BTK蛋白是胞浆内非受体型酪氨酸激酶TEC家族中的一员,在B细胞生长发育、增殖分化过程中起着重要作用,同时也是B细胞恶性肿瘤的治疗靶点。
青云瑞晶已完成BTK靶点蛋白的表达和结构解析。基于这些实验条件和库存蛋白,青云瑞晶将项目的交付时间缩短至1-2个月,并确保项目的成功交付。
BTK蛋白
上下滑动阅读更多内容
青云瑞晶自研快讯
青云瑞晶针对BTK蛋白完成了表达、纯化和结晶,针对该靶点及其抑制剂的共晶结构也累积了丰富的数据。同时储备了BTK通路上下游相关靶点蛋白的表达、纯化和结晶经验,可将项目的交付时间缩短至1-2个月,并确保项目的成功交付,满足企业药物研发需求。
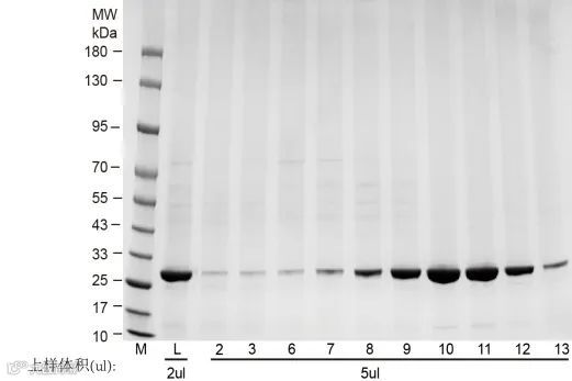
BTK蛋白实验结果展示
表达纯化结果
周期:现货约1周,定制约1个月
晶体衍射和结构解析
周期:2-4 周
BTK蛋白行业研发状况
国内外已上市
国内在研
如需购买蛋白产品或有靶点蛋白及复合物结构解析需求,可长按识别左侧二维码,添加并留言,我们将立刻与您联系!
「青云瑞晶」是一家专业的CRO(研发服务提供商)。公司拥有高标准的实验室、先进的设备,和丰富经验的博士硕士研究人员,在结构生物学技术服务,药物固态研究和新材料结构表征,三个业务板块,为客户提供最先进的解决方案。
公司自主开发了国际领先的MicroED结构解析平台,结合冷冻电镜单颗粒(CryoEM-SPA)及同步辐射单晶X射线衍射(XRD),为客户解决难点问题。
电话号码|18962587269
邮箱|contact@readcrystal.com

