WEE1是一种高度保守的细胞周期调节蛋白,可以抑制细胞进入有丝分裂,促进细胞完成DNA复制和修复。WEE1与p53存在合成致死效应,被认为是肿瘤药物研发的潜力靶点。
青云瑞晶已完成WEE1靶点的蛋白表达和结构解析。基于这些实验条件和库存蛋白,青云瑞晶将项目的交付时间缩短至1-2个月,并确保项目的成功交付。
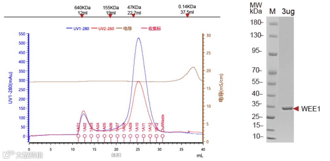
WEE1蛋白实验结果展示
蛋白纯化结果(周期:现货或者3周)
结晶和结构解析(周期:1-2周)
延伸阅读
关于WEE1的背景、作用、机制和结构等
上下滑动了解更多
WEE1蛋白行业研发状况
如需购买蛋白产品或有靶点蛋白及复合物结构解析需求,可长按识别左侧二维码,添加并留言,我们将立刻与您联系!
「青云瑞晶」是一家专业的CRO(研发服务提供商)。公司拥有高标准的实验室、先进的设备,和丰富经验的博士硕士研究人员,在结构生物学服务、生物学服务、药物固态研究服务和新材料结构解析服务四块核心业务,为客户提供最先进的解决方案。
公司自主开发了国际领先的MicroED结构解析平台,结合冷冻电镜单颗粒(CryoEM-SPA)及同步辐射单晶X射线衍射(XRD),为客户解决难点问题。
电话号码|18962587269
邮箱|contact@readcrystal.com

