一些研究指出,啮齿动物内侧前额叶皮层 (mPFC) 是促进和抑制恐惧的重要位点。由于其解剖学位置位于 IL 的腹侧,一些人假设 DP 也具有抑制恐惧的功能。尽管如此,DP在恐惧抑制或记忆的其他方面可能发挥的作用在很大程度上尚未得到测试。
2024年4月13日,来自阿拉巴马大学伯明翰分校海尔辛克医学院神经生物学系Kirstie A. Cummings带领的研究团队在《cell reports》上发表了题为The mouse dorsal peduncular cortex encodes fear memory 的研究论文。
研究团队结合使用全细胞脑切片电生理学、活动依赖性神经标记、免疫组化、在体光遗传光纤记录系统和体内光遗传学来探究 DP 在恐惧记忆调节中的作用。研究团队惊讶地发现,DP中的神经集合不是抑制恐惧,而是自相矛盾地编码恐惧记忆并驱动防御行为。
DP 是在恐惧
不是与灭绝相关的刺激下激活的
▲恐惧条件反射驱动 DP 的激活
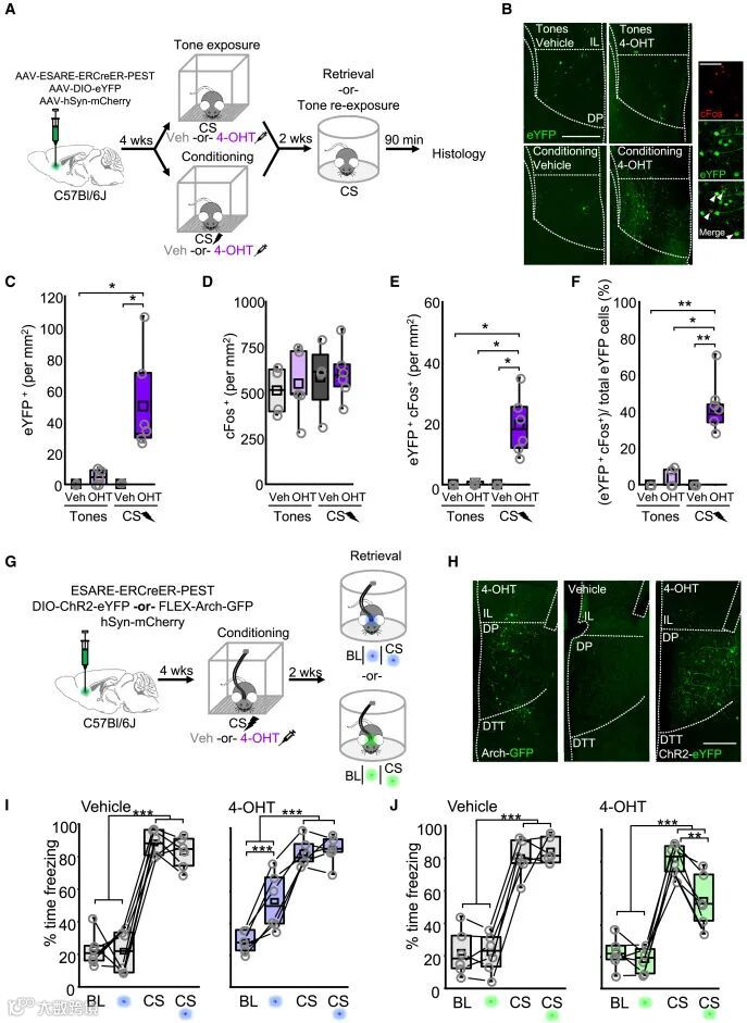
为了测试DP是否参与恐惧或灭绝记忆过程,研究团队在暴露于三种不同的行为范式后进行了cFos免疫组织化学染色。结果表明,DP可能自相矛盾地参与与恐惧相关的记忆处理,而不是像之前假设的那样参与消退记忆处理。
先前的研究强调,一些mPFC亚区没有表现出均匀的活性,而是表现出层特异性神经活性。这种活动模式可能与跨mPFC层的输入和输出的复杂组织有关。结果表明,除了差异处理恐惧和灭绝相关的刺激外,mPFC亚区在激活神经元的层状分布中表现出差异。
DP主神经元
表现出与恐惧学习相关的可塑性
▲恐惧条件反射驱动增强的谷氨酸能传递到 DP PN 上
记忆编码的一个标志被认为是与学习相关的可塑性的表达。因此,研究团队试图确定恐惧条件反射是否会导致DP神经元突触传递的经验依赖性变化。来自 DP PN 的配对脉冲 EPSC 记录显示,与幼稚组和未配对组相比,配对恐惧条件导致配对脉搏比降低。总之,这些结果表明,配对的恐惧条件反射驱动了兴奋性传递到 DP PN 上的增强。
DP神经元在恐惧条件
反射和记忆检索过程表现与 CS 相关
▲恐惧记忆获取和检索过程中的 DP 信号线索相关活动
先前的实验导致观察到配对恐惧条件反射导致对 DP PN 的兴奋性输入增强。这些结果可能指向DP在与线索相关的恐惧记忆处理中的作用。实验结果表明,DP在恐惧条件反射和记忆检索过程中跟踪和编码与线索相关的信息。
研究团队还测试了DP神经元是否可以参与消退记忆处理,正如之前针对该区域提出的那样。为了测试这种可能性,在恐惧记忆检索测试后24小时,小鼠连续接受2天的线索消退训练,然后在24小时后进行消退记忆检索测试。这些结果表明,DP和IL在体内表现出正交的活性模式,从而进一步表明它们在功能上是分开的。
DP神经元被恐惧条件反射激活
响应CS诱发的恐惧记忆检索而重新激活
▲学习激活的 DP 神经元在线索诱发的记忆检索后被重新激并双向控制恐惧记忆表达
之前的实验表明,DP神经元在恐惧记忆获取和记忆检索过程中都被激活。然而,目前尚不清楚在学习和检索过程中是否激活了相同或不同的DP神经元,这种活动模式被认为是记忆编码神经元的标志。这些结果表明,DP神经元的集合表现出与恐惧记忆编码中作用一致的活动模式。
研究团队的cFos和在体光遗传光纤记录系统的结果表明,DP神经元在恐惧条件反射和线索诱发的恐惧记忆检索中被激活,但在灭绝后不会被激活。为了进一步测试DP是否可能在灭绝中发挥作用,研究团队在灭绝训练后进行了活动依赖性神经标记。结果也与cFos免疫组化结果一致,表明IL中的细胞,而不是DP中的细胞,在灭绝训练后被激活。总体而言,这些结果提供了额外的证据,表明DP参与了与恐惧相关的过程,但不参与与灭绝相关的过程。
结果进一步支持了这样一种观点,即提示恐惧学习标记的DP神经元代表了一个独特的学习相关群体,而不是由压力,情境元素或其他一些刺激激活的集合。
啮齿动物内侧前额叶皮层 (mPFC) 在功能上组织在背腹轴上,其中背侧和腹侧亚区分别促进和抑制恐惧。作为最腹侧的亚区域,背侧蒂皮层 (DP) 被假设在恐惧抑制中发挥作用。研究团队证明了DP自相矛盾地充当恐惧编码的大脑区域,并且在恐惧抑制中起着最小的作用。研究团队的结果表明DP在恐惧记忆编码中起作用。此外,研究团队的研究结果重新定义了研究团队对啮齿动物mPFC功能组织的理解。
领脑科技多通道同步光遗传光纤记录系统,具有同时实现多个通道的光遗传刺激和荧光信号记录的特点和优势,每个通道光刺激参数可独立调控。该系统能够解析多神经环路神经活动与行为的关联,探索行为的多样调控机制。
产品即将在年底推出,敬请期待!
领脑科技将持续为您
跟进业界最新技术与资讯,
下期见。
往期精彩内容
微信号 | 领脑科技
邮箱 | lingnaokeji@163.com
网址 | www.lambdaroptic.com
参考文献:
https://www.cell.com/cell-reports/fulltext/S2211-1247(24)00425-X

