大数跨境

非小细胞肺癌治疗新突破:联合细胞死亡指数,精准预测免疫治疗效果

非小细胞肺癌治疗新突破:联合细胞死亡指数,精准预测免疫治疗效果 中科生信
2026-01-19
4
导读:非小细胞肺癌治疗新突破:联合细胞死亡指数,精准预测免疫治疗效果

肺癌是全球癌症死亡的首要原因,其中非小细胞肺癌(NSCLC)约占所有肺癌病例的85%。近年来,免疫治疗为患者带来了新的希望,但由于缺乏可靠的生物标志物,如何准确预测患者对免疫治疗的反应,一直是临床上的重要难题。

近日,一项发表于国际权威期刊《npj Precision Oncology》的研究,提出了一种新型多基因标志物——“联合细胞死亡指数(CCDI,为NSCLC的预后评估与免疫治疗预测提供了有力工具

研究概述:

20254月,npj Precision Oncology(中科院一区,影响因子8)刊登了一项整合多组学数据与实验验证的系统性研究。该研究通过构建联合细胞死亡指数(CCDI,结合大量转录组数据、单细胞及空间转录组分析,以及细胞与动物实验,全面验证了该模型在NSCLC预后与免疫治疗预测中的价值。

研究方法与核心发现:

通过整合多组学数据与实验验证,系统构建并评估了用于非小细胞肺癌(NSCLC)的新型预后与治疗预测模型。研究方法上,首先基于TCGA队列,利用18种程序性细胞死亡(PCD)相关基因构建了联合细胞死亡指数(CCDI;进而通过多个独立RNA-seq队列、单细胞与空间转录组数据,以及细胞与动物实验,对模型进行了多维度验证。核心结果显示:CCDI能有效区分患者预后(高风险组生存期更短)并预测免疫治疗反应(低评分者应答更好);单细胞分析揭示CCDI随肿瘤恶性进展而升高;机制上,CTSH过表达或PTGES3敲低可诱导坏死性凋亡,抑制肿瘤生长;动物实验进一步证实,诱导此种死亡方式能显著增强抗PD-1疗法的疗效。该研究不仅提出了一个稳健的NSCLC生物标志物CCDI,还阐明了其通过调控坏死性凋亡影响肿瘤免疫微环境的机制,为提升免疫治疗疗效提供了新的联合策略靶点。

Fig. 1. Establishment and validation of 18 cell death pattern models and CCDI models.

作者根据基因表达和权重为每位患者分配风险评分(范围:0–1),高风险为>0.34,低风险为≤0.34,将样本分成高风险组低风险组。

Fig. 2. CCDI predicts response to ICI in NSCLC patients.

Fig. 3. Relationship between CCDI and tumor malignancy at the single-cell level of LUAD using scRNA-seq datasets.

Fig. 4. The relationship between CCDI and distant metastasis in LUAD using scRNA-seq and DSP datasets.

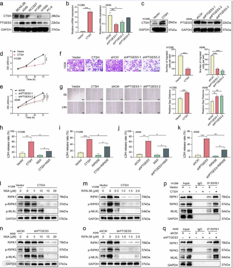
实验验证部分,包括WB免疫组化基因敲除进行关键基因验证。
Fig. 5. Impacts of CTSH and PTGES3 on NSCLC cell proliferation, migration, and necroptosis.

Fig. 6. Clinical validation and in vivo study of CTSH and PTGES3 functions.

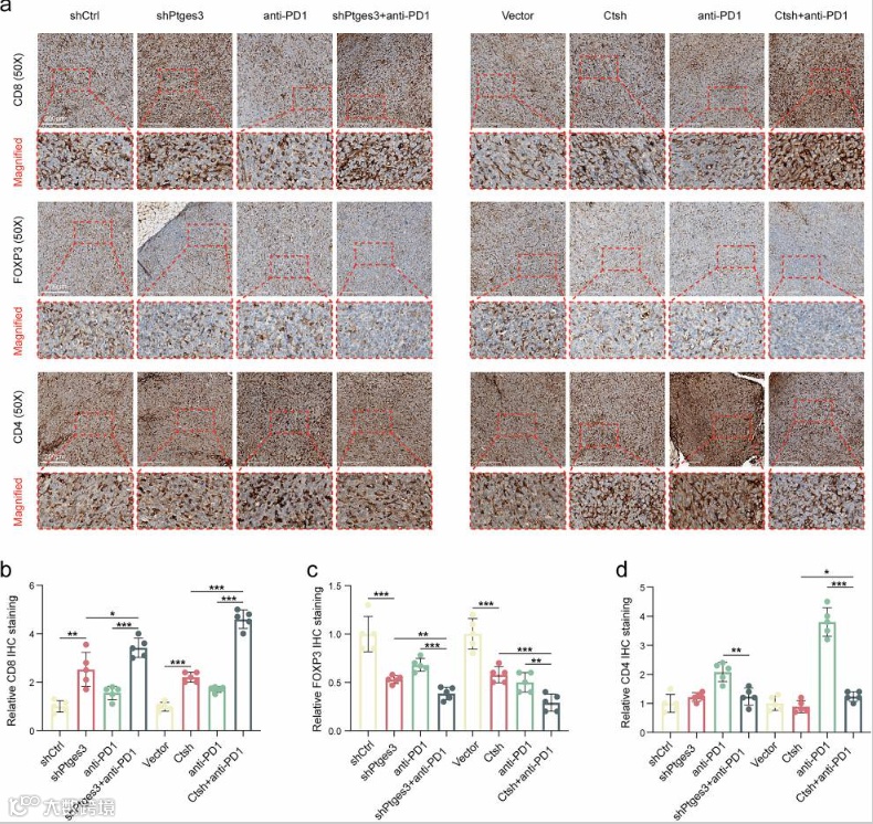
Fig. 7. Immunohistochemistry (IHC) staining was used to detect immune cells in the tumor.

该研究不仅提出了一个稳健的NSCLC生物标志物CCDI,还从机制上揭示了其通过调节坏死性凋亡影响免疫治疗反应的路径。这为未来个体化免疫治疗方案的制定提供了新思路,也为联合治疗策略的开发奠定了科学基础。

【声明】内容源于网络
0
0
中科生信
中科生信是一家专业从事生物技术服务的公司,提供生物医学领域的定制化数据分析服务。公司业务有:二代测序平台、数据库搭建技术、测序个性化分析平台、以及生信分析定制化服务!致力于为客户提供“一站式”科研服务。
内容 580
粉丝 0
中科生信 中科生信是一家专业从事生物技术服务的公司,提供生物医学领域的定制化数据分析服务。公司业务有:二代测序平台、数据库搭建技术、测序个性化分析平台、以及生信分析定制化服务!致力于为客户提供“一站式”科研服务。
总阅读1.5k
粉丝0
内容580