文中选取案例为真实试验数据,以供客户和同业人员学习交流探讨。
腹泻是养猪生产中危害较大的问题之一。据报道,在猪群中,腹泻问题占猪群问题总量的35-45%,特别是仔猪腹泻表现得尤为突出。
目前,养殖场针对腹泻的方案往往是控制病原和消除炎症,脱水的情况再添加补液盐。这样一个看似全面的方案,为何在使用后仍然会出现效果不佳,治疗周期长,病情反复,愈后生长慢等情况呢?
首先,腹泻的因素复杂,表现形式多样,导致养殖场很难短时间做出准确判断,制定准确合理的用药方案。因此治疗周期长。
其次,不论什么样的腹泻都有一个共性,就是肠道损伤!腹泻致使猪的肠道黏膜脱落,肠道屏障遭到破坏。肠道损伤使得细菌病毒以及毒素通过破损的肠黏膜进入血液。
为了缓冲这些有害物对机体的伤害,机体会做出一个本能的反应,身体内大量体液进入肠道内,帮助肠道内的毒素排出,从而导致腹泻加重或者反复。
再者,因为肠道受损部位有炎症发生,机体原本用于生长的能量需要输出用于抵抗炎症反应的发生;同时肠道受损,会使得营养物质消化吸收率下降,因此导致生产性能下降。
最后,研究发现,以侵害肠道上皮细胞为主的腹泻病毒,黏膜免疫比细胞免疫和体液免疫更重要。
通过黏膜免疫可以在肠道和母猪乳汁中产生分泌型黏膜抗体sIgA,锚定在肠道黏膜表面形成保护层,阻断黏膜感染,减少黏膜排毒、散毒。
由此可见肠道屏障在腹泻防治中的重要作用,养猪就是养肠道!腹泻方案的关键是修护肠黏膜,提高黏膜免疫,维护肠道屏障发挥正常功能。
壳寡糖可以修护肠道四屏障:
修复和保护肠道上皮细胞,减轻肠黏膜损伤程度,维持肠道完整,修护肠道机械屏障;
阻止细菌直接黏附细胞进行侵害,修护杯状细胞,有利于粘液分泌,发挥化学屏障功能;
调节肠道菌群,维持菌群平衡,发挥微生物屏障功能;
促进肠道sIgA产生,提高黏膜免疫水平,发挥免疫屏障功能。
案例1
对比壳寡糖和金霉素对肠道黏膜屏障的影响
肖定福等人在《International Immuno-pharmacology》国际期刊发表的文章中,研究了壳寡糖如何影响肠黏膜屏障功能。
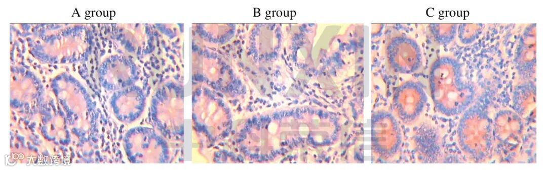
用大肠杆菌对断奶仔猪进行干预。三组小猪分别饲喂基础日粮(对照组A组)、日粮中添加50 mg/kg金霉素(B组)或添加300 mg/kg 壳寡糖(C组)。
图1 三组空肠黏膜形态
(HE染色,×100)
图2 三组空肠黏膜sIgA蛋白表达
(免疫组织化学染色,×400)
表1 比较空肠黏膜上皮形态、GC和IEL数量,IgAprotein密度
壳寡糖组和金霉素组均比对照组绒毛长度(P<0.05)和绒毛长度/隐窝深度值(P<0.01)更高,但绒毛宽度和隐窝深度更小(P<0.05)。见图1和表1。
与对照组相比,壳寡糖组的IEL数量更多(P< 0.05),但金霉素组没有显著差异。壳寡糖和金霉素组的GC数量均高于对照组(P<0.05)(表1)。
壳寡糖组的空肠粘膜sIgA的颜色信号强于对照组和金霉素组(图2)。壳寡糖组sIgA的整体光密度高于对照组和四环素组(P<0.05),金霉素组和对照组之间没有显著差异(表1)。
案例2
壳寡糖对肠屏障损伤作用的探讨
王玉杰等人在《Exploring Effects of Chitosan Oligosaccharides on the DSS-Induced Intes-tinal Barrier Impairment In Vitro and In Vivo》文章中,研究COS(壳寡糖)对DSS诱导细胞中MUC2和occludin表达的影响。
MUC2是杯状细胞分泌的粘蛋白,缺乏MUC2的小鼠表现出严重的睾丸屏障受损和结肠炎。
occludin是紧密连接蛋白,occludin缺乏会增加肠道通透性和细菌转移,容易引起肠道炎症。
(A)对照、COS、DSS(右旋糖酐硫酸钠)和DSS+COS组中HT-29细胞分泌的MUC2(绿色)的免疫荧光图;
(B)对照组、COS组、DSS组和DSS+COS组中Caco-2细胞分泌的occludin(红色)的免疫荧光图;
(C,D)对MUC2的平均荧光强度和覆盖率进行计算机量化
(E,F)对occludin的平均荧光强度和覆盖率进行计算机量化
如图A、B所示,DSS处理显著减少了MUC2阳性细胞和occludin阳性细胞的数量。
在与200μg/mL 壳寡糖培养24小时后,我们发现壳寡糖促进细胞MUC2、occludin表达,能够显著减轻DSS诱导的黏液损伤。
通过以上案例,可以发现壳寡糖对肠道屏障的修护作用。
在全球畜禽养殖业逐步禁用促生长抗生素背景下,壳寡糖作为一款功能性饲料添加剂,相信能帮助更多的养殖业者减轻实际生产中腹泻问题带来的危害,预防腹泻发生,缩短治疗时间,提高生产性能,助力养殖实现绿色、安全、高效发展。


