HPK1蛋白是一类重要的蛋白激酶,青云瑞晶已完成多种HPK1突变靶点的蛋白表达和结构解析。基于这些实验条件和库存蛋白,青云瑞晶将项目的交付时间缩短至1-2个月,并确保项目的成功交付。
HPK1蛋白
造血祖细胞激酶1 (Hematopoietic progenitor kinase-1,HPK1)是一种造血特异性蛋白丝氨酸-苏氨酸激酶,又名促分裂素原活化蛋白激酶激酶激酶激酶1(Mitogen-activated protein kinase kinase kinase kinase 1,MAP4K1),是哺乳动物ste20 相关蛋白激酶MAP4K 家族的成员之一。MAP4K 家族的激酶具有高度相似的蛋白质结构,在调节细胞存活、细胞迁移、细胞凋亡和自噬中发挥重要作用。
上下滑动了解更多
HPK1激酶活性的完全激活需要激活片段(AS)中Thr165和Ser171残基的磷酸化。研究表明,Ser171可以磷酸化,随后以pkd1依赖的方式激活TCR,而Thr165似乎是一个自磷酸化位点。激活的HPK1使SLP76的Ser376位点磷酸化,导致TCR信号复合物的不稳定,阻碍下游T细胞的激活和增殖。HPK1-Thr165Glu/Ser171Glu突变体(TSEE)可以模拟该激酶的磷酸化活性状态,而HPK1-S171A突变体(SA)可模拟该激酶失活状态,两种突变体常用作研究抑制剂作用机制的结构模型。
青云瑞晶完成了HPK1突变体和小分子共晶的结构解析,针对该靶点积累了丰富的蛋白表达纯化和抑制剂的共晶结构解析的经验。
青云瑞晶自研快讯
青云瑞晶针对HPK1蛋白已完成多个突变体的结构解析工作。在该系列蛋白的表达以及与抑制剂的共晶结构解析方面累积了丰富的实验经验,已记录实验条件100+。相关项目交付时间最短可达1个月,能够确保项目成功交付。
HPK1蛋白实验结果展示
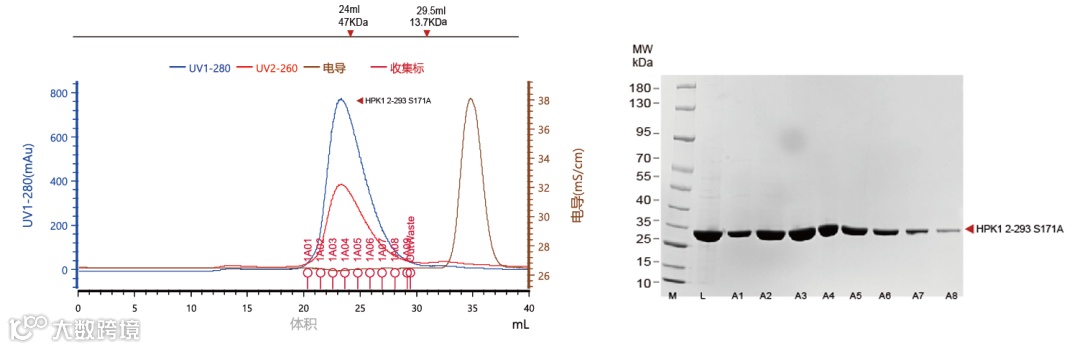
下述内容均以HPK1 S171A 为例
表达纯化结果
周期:现货或者3周
结晶和结构解析
周期:1-2周
HPK1蛋白行业研发状况
国内在研
国外在研
如需购买蛋白产品或有靶点蛋白及复合物结构解析需求,可长按识别左侧二维码,添加并留言,我们将立刻与您联系!
「青云瑞晶」是一家专业的CRO(研发服务提供商)。公司拥有高标准的实验室、先进的设备,和丰富经验的博士硕士研究人员,在结构生物学技术服务,药物固态研究和新材料结构表征,三个业务板块,为客户提供最先进的解决方案。
公司自主开发了国际领先的MicroED结构解析平台,结合冷冻电镜单颗粒(CryoEM-SPA)及同步辐射单晶X射线衍射(XRD),为客户解决难点问题。
电话号码|18962587269
邮箱|contact@readcrystal.com

