焦虑的特征是高度唤醒和消极效价的状态,对不确定或时间/空间遥远的威胁线索的警觉性增强。焦虑症在任何时候都影响着大约 14%-18% 的人口,已成为最普遍的心理生理障碍之一。迫切需要新的有效治疗方法来治疗焦虑症。
2024年10月25日,来自麻省理工学院麦戈文脑研究所和脑与认知科学系Nitsan Goldstein带领的研究团队在《 Cell Reports 》上发表了题为 General anesthesia activates a central anxiolytic center in the BNST 的研究论文。
研究团队之前曾假设 GA 的一些作用是由 GA 激活的而不是 GA 抑制的神经元执行的。为此,研究团队在视上核中发现了神经元,这些神经元被多种 GA 药物激活,这些药物强烈促进镇静和慢波睡眠。人类和动物研究表明,CeA 调节恐惧反应,而 BNST 复合物调节对延迟和/或不可预测的威胁的焦虑反应。研究团队表征了 ovBNST 的解剖学、分子和功能特征加语神经元,并发现它们足以驱动抗焦虑状态的行为和自主神经反应特征。总之,研究团队的结果揭示了 ovBNST 神经元的一个特定亚群,它是麻醉药物抗焦虑作用的常见神经基质,可能是焦虑治疗的靶点。
不同的 GA 药物和地西泮都会激活
一簇 GABA 能 ovBNST 神经元
▲全身麻醉剂和抗焦虑药激活 ovBNST 中的 GABA 能神经元群
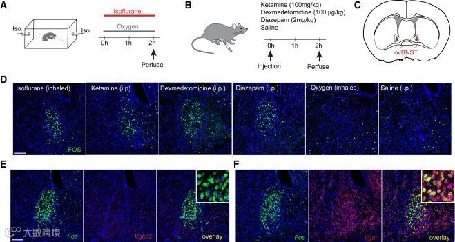
为了确定可能引起全身麻醉诱导的焦虑解药的神经元,研究团队搜索了被麻醉药和抗焦虑药激活的人群。虽然全身麻醉剂强烈激活 ovBNST 和 CeA 中的神经元,但地西泮在 CeA 中的作用相对较弱,这表明 ovBNST 总体在调节焦虑的能力上可能是独一无二的。
BNST 由许多细胞核组成,包括 GABA 能和谷氨酸能神经元。研究团队在 ovBNST 中发现了非常稀疏的 Vglut2 标记,并且几乎所有的 ovBNST加语神经元的 Vgat 阳性,而不是 Vglut2 阳性,这与 Allen Brain Atlas 的结果一致。因此,研究团队得出结论,ovBNST加语神经元是 GABA 能的。
ovBNST
活动相关定位加语神经元
▲全身麻醉剂和抗焦虑药激活相同的 ovBNST 神经元亚群
异氟醚、氯胺酮、右美托咪定和地西泮的作用机制明显不同,但它们都激活了 ovBNST 中的 GABA 能神经元。Fos-TRAP2 是一种相当有效且选择性的标记和操作 ovBNST 的工具加语神经元。总之,实验结果突出了 ovBNST 共享种群的存在加语体内被各种麻醉/抗焦虑药物激活的神经元。
研究团队进一步证实了 iso-TRAPed ovBNST 之间没有重叠加语神经元和少量约束、足部休克或福尔马林激活的神经元,其中约束激活了 ∼3.2% 的 ovBNST加语神经元,足部休克激活 ∼ 4.1% 的 ovBNST加语神经元和福尔马林激活 ∼4.6% 的 ovBNST加语神经元。
ovBNST 的激活加语Neurons
有很强的抗焦虑作用没有镇痛作用
▲ovBNST加语神经元双向调节焦虑样行为
研究 ovBNST 的功能作用加语神经元中,研究团队将 Cre 依赖性 AAV 载体双侧注射到 Fos-TRAP2 小鼠的 ovBNST 中,以表达通道视紫红质-2 进行光遗传学激活,用于光遗传学沉默的增强型古视紫红质。ovBNST 既不激活也不沉默加语神经元对动物擦拭脸部的时间有任何影响,表明 ovBNST加语神经元,与 CeA 不同加语神经元,没有强烈的镇痛作用。
研究团队对这些动物进行了焦虑样行为的多项测试。ovBNST 的激活加语神经元是抗焦虑的,而抑制是焦虑的。因此,ovBNST加语神经元还可以减少持续炎症性疼痛期间的焦虑样行为。
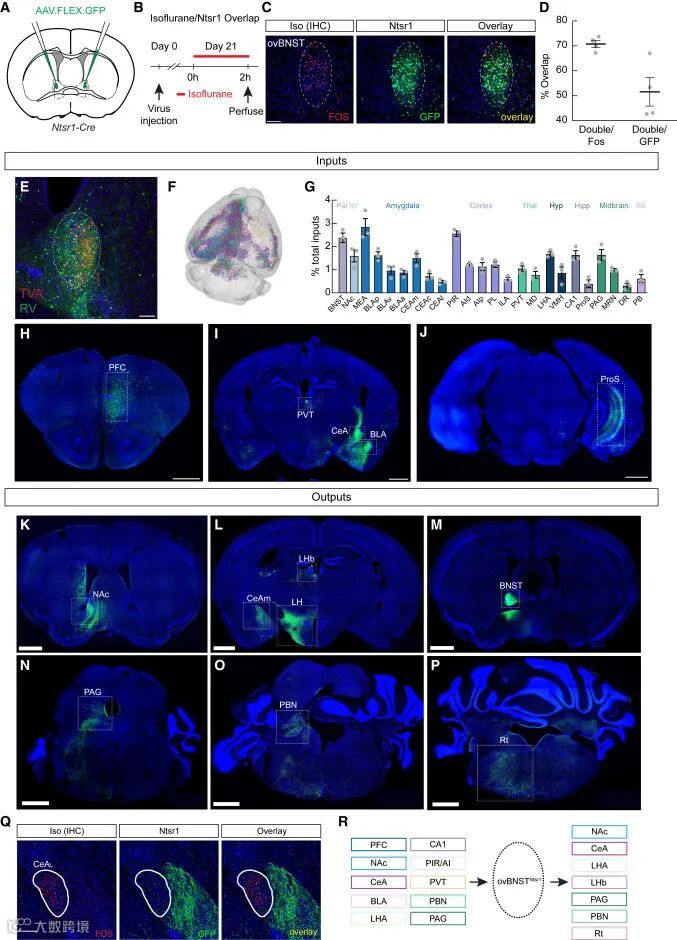
Ntsr1 是 ovBNST
可靠标志物加语神经元
▲ovBNST 的解剖学特征NTSR1神经元
尽管当神经元被有效 TRAP 时,活动依赖性标记产生了强烈的行为影响,但用这种方法标记麻醉激活的 ovBNST 神经元的成功率在研究团队手中很低。原位杂交和免疫染色结果显示 ovBNST加语神经元与表达 Pdyn 或 Sst 的神经元不重叠,并且多巴胺受体 D1r 和 D2r 的表达水平非常低。总体而言,Fos+ ovBNST 的 ∼71%加语神经元由 Ntsr1-GFP 标记,而 ∼52% 的 Ntsr1-Cre-GFP+ ovBNST神经元是 Fos +,表明 Ntsr1-Cre 是靶向 ovBNST 的合理驱动因素加语神经元。
研究团队还使用在体光遗传光纤光度法来确认 ovBNSTNTSR1神经元被全身麻醉剂激活。研究团队在 Ntsr1-Cre 小鼠的 ovBNST 中表达 GCaMP6s,并植入一根光纤来记录钙荧光作为神经活动的代表。与氧对照试验相比,异氟醚显着增加了 GCaMP6s 荧光 。综上所述,研究团队的结果表明 Ntsr1 是大多数 ovBNST 的可靠标志物加语神经元。
ovBNSTNTSR1神经元
双向调节焦虑样行为
▲ LH 的差异功能GABA 系列不同家庭驱动行为中对 VTA 和 PAG 的预测
接下来,研究团队研究了 ovBNST 的效果NTSR1神经元激活对情感和焦虑样行为的影响。研究团队在 ovBNST 中表达 ChR2NTSR1神经元并对小鼠进行条件性位置偏好测定,以测试这些神经元的激活是否促进积极影响。研究团队还发现,与 ovBNST 一样加语神经元激活,ovBNST 的 ChR2 激活NTSR1神经元导致 OF 中心区和 EZM 张开臂的探测时间增加。
通过一致且有效的 Ntsr1-Cre 介导的标记,研究团队询问 ovBNSTNTSR1神经元可能具有更强的镇痛作用。总之,实验结果表明 ovBNST 具有温和的抗伤害性作用NTSR1神经元与 CeA 更强的镇痛作用不同加语神经元,能够大大降低急性疼痛和慢性神经病变或炎症后的超敏反应。
▲ ovBNST 的长期失活NTSR1神经元驱动长期焦虑样行为
研究团队的结果表明,急性激活 ovBNSTNTSR1神经元减少类似焦虑的行为,并与积极影响相关。因此,研究团队想知道长期抑制这些神经元是否会导致长时间的焦虑状态。结果表明,撤出阈值不受 Kir2.1 表达的影响。这些发现表明,ovBNST 的光遗传学激活NTSR1神经元急性减弱焦虑样行为,而长期抑制可诱发慢性焦虑样行为。
ovBNST 的激活NTSR1神经元
促进抗焦虑状态特征的自主神经
▲ ovBNSTNTSR1神经元将自主神经输出转移到不那么焦虑的状态
虽然这些行为研究为 ovBNST 的抗焦虑功能提供了证据加语和 ovBNSTNTSR1激活,啮齿动物行为测试对人类焦虑的预测有效性尚不清楚。研究团队发现,在试验早期,当小鼠更加焦虑时,HR 显着降低,但随着动物适应新环境,神经元激活的效果会因最终刺激而减弱,表明 ovBNST 的效果NTSR1取决于状态。
抗焦虑状态与抗焦虑状态的关键自主神经指标是 HR 变异性,它反映了连续心跳之间间隔的波动。HRV 反映了动态交感神经/副交感神经活动以及身体快速改变平衡以准备代谢和稳态需求的能力。总之,这些数据表明 ovBNSTNTSR1神经元可以状态依赖性地调节自主神经功能,以在焦虑状态下抑制焦虑。
总体而言,研究团队的遥测记录表明 ovBNSTNTSR1神经元通过降低 HR 和增加 HRV 来调节 ANS 功能,从而将 ANS 转变为不那么焦虑的状态。研究团队想知道 ovBNSTNTSR1抗焦虑药物的心动过缓作用需要神经元。这些结果表明 ovBNSTNTSR1神经元对于抗焦虑药物地西泮的心动过缓作用是必需的。
研究团队在终纹床核的椭圆形分区中发现了一组 GABA 能神经元,这些神经元被多种麻醉剂和抗焦虑药物地西泮大多数 ovBNST加语神经元表达神经降压素受体并与已知调节焦虑和压力反应的大脑区域形成回路。研究团队的研究确定了 ovBNST加语/ovBNSTNTSR1神经元作为介导低剂量麻醉剂抗焦虑作用的常见神经基质,是治疗焦虑相关疾病的潜在治疗靶点。
领脑科技多通道同步光遗传光纤记录系统,具有同时实现多个通道的光遗传刺激和荧光信号记录的特点和优势,每个通道光刺激参数可独立调控。该系统能够解析多神经环路神经活动与行为的关联,探索行为的多样调控机制。
产品即将在年底推出,敬请期待!
领脑科技将持续为您
跟进业界最新技术与资讯,
下期见。
往期精彩内容
微信号 | 领脑科技
邮箱 | lingnaokeji@163.com
网址 | www.lambdaroptic.com
参考文献:
https://www.cell.com/cell-reports/fulltext/S2211-1247(24)01260-9

