壳寡糖应用对加州鲈鱼肝脏的影响
壳寡糖能够保护加州鲈鱼肝脏,促进生长。以下为真实实验案例,以供客户和同业人员学习交流探讨。
随着水产动物集约化养殖程度的不断提高,养殖饲料的普遍使用和高投喂技术的推广,养殖密度大、投料量高、饲料营养不均衡等因素,导致水产动物的肝脏健康受到严重威胁。
加州鲈鱼本身是高密度养殖:
水中残饵粪便比较多,养殖过程中易出现亚硝酸盐超标,亚硝酸盐中毒导致肝脏受损;
频繁使用消毒药抗生素,增加肝脏负担;
水中蓝藻等藻类毒素引起肝脏疾病。
肝脏问题会导致花肝、绿肝、肝脏肿大、发白、发黄甚至胆汁淤积、坏死的状况,引发加州鲈鱼死亡,给养殖从业者造成巨大的经济损失。
肝脏情况是体质好坏的直接表征,如何保护水产动物的肝脏健康?中科荣信凭借独有专利技术,通过对功能糖链的筛选,生产的特定结构壳寡糖对保护动物肝脏健康,提高生产性能有显著效果。
以下为西南大学评估结果:
Part.1
实验方案
选用加州鲈苗种240尾,随机分成2个处理,每个处理4个重复,每个重复30尾,日投饲2次,投饲率3%~5%,正式投喂8周。
对照组:日粮中不添加壳寡糖
实验组:添加荣创-G85 100g/t饲料
Part.2
结果
同对照组相比,壳寡糖组的末重增加了10g/尾,增重率升高了16.95%,差异显著。
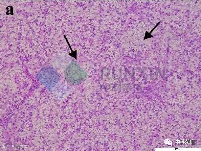
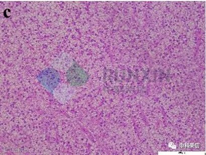
对照组肝细胞溶解、空泡率高、细胞核偏离严重,添加壳寡糖后,加州鲈肝细胞排列较为整齐,细胞核居中,细胞空泡率降低、溶解现象得到改善。
Part.3
结论
本实验中所用壳寡糖荣创-G85能够改善加州鲈肝脏健康,增加末重,提高生产性能,促进加州鲈生长。
❖


