恐惧和焦虑是对生存很重要的不同适应性反应。恐惧是由离散和某些威胁刺激引发的,而焦虑是由对潜在威胁的预期引起的。巴甫洛夫恐惧条件反射是一种突出的动物行为范式,其中条件刺激是一种可预测的威胁,它通过与厌恶性无条件相关联来引起恐惧。负责腹侧 BNST 介导的对不可预测的威胁信号的防御反应的神经回路和分子机制仍然难以捉摸。具有不可预测的环境偶然性的弥散线索被认为是导致焦虑症的重要变量。然而,与不可预测的威胁处理和病理性焦虑相关的神经回路仍然知之甚少。
2024年12月31日,来自山东大学车鲁医学院基础医学院解剖学与神经生物学教研室、精神障碍与智能控制重点实验室陈哲宇主任带领的研究团队在《 cell Reports 》上发表了题为Coordinated excitatory and inhibitory circuits governing unpredictable threat-induced anxiety 的研究论文。
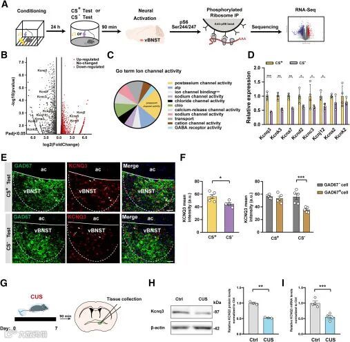
通过使用修改后的可预测 CS或不可预测的 CS动物模型,研究团队表明来自岛叶皮层的兴奋性输入和从杏仁核外核到 vBNST 坐标的抑制性输入触发了 vBNST 中 GABA 能神经元的选择性激活,以响应不可预测而不是可预测的威胁信号。通过 pTrap-seq 筛选,研究团队揭示了钾电压门控通道亚家族 Q 成员 3 的作用,KCNQ3 是控制 vBNST 病原性多动以响应不可预测的威胁和焦虑诱导的关键分子成分。研究团队的研究结果阐明了控制不可预测的威胁如何诱发焦虑的神经回路和分子机制,这对焦虑治疗具有潜在意义。
vBNST 中 GABA 能神经元的特定群体
调节对不可预测的威胁的反应
▲vBNST GABA 能神经元响应不可预测的威胁信号而被激活
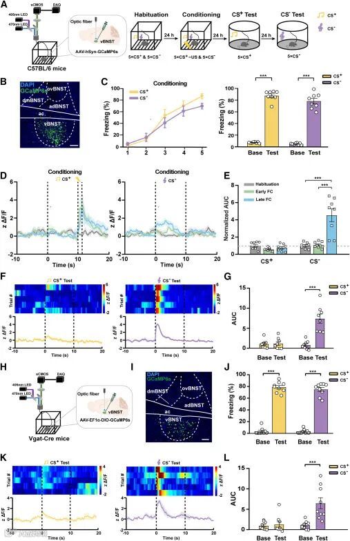
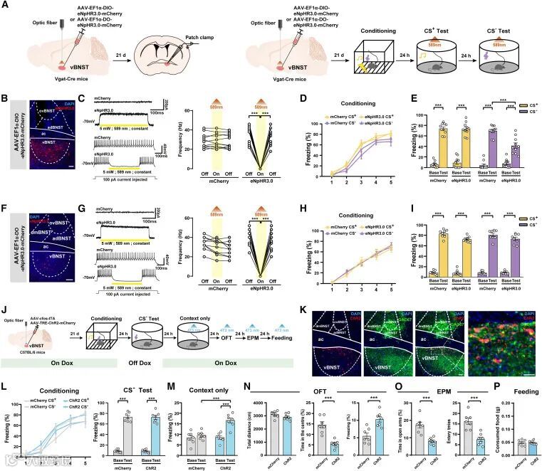
为了确定 vBNST 响应不可预测的威胁的神经元动力学,小鼠接受了修改后的 FC 任务的训练。钙任务期间的信号通过在体光纤光度记录法系统进行监测。研究团队发现 CS 中表达 c-Fos 的 vBNST GAD67 阳性的数量更多−测试组比其他组。因此,研究团队的结果表明,vBNST 中的 GABA 能神经元被选择性激活以响应不可预测的威胁信号。
接下来,研究团队研究了 vBNST GABA 能神经元在应对不可预测的威胁的防御行为中的作用。通过脑切片的膜片钳记录证实标记神经元的光遗传学抑制 。为了验证在 vBNST 中激活这些 GABA 能神经元是否可以引发增加的冻结行为,研究团队通过光遗传学进行了功能获得实验。通过将这种方法与 CS 测试后的 c-Fos 免疫染色相结合,研究团队发现喂养和 CS−暴露激活了 vBNST 中两个不同的神经元子集。
▲vBNST GABA 能神经元调节对不可预测的威胁的反应
然后研究团队专门激活了 vBNST 取食响应细胞,食物消耗量增加,而在新环境中对冻结行为没有影响。实验发现意味着 vBNST 中不同的 GABA 能神经元差异调节冷冻和摄食行为。重要的是,CS 的激活−诱导集合与焦虑样行为的诱导有关。这一观察促使研究团队进一步探索由不可预测的威胁引起的焦虑背后的神经回路。
激活 IC-vBNST 电路
响应不可预测的威胁至关重要
▲ 对 vBNST 的 IC 兴奋性投影调节对不可预测的威胁信号的响应
接下来,研究团队调查了不可预测的威胁信息的来源。因此,研究团队使用活性依赖性细胞标记和跨突触逆行示踪技术来追踪 CS 的输入−-响应式集成,同时使用 vBNST 馈送响应式集成作为控制。研究团队测试了实验抑制从 IC 到 vBNST 的投射是否可以调节对不可预测的威胁的行为反应。研究团队发现 IC-vBNST 电路的光遗传学抑制可以将冻结水平降低到 CS−测试,但在 CS 测试中没有效果。研究团队的结果证实 IC 中的谷氨酸能神经元与 vBNST 中的 GABA 能神经元建立单突触连接,并且这些 vBNST 投射的 IC 神经元在响应可预测或不可预测的威胁信号时表现出高活性。令人惊讶的是,从 IC 到 vBNST 的投影对于对不可预测而不是可预测的威胁信号的冻结响应至关重要。
CeL SOM 神经元的正向抑制控制
vBNST 对不可预测的威胁的反应
▲BNST 投射的 CeL 神经元通过抑制性跨突触传递控制 vBNST 对不可预测的威胁的反应
同时在 CS 和 CS 期间在 vBNST 投射的 IC 神经元中观察到激活增加测试,研究团队的 钙记录结果显示 CS 期间 vBNST 的选择性激活−但不是 CS 测试。为了检验研究团队的假设,研究团队靶向 vBNST 投射的 CeL 神经元来记录钙通过在体光遗传光纤光度法发出信号。研究团队发现 Ca2+投射 vBNST 的 CeL 神经元的信号仅在 CS 中升高,而在 CS 中没有升高测试,它提供了生理学证据来支持研究团队的正向抑制假说。
以前的研究表明,CeL 中的亚群表现出功能异质性,这在恐惧表达中起着重要作用。研究团队进一步发现,人工激活 CeL索姆-vBNST 投影无法在幼稚小鼠中引发冻结行为。研究团队的数据表明,CeL SOM 神经元的特定子集有助于在 CS 测试期间对 vBNST 的正向抑制,这可能是区分可预测和不可预测的威胁信号的神经机制。
vBNST-vlPAG 和 vBNST-CeM 回路
分别控制冻结和焦虑样行为
▲ vBNST CS−-对 vlPAG 和 CeM 的反应性神经元项目分别调节冻结和焦虑样行为
研究团队目前的工作表明,vBNST GABA 能神经元的活性选择性地增加以响应不可预测的威胁,并且这个过程是由 IC 中兴奋性谷氨酸能神经元和抑制性 CeL 的协调输入控制的索姆神经元。研究团队的数据表明 CS−- vBNST 中的响应式集成通过不同的输出响应不可预测的威胁信号,在不同的行为中发挥作用。具体来说,vBNST-vlPAG 电路有助于冻结行为,而 vBNST-CeM 电路有助于焦虑样行为。
靶向 vBNST 回路
具有治疗焦虑症的潜力
▲ CS 后确定 KCNQ3 水平降低−test 和 CUS
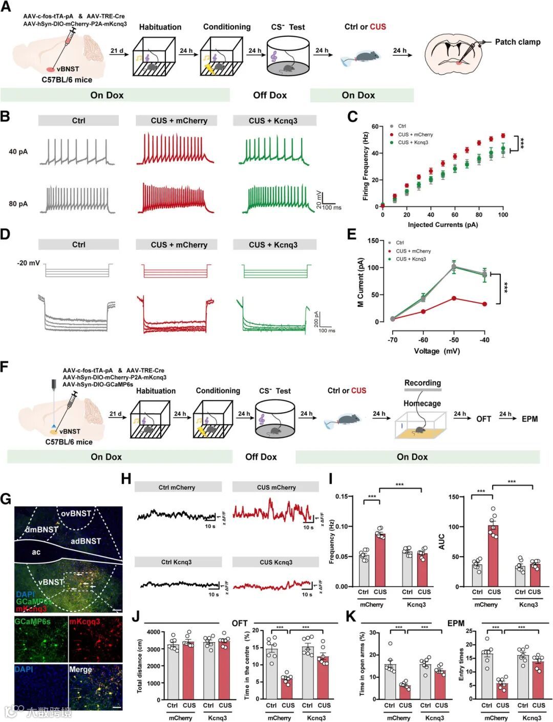
CS 的人工激活−- vBNST 中的响应式集成已被证明会诱发焦虑样行为。然而,CS−-vBNST 中对不可预测的威胁引起的焦虑的反应集合仍不清楚。为了调查此问题,研究团队记录了 CS 的活动慢性不可预测的压力之后的反应合奏。研究团队的研究结果表明,抑制 CS−-vBNST 中的反应集成缓解了在接受 CUS 的小鼠中观察到的焦虑样行为增加。总的来说,这些发现表明,研究团队在雄性小鼠中证实的假设也可能适用于雌性小鼠。
此外,研究团队发现 vBNST-CeM 回路的抑制挽救了在 OFT 和 EPM 测试中观察到的升高的焦虑样行为,而 vBNST-vlPAG 回路的操作没有明显的焦虑作用。因此,研究团队的数据表明 CS 的过度激活−-vBNST 中的响应集成通过投射到 CeM 和针对 CS 的 CS 导致 CUS 诱导的焦虑−-vBNST 中诱导的集成是缓解焦虑行为的潜在策略。
▲ KCNQ3 在 vBNST CS 中的过表达−反应细胞可以挽救 CUS 诱导的 vBNST 多动和焦虑样行为
然后,进行 western blot 实验以探讨 CUS 处理与 KCNQ3 表达之间的关系。研究团队检测到 CUS 后 KCNQ3 蛋白和 mRNA 水平降低。研究团队使用 retigabine 研究 KCNQ3 激活对 CS 活性的影响−- vBNST 和鼠标行为中的响应式集成。研究团队发现,在 vBNST 中显微注射瑞替加滨减弱了 CUS 后观察到的电生理和行为改变以及 CS 活性的增加vBNST 中的响应集成和不可预测的压力后的焦虑行为。
焦虑是由对不可预测的威胁的过度担忧引起的。控制不可预测的威胁引起的焦虑的神经回路仍不清楚。在这里,研究团队发现终纹GABA 能神经元的腹床核通过来自岛叶皮层谷氨酸能神经元的协调兴奋性输入和来自杏仁核生长抑素神经元外侧核的抑制性输入,表现出对不可预测的威胁的选择性激活。实验数据揭示了一个正向抑制回路,该回路决定了 vBNST 在不可预测的威胁和焦虑中的选择性激活,并表明 KCNQ3 通道是治疗不可预测的压力后焦虑障碍的有前途的靶点。
领脑科技多通道同步光遗传光纤记录系统,具有同时实现多个通道的光遗传刺激和荧光信号记录的特点和优势,每个通道光刺激参数可独立调控。该系统能够解析多神经环路神经活动与行为的关联,探索行为的多样调控机制。
产品即将在年底推出,敬请期待!
领脑科技将持续为您
跟进业界最新技术与资讯,
下期见。
往期精彩内容
微信号 | 领脑科技
邮箱 | lingnaokeji@163.com
网址 | www.lambdaroptic.com
参考文献:
https://www.cell.com/cell-reports/fulltext/S2211-1247(24)01532-8

