疼痛是一种主观体验,在此期间,身心互动对疼痛感知和疼痛治疗的成功都产生了强大的影响。在没有任何镇痛药物或程序的情况下,个人的积极期望足以减少疼痛感知和与疼痛相关的行为安慰剂镇痛在医疗实践和临床试验中都起着突出的作用,在认知行为疗法期间诱导对疼痛缓解的期望,以促进术后和/或慢性疼痛患者的恢复,而临床试验安慰剂组中强烈的镇痛反应阻碍了疼痛治疗的发展。
2024年7月24日,来自北卡罗来纳大学教堂山分校细胞生物学和生理学系 Grégory Scherrer 带领的研究团队在《 nature 》上发表了题为 Neural circuit basis of placebo pain relief 的研究论文。
研究团队对其潜在生物学机制的理解仍然仅限于人脑成像数据,这些数据显示某些大脑区域的活动,研究团队结合了基于预期的疼痛缓解的高级小鼠行为测定、神经钙在行为自由的小鼠中成像、单细胞 RNA 测序电生理记录和光遗传学,以建立电路、细胞和突触机制,通过这些机制,积极的期望可以缓解疼痛。
安慰剂镇痛的
动物模型
▲预期疼痛缓解会激活 rACC→Pn 通路
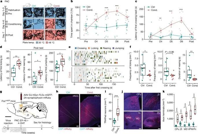
研究团队首先开发了一种为期 7 天的安慰剂镇痛调节测定法,该测定法在小鼠中产生类似安慰剂的预期疼痛缓解预期,并允许评估由此产生的镇痛效果。PAC 装置由两个具有不同视觉线索的腔室组成。为了确定这种 PAC 诱导的疼痛缓解预期是否确实概括了人类安慰剂镇痛的关键特征,研究团队比较了对照和条件小鼠在后测试期间表现出的伤害性行为。值得注意的是,与人类研究表明安慰剂镇痛中的性别差异一致,雌性小鼠在 PAC 期间表现出与雄性小鼠相似的行为伤害行为具有不同的变异性。这些结果表明 PAC 产生基于预期的镇痛效果,该效果与人类安慰剂镇痛具有关键特征,从而能够对啮齿动物的安慰剂镇痛进行建模和研究。
rACC→Pn 神经元
编码疼痛缓解预期
▲在疼痛缓解预期期间 rACC→Pn 神经元的活性升高
为了在安慰剂镇痛期间实时记录 rACC→Pn 神经元的神经动力学,研究团队使用头戴式微型显微镜对单细胞体细胞进行成像PAC 测定期间的活性。在 rACC 神经元末梢的光遗传学刺激过程中,病毒顺行和逆行示踪以及 Pn 神经元的全细胞记录证实了 rACC 和 Pn 之间的单突触谷氨酸能连接。值得注意的是,颅内病毒注射、GRIN 晶状体植入和微型显微镜安装对 PAC 期间小鼠的测量性能指标没有显着影响,包括总步行距离和平均移动速度。
这些刺激均未显著影响 rACC→Pn 神经钙活性,这与测试后当天舔舐和饲养伤害行为期间 rACC→Pn 神经活动没有显着变化一致,反对这些细胞在伤害感受或机械感觉中的一般作用。
多试验强化学习
解释选择历史偏差
▲rACC→Pn 通路的光遗传学操作影响 PAC 诱导的镇痛和疼痛行为
为了测试 rACC→Pn 通路在安慰剂镇痛中的功能,研究团队注射了 AAV 以在 rACC 神经元中表达盐视紫红质或通道视紫红质-2 ,并在 Pn 上双侧植入在体光遗传光纤。然后,研究团队在 PAC 后测试期间对条件小鼠的 rACC→Pn 神经元末梢进行光操作,从小鼠从腔室 1 交叉到腔室 2 开始。研究团队发现光抑制大大降低了 PAC 诱导的舔爪、仰起和跳跃的潜伏期增加。相反,在后测试期间光遗传学激活 rACC→Pn 通路显着延长了小鼠表现出舔爪子的潜伏期,但没有表现出仰起和跳跃行为的潜伏期。这些不太明显的行为变化可能表明天花板效应,因为 Pn 神经元,尤其是它们的轴突末端,在编码感觉信息时表现出高瞬时放电频率光抑制和光激发都没有在运动协调中产生可检测的变化。
在 von Frey 试验中,rACC→Pn 通路的光抑制增加了缩爪频率,而与对照小鼠相比,光激发降低了缩爪频率和扩展数据图此外,光抑制降低了机械敏感性阈值,而光激发提高了它。总之,这些结果表明 rACC→Pn 通路可以被激活以产生镇痛作用。
安慰剂镇痛
需要 Oprd1 Pn 神经元
▲Oprd1 Pn 神经元和小脑浦肯野细胞参与 PAC 诱导的镇痛
接下来,研究团队试图在 PAC 期间操纵 Pn 神经元的功能。研究团队的分析重点放在神经元上,研究团队检测到了 10 个转录不同的簇。为了研究 Oprd1 Pn 神经元是否在安慰剂镇痛和/或疼痛调节中发挥作用,研究团队首先测试了 Oprd1 Pn 神经元和 rACC 投射神经元之间的直接联系。最后,在 PAC 的调节阶段对 Oprd1 Pn 神经元的光抑制显示出在测试后当天减弱 PAC 诱导的镇痛的趋势。总之,这些结果表明,投射到 Oprd1 Pn 神经元上的 L5 rACC 神经元对安慰剂镇痛和疼痛处理都起着关键作用。
安慰剂效应是身心互动的显着证明在疼痛感知过程中,在没有任何治疗的情况下,对疼痛缓解的期望可以减少疼痛的体验——这种现象被称为安慰剂镇痛然而,尽管安慰剂效应的强度及其对人类日常体验的影响以及新疗法的临床试验失败,安慰剂效应的神经回路基础仍不清楚。研究团队创造了一种行为测定法,可在小鼠中产生类似安慰剂的预期疼痛缓解。这些发现为用药物或神经刺激靶向该前额叶皮质-脑桥-小脑通路治疗疼痛提供了可能性。
领脑科技多通道同步光遗传光纤记录系统,具有同时实现多个通道的光遗传刺激和荧光信号记录的特点和优势,每个通道光刺激参数可独立调控。该系统能够解析多神经环路神经活动与行为的关联,探索行为的多样调控机制。
产品即将在年底推出,敬请期待!
领脑科技将持续为您
跟进业界最新技术与资讯,
下期见。
往期精彩内容
微信号 | 领脑科技
邮箱 | lingnaokeji@163.com
网址 | www.lambdaroptic.com
参考文献:
https://www.nature.com/articles/s41586-024-07816-z

