚群的CNV评分显著高于其他亚群(图6D)。CellChat分析显示,Malignant_C5亚群在恶性细胞亚群间具有最广泛的相互作用(图6E)。基于GO和hallmark数据库的功能富集分析表明:Malignant_C5亚群参与T细胞活化、细胞间黏附、细胞外基质组织及上皮间质转化(EMT)的调控;Malignant_C2亚群主要富集于干扰素α/γ反应通路;Malignant_C1亚群则在脂肪酸代谢、糖酵解、氧化磷酸化和活性氧通路等代谢调控中发挥潜在作用(图6F、G)。进一步分析恶性细胞亚群的转录因子活性及免疫相关基因(共刺激、共抑制及功能标志物)表达发现:Malignant_C5亚群中CCAAT增强子结合蛋白家族转录因子及多种免疫调控基因表达上调;而与干扰素反应相关的关键转录因子(如STAT1、IRF1)在Malignant_C2亚群中显著激活(图6H、I)。综上研究表明,TNBC恶性上皮细胞各亚群通过不同的功能通路特征,可能对肿瘤微环境的演进产生重要影响。
(六)基于TNBC恶性上皮细胞标志物构建与验证MCI评分体系
(七)MCI的临床应用价值
三阴性乳腺癌作为乳腺癌中具有高度侵袭性的亚型,其有效治疗手段十分有限,而免疫检查点阻断(ICB)疗法的出现为TNBC治疗带来了巨大潜力。为探究MCI是否与免疫治疗反应预测相关,本研究收集了GSE173839队列的转录组数据(包含接受ICB治疗[德瓦鲁单抗联合奥拉帕利]及紫杉醇治疗的TNBC患者)。通过计算该队列中每位TNBC患者的MCI值,发现对ICB治疗未达到病理完全缓解(nCR)的患者其MCI值显著高于达到病理完全缓解(pCR)的患者(图8G)。随后以MCI中位值为界将患者分为MCI高、低表达亚组,结果显示MCI高亚组中nCR患者比例显著高于低亚组(图8H)。ROC曲线分析显示曲线下面积(AUC)达0.733,证实MCI在免疫治疗反应预测中具有良好准确性(图8I)。
上述发现在我们包含7例确诊TNBC并接受新辅助ICB治疗及化疗患者的单细胞测序队列中得以验证(图8J)。值得注意的是,其中4例达到pCR状态,其余为nCR状态,UMAP图谱清晰展示了这一分布(图8K)。各主要细胞类型中MCI的分布情况如图8L所示,单细胞数据进一步揭示免疫治疗nCR组患者的累积MCI值显著高于pCR组,与前述结论高度一致(图8M)。具体而言,通过对比各主要细胞类型中不同治疗反应组别的MCI值,发现除正常上皮细胞外,nCR组在大多数细胞类型(包括恶性细胞)中均呈现显著升高的MCI值(图8N)。这些发现共同表明,MCI可作为预测TNBC患者免疫治疗不良反应的有效指标。
(八)UQCRFS1的功能验证
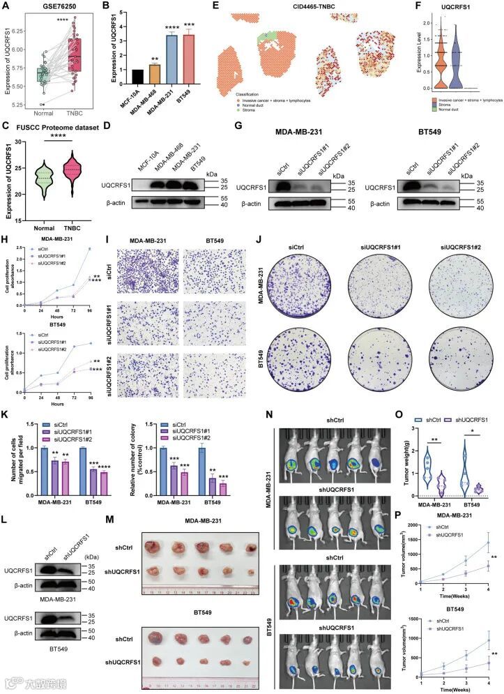
在MCI包含的恶性相关基因中,铁硫黎簇蛋白(UQCRFS1)在TNBC中的具体机制尚不明确。为此,我们深入探讨了UQCRFS1在TNBC中的表达特征及临床意义。首先,通过分析GSE76250数据集中配对癌组织与癌旁样本发现,UQCRFS1在TNBC组织中表达明显增强(图9A)。随后采用qRT-PCR技术验证细胞系中的mRNA表达水平,发现相较于乳腺上皮细胞MCF-10A,TNBC细胞系中UQCRFS1的mRNA表达显著升高(图9B),这与前期生物信息学分析结果一致。基于FUSCC蛋白质组数据分析显示,TNBC患者组织中UQCRFS1的蛋白表达水平同样呈现上调趋势(图9C)。Western blot实验进一步在蛋白层面证实,TNBC细胞系中UQCRFS1表达显著增强(图9D)。通过分析包含TNBC患者的空间转录组(ST)数据集,发现UQCRFS1主要富集于肿瘤区域,而在正常导管区域表达较弱(图9E、F)。
总结
本研究通过多组学整合分析,系统描绘了三阴性乳腺癌高度异质的肿瘤免疫微环境图谱,鉴定出一个关键的免疫抑制性Treg亚群,构建了一个基于恶性上皮细胞特征的预后模型,并首次深入验证了线粒体基因UQCRFS1在TNBC中的促癌功能及其与免疫治疗抵抗的关联。

