性别是跨物种行为的主要调节因素,但介导这些差异的众多潜在神经生物学机制并未得到充分表征,一种关键的行为神经调节剂是性类固醇激素雌激素,它在人类的月经周期和啮齿动物的发情周期中在女性的卵巢中大量产生,它也可能支持与神经精神疾病相关的适应不良行为被经典地描述为通过与核雌激素受体结合来影响行为,从而通过基因组机制产生广泛的转录变化。
虽然对其在 E2 行为调节中的作用的快速信号机制探索较少,但在卵巢切除的雌性啮齿动物中的工作已经确定,E2 信号在海马体中的膜相关 ER 上促进记忆巩固,这对于以后使用修饰的 E2 很重要。基础工作已经确定,E2 信号转导会促进完整女性的饮酒,因为 ERα 的敲除或降解会减少饮酒,内源性卵巢来源的 E2 在完整的女性饮酒和回避行为中的作用的具体机制尚未确定。
12月30日,来自康奈尔大学威尔康奈尔医学院研究生院药剂学研究生课程威尔康奈尔医学院 Kristen E. Pleil研究员带领的研究团队在《 nature communications 》上发表了题为Rapid nongenomic estrogen signaling controls alcohol drinking behavior in mice的研究论文。
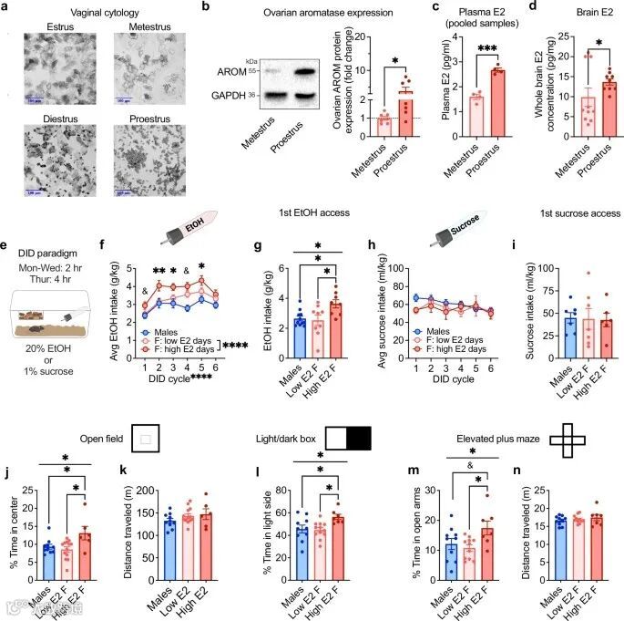
在这里,研究团队表明雌性小鼠的饮酒和回避行为都根据全身 E2 水平在整个发情周期中动态波动,导致观察到这些行为的性别差异。研究团队表明,卵巢 E2 的促饮酒而不是抗焦虑作用是通过终纹床核中膜相关 ERα 的快速非基因组信号传导发生的,BNST 是强烈表达 ER 的最具性二态性的大脑区域之一。
整个发情周期的雌激素状态
决定了酗酒和回避行为
▲在整个发情周期中,酗酒和回避行为随 E2 状态波动
先前的研究无法显示 4-5 天发情周期中饮酒的动态调节或 E2 在性腺完整的雌性啮齿动物的动机饮酒中的因果作用,可能是由于实际考虑,包括行为测试的时间、日常监测技术对发情周期的潜在破坏,以及啮齿动物发情前期 E2 的相对短暂峰值。研究团队首先采用这种策略来评估发情周期期间高 E2 状态对酗酒的影响,使用标准黑暗中饮酒范式。在高 E2 状态下,女性在高 E2 状态下表现出相似的蔗糖摄入量,并且在蔗糖 DID 周期中与雄性相比和第一次接触蔗糖期间,表明卵巢 E2 状态对饮酒的影响并未推广到可口/有益物质或食欲调节。
大量饮酒通常与焦虑失调有关,焦虑行为本身对人类卵巢衍生的 E2 状态也很敏感和啮齿动物,为了深入了解卵巢 E2 是否动态调节完整雌性小鼠的回避行为,研究团队首先间隔一周进行了一系列回避行为测定。表明卵巢 E2 是个体水平回避行为的关键实时调节剂,即使小鼠之前有过实验诱导的焦虑症背景。
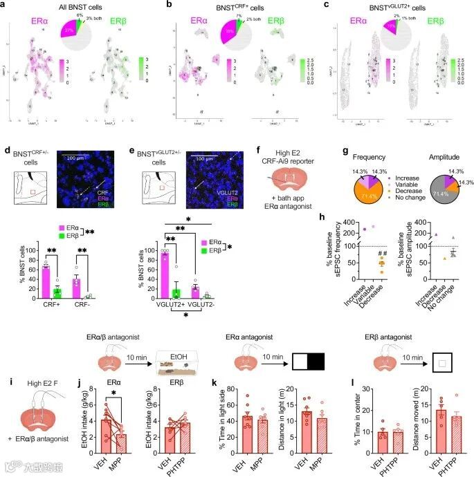
高卵巢雌激素状态增强 BNST 的兴奋性
突触传递CRF神经元及其促饮酒的作用
▲BNSTCRF神经元对卵巢雌激素状态敏感
来自患有酒精使用障碍和焦虑症的人类患者的数据表明,BNST 是这些疾病状态下神经回路改变的重要枢纽,BNST 在调节啮齿动物的酗酒和回避行为中至关重要,表达 BNST 神经的 CRF 的主要亚群对于驱动两性饮酒和男性的回避行为至关重要,并投射到与压力、奖励和酒精使用相关的许多区域。实验结果表明,高卵巢来源的 E2 可能会增强兴奋性突触向 BNST 的传递CRF神经元,促进女性饮酒,导致她们比男性饮酒量更大。
检查卵巢 E2 状态是否调节 BNSTCRF饮酒行为期间体内神经元激发,研究团队在 BNST 中使用钙生物传感器 GCaMP6sCRF神经元作为改良 EtOH DID 任务期间群体水平神经元活动的代理测量。在 DID 的每一天中,小鼠在 20% EtOH 通路之前和之后接受饮水 和饮用行为的舔计跟踪用于表征饮水/饮酒的时间动力学和之间的关系,BNSTCRF神经元活动和卵巢 E2 状态。研究团队发现小鼠表现出更大的积极性。
▲卵巢 E2 状态调节 BNST 的活性CRF动机性饮酒期间的神经元
饮酒,定义为在高 E2 状态下比处于低 E2 状态时更多的舔舐次数,特别是在 EtOH 通路的前 30 分钟内,包括更长的饮酒时间和更高的平均发作持续时间。然而,在整个使用期间的比赛总数、舔舐行为和液体消耗量在高 E2 和低 E2 饮酒日之间没有差异。研究团队还研究了 BNST 的 E2 状态依赖性CRF回避行为期间的神经元活动,总而言之,这些结果表明 BNST 的高卵巢 E2 状态依赖性兴奋CRF神经元有助于促酒精饮酒,而不是焦虑解,在发情前期观察到的表型。
BNST 中的快速非基因组 E2 信号转导
促进酗酒并增加 BNST 中的兴奋性突触传递CRF神经元
▲BNST 中的快速 E2 信号转导概括了卵巢 E2 的促饮酒但不抗焦虑作用并调节 BNSTCRF神经元
研究团队接下来评估了卵巢 E2 可以调节酗酒和回避行为的时间尺度。研究团队发现全身施用芳香化酶抑制剂来曲唑以急性阻断 E2 合成剂量依赖性地抑制了处于高卵巢 E2 状态的女性的暴饮暴食但不处于低卵巢 E2 状态。急性 LET 给药对高或低卵巢 E2 女性的暴饮暴食蔗糖没有影响,这表明 E2 在促进饮酒中的作用不是由于对一般食欲行为或奖励敏感性的调节。
实验数据表明,E2 信号通过快速非基因组机制促进 BNST 大亚群的谷氨酸能驱动CRF神经元,可能由投射种群/回路贡献定义,这种机制可能有助于 BNST 中快速 E2 信号传导的促饮酒作用。
ERα 介导 BNST 中
快速 E2 信号传导的作用
▲ERα 在 BNST 中稳健表达,介导酗酒的快速 E2 调节,但不介导回避行为
为了研究介导饮酒 E2 驱动的受体,研究团队检查了 BNST 回路中 ER 的表达。这表明高卵巢 E2 女性的 BNST 中存在 E2 音调,通过 ERα 的快速信号传导导致更高的 sEPSC 频率;ERα 拮抗作用的快速性质表明膜上的 E2-ERα 信号传导介导卵巢 E2 调节的作用。总而言之,研究团队的结果表明,膜结合 ERα 的快速 E2 信号传导介导 E2 对 BNST 的影响CRF神经元兴奋,并且是完整雌性小鼠高卵巢 E2 状态的促饮酒作用所必需的。相比之下,对卵巢 E2 状态敏感的基础焦虑状态不受急性 E2 操作的影响;相反,高卵巢 E2 状态的转录程序可能是 E2 的抗焦虑作用所必需的。
卵巢来源的雌激素可以在大脑中的膜相关受体上发出非经典信号,以快速调节神经元功能。研究团队发现,当发情周期中雌激素高时,雌性小鼠表现出更大的酗酒和更少的回避。高内源性雌激素的促饮酒但非抗焦虑作用是通过终纹床核中膜相关雌激素受体 α 的快速信号传导发生的,这促进了促肾上皮质激素释放因子神经元的突触兴奋并促进了它们在饮酒期间的活动。因此,本研究证明了卵巢衍生雌激素在大脑中控制性腺完整女性行为的快速、非基因组信号传导机制。
领脑科技多通道同步光遗传光纤记录系统,具有同时实现多个通道的光遗传刺激和荧光信号记录的特点和优势,每个通道光刺激参数可独立调控。该系统能够解析多神经环路神经活动与行为的关联,探索行为的多样调控机制。
产品即将在年底推出,敬请期待!
领脑科技将持续为您
跟进业界最新技术与资讯,
下期见。
往期精彩内容
微信号 | 领脑科技
邮箱 | lingnaokeji@163.com
网址 | www.lambdaroptic.com
参考文献:
https://www.nature.com/articles/s41467-024-54737-6

