肝脏具有出色的再生潜力,使自身能够在广泛的肝组织损失后恢复其原始质量并保持其功能,肝脏再生过程与多种临床情况密切相关,肝脏的再生能力是肝切除术恢复结果的关键决定因素,多种因素和途径已被证明对肝脏再生很重要,以前的研究主要集中在肝内信号通路。然而,肝脏以外肝脏再生的调节机制,尤其是“脑-肝”信号轴,仍需探索。
压力是控制人体机体适应动态内部和外部环境的基本因素。慢性压力是否以及如何影响肝脏再生仍然是个谜。大脑是响应慢性压力最敏感的器官之一。这种迅速的应激反应受各种大脑区域的靶向操纵肝脏支配神经元的追踪工具和策略的局限性阻碍了对“脑-肝”轴中精确细胞调节,类型和神经回路的清晰理解。
2024年11月6日,来自美国纽约西奈山伊坎医学院纳什神经科学系 Denise J. Cai带领的研究团队在《 nature communications 》上发表了题为 Offline ensemble co-reactivation links memories across days 的研究论文。
在这项研究中,研究团队结合了病毒示踪、电生理记录、化学遗传学操作和流式细胞术分析。研究团队确定了从蓝斑到喙髓中缝区再到肝交感神经的神经连接,这可以通过释放去甲肾上腺素来阻断促炎巨噬细胞的激活。这些机制的阐明有助于提高肝脏再生能力,从而改善慢性肝病患者的预后。
慢性应激抑制
PHx 后肝脏再生
▲慢性睡眠剥夺会损害 PHx 后的肝脏再生
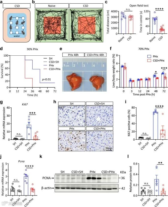
为了研究慢性应激对 PHx 后肝脏再生的影响,研究团队首先生成了一个慢性睡眠剥夺 小鼠模型,模拟临床人群的睡眠不足和焦虑状态,行为测试表明 CSD 导致小鼠的焦虑状态增加。研究团队发现,在 PHx 后 48 小时和 72 小时,CSD 小鼠的肝脏质量和肝脏/体重比均低于幼稚小鼠的Ki67免疫组织化学染色也证实了这一结果。此外,CSD 小鼠 Ki67 和增殖细胞核抗原 的表达水平在 PHx 后 48 小时均显著降低。
接下来,研究团队询问是否可以在其他动物模型中概括慢性应激诱导的肝再生损伤。慢性约束压力 诱导焦虑样行为,伴有肝/体重比显着降低。此外,与 PHx 小鼠相比,CRS+PHx 小鼠的 Ki67 和 Pcna 的基因和蛋白表达水平也降低。综上所述,这些结果表明慢性应激抑制了 PHx 后的肝脏再生。
东北立法会−5-HTrMR神经回路
位于支配肝脏的神经通路中
▲NE立法会-5-HTrMR神经回路支配肝脏
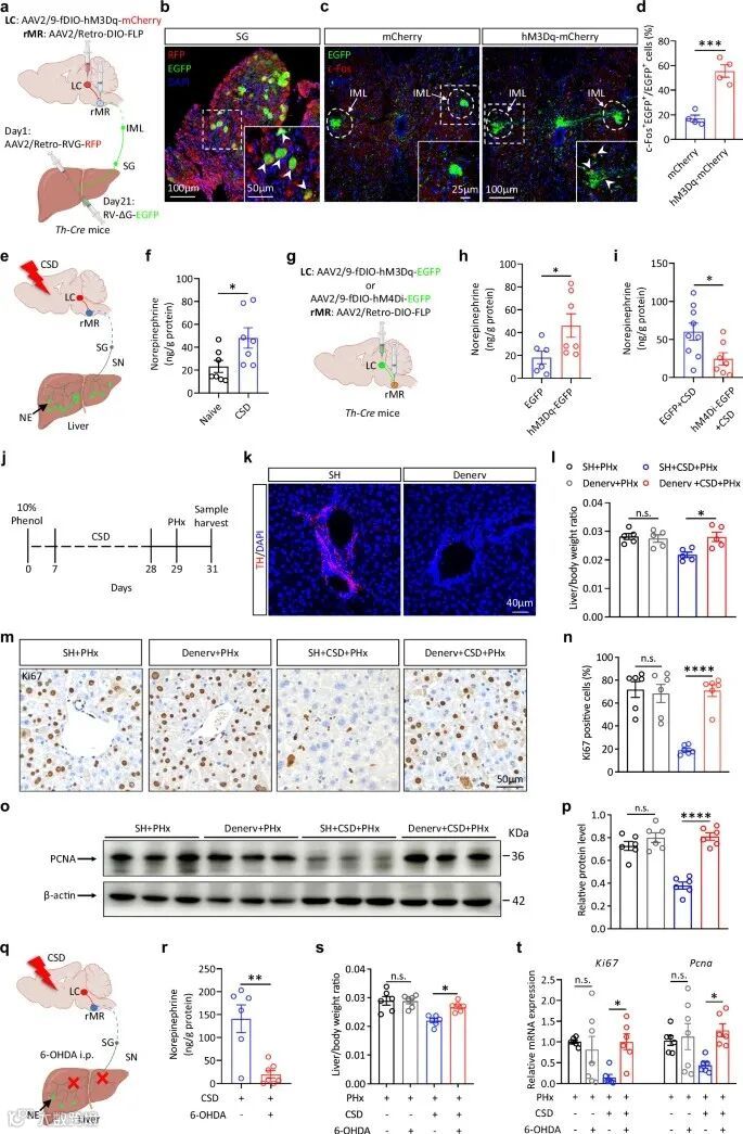
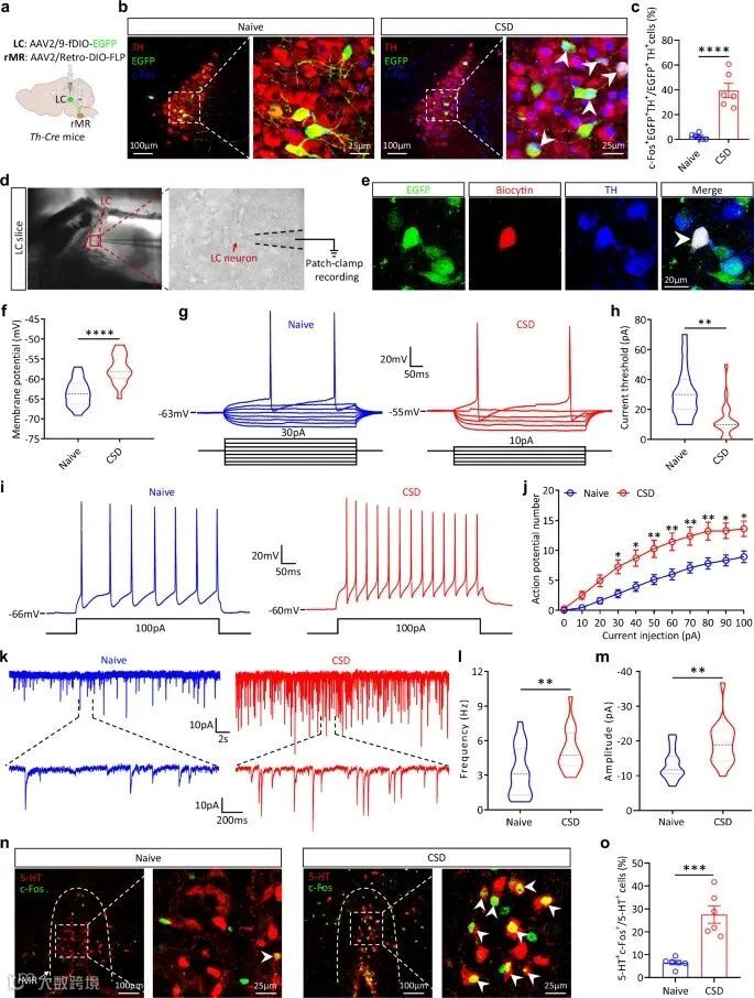
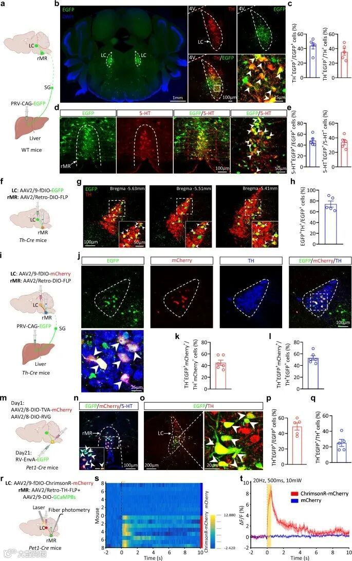
为了确定接受 LC 神经支配的 rMR 的特定神经元类型,研究团队通过将 AAV2/1-Cre 注射到 LC 中,将 AAV2/9-DIO-mCherry 注射到 rMR 中,进行了顺行跨突触示踪测定,从而在 LC 支配的 rMR 神经元中实现选择性 mCherry 表达。要验证来自 NE 的功能连接立法会神经元到 5-HTrMR神经元,研究团队激活了 rMR 投射 NE立法会神经元光遗传学并记录 5-HT 钙信号的变化rMR使用在体光遗传光纤光度法的神经元。结果显示 5-HTrMR神经元被 hM3Dq 激动剂 N-氧化物氯氮平的给药显着激活,总之,这些发现表明 NE立法会神经元可以投射到 5-HTrMR神经元。
东北立法会-5-HTrMR神经回路
慢性压力下被激活
▲NE立法会-5-HTrMR神经回路在 CSD 下显着激活
表征 NE 的活动立法会-5-HTrMR慢性应激下的神经回路,研究团队首先检测 NE 中 c-Fos 的表达立法会CSD 小鼠的神经元。接下来,应用全细胞膜片钳记录来检测 LC-rMR 神经回路的兴奋性。这些数据支持这样的观点,即 rMR 投射的 NE 的内在兴奋性和突触传递功效立法会在慢性应激条件下,神经元显著增强。
为了澄清 NE立法会在 CSD 条件下,位于支配肝脏的神经通路中的神经元被激活,将 PRV-CAG-EGFP 注射到 CSD 小鼠的肝脏中并持续给予应激。结果表明,CSD 小鼠 LC 中 TH/EGFP/c-Fos 神经元的比例显著高于幼稚小鼠。
总的来说,上述结果表明 NE立法会-5-HTrMR神经回路在慢性应激条件下被显著激活。
投射 rMR 的 NE 的化学遗传学
激活立法会神经元抑制肝脏再生
▲rMR 投射 NE 的化学遗传学激活立法会神经元损害肝脏再生
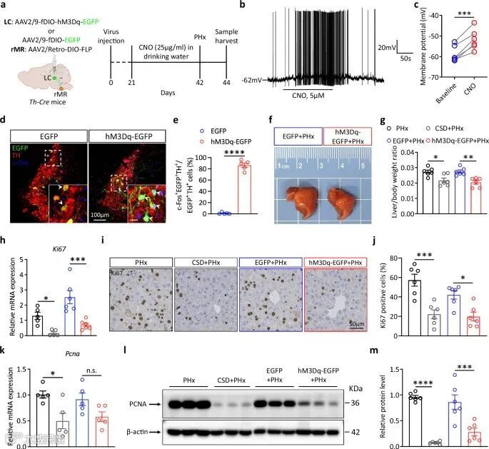
为了更好地理解 NE 的作用立法会-5-HTrMR神经回路在调节肝脏再生时,研究团队采用化学遗传学操作来刺激这个神经回路。将 AAV2/Retro-DIO-FLP 病毒立体定位注射到 rMR 中,将 AAV-fDIO-hM3Dq-EGFP 或 AAV-fDIO-EGFP 病毒注射到 Th-Cre 小鼠的 LC 中。研究团队注意到 hM3Dq-EGFP+PHx 小鼠的肝/体重比以及 Ki67 和 PCNA 的基因和蛋白质表达水平显著低于 EGFP+PHx 小鼠。因此,rMR 投射 NE 的化学发生学激活立法会神经元可以模拟慢性应激对肝脏再生的抑制作用。
rMR 投射 NE 的化学遗传学抑制立法会神经元
逆转慢性应激对肝脏再生的抑制作用
▲投射 NE 的 rMR 的化学遗传学抑制立法会神经元逆转慢性应激对肝脏再生的抑制作用
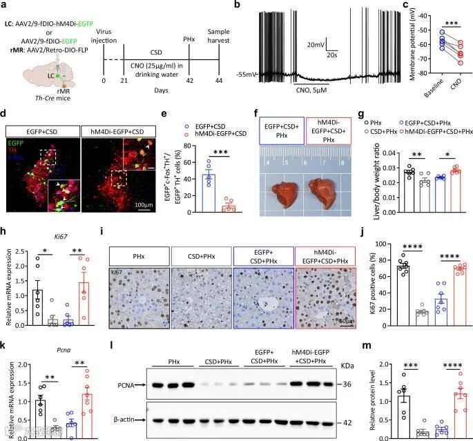
进一步研究 NE 是否立法会-5-HTrMR神经回路参与抑制慢性应激引起的肝脏再生,研究团队抑制了 rMR 投射 NE 的活性立法会神经元。数据表明 rMR 投射 NE 的化学遗传学抑制立法会神经元可有效逆转慢性应激对 PHx 后肝脏再生的抑制作用。
为了阐明 5-HT 的必要性rMR在慢性应激诱导的肝脏再生抑制中,研究团队将表达抑制受体 hM4Di 或对照病毒的 Cre 依赖性重组 AAV 注射到 Pet1-Cre 小鼠的 rMR 中。通过 c-Fos 免疫染色验证化学遗传学抑制作用中。这些数据表明 5-HT 的化学遗传学抑制rMR神经元可有效逆转慢性应激对 PHx 后肝脏再生的抑制作用。
肝交感神经介导慢性应激
诱导的对肝脏再生的抑制作用
▲肝脏交感神经去神经支配逆转慢性应激对肝脏再生的抑制作用
人们普遍认识到,慢性压力会激活交感神经系统并导致不同的组织变化,已经确定肝脏的神经支配主要是交感神经。此外,肝脏交感神经的激活与肝脏的再生能力有关。因此,研究团队旨在研究肝交感神经是否在慢性应激下抑制肝脏再生中起关键作用。实验结果表明 LC-rMR-IML-SG-肝脏通路的功能联系。
为了进一步阐明交感神经在慢性应激诱导的肝脏再生抑制中的必要性,研究团队对肝脏进行了选择感神经去神经支配。这些发现表明交感神经去神经支配对肝脏质量的恢复有积极影响。Ki67 和 PCNA 的 mRNA 和蛋白表达水平证实了这些结果。这些发现表明 CSD 刺激 SNS,从肝脏交感神经末梢释放 NE,这将进一步抑制肝脏再生。结果表明,HPA 轴在慢性应激下被显著激活,但激活的 HPA 轴可能不介导慢性应激对肝脏再生的抑制作用。
慢性应激通过上调 Adrb2 的表达
抑制促炎巨噬细胞的极化来抑制肝脏再生
▲慢性应激通过上调 Adrb2 的表达和抑制促炎巨噬细胞的极化来抑制肝脏再生
为了阐明哪种肾上腺素能受体介导 NE 的作用,研究团队通过转录组测序评估了 CSD 下 70% PHx 后 3 小时 ARs 的 mRNA 表达水平。热图和 qPCR 结果显示,与 PHx 小鼠相比,CSD+PHx 小鼠肾上腺素能受体 β2的表达显著增加。这些发现表明 ADRB2 是介导慢性应激抑制肝脏再生的主要 NE 受体。总之,这些数据表明 NE立法会-5-HTrMR神经回路通过刺激肝脏交感神经/ADRB2/巨噬细胞信号轴来介导慢性应激对肝脏再生的抑制作用。
由于肝脏再生能力对肝病患者至关重要,因此确定影响肝脏再生的拼图中缺失的部分将具有高度的意义和重要性。在这里,研究团队报道了慢性应激损害了部分肝切除术后的肝脏再生能力,增加了雄性小鼠的死亡率。总的来说,研究团队揭示了一种“脑与肝”的神经连接,该连接介导慢性应激诱发的肝脏再生缺陷,从而为肝病治疗提供重要见解。
领脑科技多通道同步光遗传光纤记录系统,具有同时实现多个通道的光遗传刺激和荧光信号记录的特点和优势,每个通道光刺激参数可独立调控。该系统能够解析多神经环路神经活动与行为的关联,探索行为的多样调控机制。
产品即将在年底推出,敬请期待!
领脑科技将持续为您
跟进业界最新技术与资讯,
下期见。
往期精彩内容
微信号 | 领脑科技
邮箱 | lingnaokeji@163.com
网址 | www.lambdaroptic.com
参考文献:
https://www.nature.com/articles/s41467-024-54827-5#Sec11

