细胞色素 P450 是以血红素作为辅因子的一个庞大的酶超家族,在异源物质的解毒、药物相互作用和内分泌功能等领域都发挥着重要作用,是药物的靶标并参与多种药物相互作用。
青云瑞晶已完成P450家族多个蛋白的表达。基于这些实验条件和库存蛋白,青云瑞晶将项目的交付时间缩短至1-2个月,并确保项目的成功交付。
细胞色素P450
上下滑动阅读更多内容
青云瑞晶自研快讯
P450蛋白通常会用到膜蛋白的纯化方式,蛋白表达纯化过程中活性蛋白的获取以及结合特定辅因子的复合物的分离纯化存在一定难度。 青云瑞晶针对多个P450蛋白完成了表达与纯化,针对该类蛋白的表达纯化积累了一定的经验。同时储备了该类项目的文献条件结晶经验,可将项目的交付时间缩短至1-2个月,并确保项目的成功交付,满足企业药物研发需求。
细胞色素P450实验结果展示
以下均以CYP11A1为例
研究背景
CYP11A1即细胞色素P450家族成员11A1(CYP11A1),是一个位于线粒体内膜上负责孕烯醇酮生成的胆固醇侧链裂解酶(cholesterol-20,22-desmolase,也称为P450ssc)。类固醇激素合成的第一步是从胆固醇的侧链上切除6个碳,生成孕烯醇酮(pregnenolone);这是此途径的限速步骤,包含三步反应(图1),人体中都由胆固醇侧链裂解酶催化,因此CYP11A1也是人体内催化类固醇激素生物合成第一步催化反应的唯一一个催化酶。CYP11A1 的抑制可能会停止所有类固醇激素的合成。
图1. CYP11A1催化胆固醇生成孕烯醇酮的反应机理图
分析CYP11A1蛋白氨基酸序列信息,CYP11A1蛋白全长521个氨基酸,N端是一段长约40个氨基酸的线粒体内膜定位信号肽,中间P52-F511区域为P450酶活结构域(图2),属于细胞色素 P450 酶家族,主要作用为氧化类固醇、脂肪酸和外源物质;在CYP11A1蛋白中P450酶活结构域主要是催化胆固醇通过氧化还原反应生成孕烯醇酮。
图2. CYP11A1结构域分布示意图
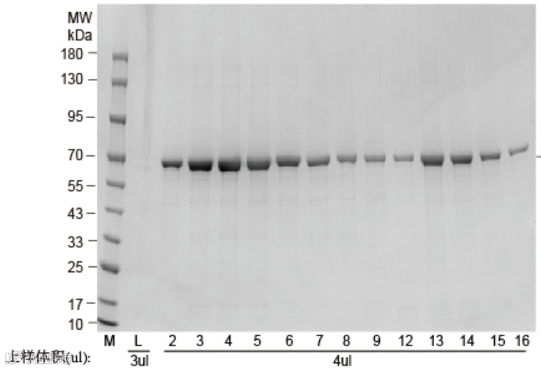
CYP11A1纯化结果
实验方案参考文献 DOI:
https://doi.org/10.1073/pnas.1019441108
如需购买蛋白产品或有靶点蛋白及复合物结构解析需求,可长按识别左侧二维码,添加并留言,我们将立刻与您联系!
「青云瑞晶」是一家专业的CRO(研发服务提供商)。公司拥有高标准的实验室、先进的设备,和丰富经验的博士硕士研究人员,在结构生物学技术服务,药物固态研究和新材料结构表征,三个业务板块,为客户提供最先进的解决方案。
公司自主开发了国际领先的MicroED结构解析平台,结合冷冻电镜单颗粒(CryoEM-SPA)及同步辐射单晶X射线衍射(XRD),为客户解决难点问题。
电话号码|18962587269
邮箱|contact@readcrystal.com

