掠食性狩猎是一种重要的进化保守的先天行为,对动物的生存至关重要值得注意的是,胡须检测到的振动触觉线索在捕食性狩猎中起着主要和关键的作用猎物移动时,捕食者的胡须会偏转,这反过来会产生触觉线索,激活负责检测三叉神经节机械刺激的神经元,三叉神经节中的初级感觉神经元代表了啮齿动物振动信息。
上丘在进化过程中高度保守,可以分为多个层次,在感觉处理和感觉运动转换方面具有不同的功能,尤其是在捕食性行为中SC 神经元表现出特定的视觉反应特性。除了视觉线索外,SC 神经元还对来自振动触摸的感觉输入做出反应,有助于猎物定位和跟踪。为整合体感和运动皮层信号的关键节点,然而,三叉神经复合亚区域是否在整合猎物来源的振动体感信息以驱动主动狩猎方面起关键作用仍在很大程度上是未知数。
2025年3月14日,来自河北医科大学神经血管生物学教育部重点实验室在《 nature communications 》上发表了题为Cholecystokinin neurons in the spinal trigeminal nucleus interpolaris regulate mechanically evoked predatory hunting in male mice的研究论文。
在本研究中,通过结合基因编码电路分析工具,研究团队确定了对小鼠捕食性狩猎至关重要的 Sp5I 神经元子集。这些神经元对机械刺激做出反应,并向 SC 发送运动信号以驱动掠夺性攻击。研究团队的数据揭示了大脑在猎物捕获行为期间将猎物衍生的体感线索转化为掠夺性攻击的方式。
机械诱发的
掠食性狩猎行为范式
▲机械诱发的掠食性狩猎行为范式
研究团队通过建立一个行为范式来分析小鼠的振动体感触发的捕食性狩猎,从而开始这项研究。狩猎测试首先将蟑螂引入老鼠,在不同大小的竞技场中开灯或关灯。研究团队揭示了黑暗不会影响在小竞技场中修剪或不修剪弧菌的捕食性狩猎;然而,弧菌修剪显着阻止了开灯或关灯的捕食性狩猎。这些结果表明,掠食性狩猎依赖于来自狭窄空间中猎物的运动相关体感线索。
然后,研究团队探讨了在开灯的小竞技场中振动体感触发捕食性狩猎的机制。研究团队将 AAV-DIO-EGFP-2A-TeNT 双侧注射到 Advillin-Cre 小鼠的三叉神经节中,以沉默体感神经元,这显着抑制了狩猎效率,捕获时间增加、狩猎延迟增加和攻击频率降低都证明了这一点。表达 Mrgprb4 但不表达 TrkB 的 LTMR 神经元的突触失活显着损害了狩猎效率。这些数据表明,非有害机械力可能是引起小鼠捕食性狩猎的关键刺激,而有害机械力可能在捕食性捕食中起辅助作用。
胆囊收缩素阳性Sp5I 神经元
机械诱发捕食性狩猎所必需的
▲脊髓三叉神经核 interpolaris (Sp5I) 的失活会损害捕食性狩猎
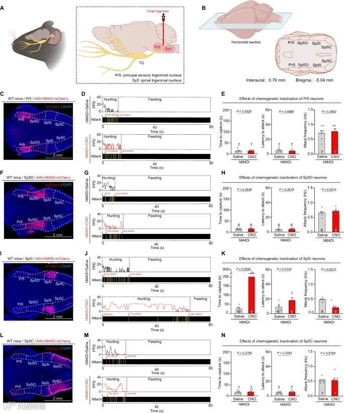
为了探索三叉神经复合物在小鼠捕食性狩猎中的作用,研究团队将 AAV-hM4Di-mCherry 注射到野生型小鼠中,以分别在狩猎任务中灭活 Pr5、Sp5O、Sp5I 或 Sp5C 神经元。Sp5I 神经元的化学发生学失活,但不是 Pr、Sp5O 或 Sp5C神经元,随着捕获时间的增加,狩猎延迟的增加,狩猎频率的降低,狩猎效率显著降低。这些发现表明,Sp5I 是介导这种机械诱发的捕食性狩猎行为的主要大脑区域。
▲表达胆囊收缩素 (Cck) 的 Sp5I 神经元对于捕食性狩猎至关重要
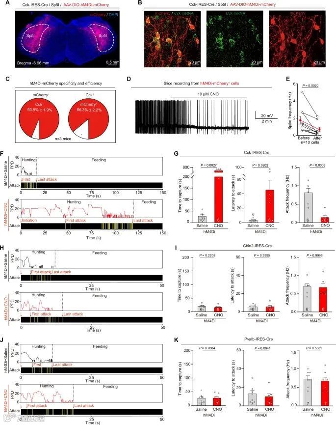
Sp5I 神经元可细分为两种类型:喙区投射到丘脑或小脑的多弧菌反应性谷氨酸能兴奋性神经元,以及尾部区域投射到三叉神经柱其他分支的单弧菌反应性 GABA 能抑制性中间神经元,研究团队验证了 tdTomato 标记 Sp5I 中 Cck 神经元的特异性和有效性。
为了确定 Sp5I 中介导机械诱发的捕食性狩猎的关键神经元亚型,研究团队将 AAV-DIO-hM4Di-mCherry 注射到 Cck-IRES-Cre 的 Sp5I 中、Cbln2-IRES-Cre 和 Pvalb-IRES-Cre小鼠。研究团队观察到与盐水组相比,捕获时间、攻击潜伏期或攻击频率没有显着差异。这些发现表明 Cck Sp5I 神经元可能是小鼠捕食性狩猎中心电路模块的重要组成部分。
Cck Sp5I 神经元
对机械刺激做出反应
▲表达 Cck 的 Sp5I 神经元对机械刺激做出反应
接下来,研究团队系统地表征了 Cck Sp5I 神经元的生理特性。为了评估这些神经元在狩猎过程中的反应特性,研究团队使用纤维光度法记录了 Cck Sp5I 神经元中的 GCaMP 信号。将 AAV-DIO-GCaMP7s 注射到 Cck-IRES-Cre 小鼠的 Sp5I 中,然后在 Cck Sp5I 神经元上方植入在体光遗传光纤。研究团队还发现,Cck Sp5I 神经元的 GCaMP 荧光响应从 A4 到 A1、B5 到 B1、C5 到 C1、D5 到 D1 和 E5 到 E1 弧菌刺激逐渐增加,总体而言,这些数据表明 Cck Sp5I 神经元对同侧口面部区域的非有害机械刺激有选择性反应。
映射 Cck Sp5I 神经元
输入和输出连接
▲Cck Sp5I 神经元突触连接的分析
使用重组狂犬病病毒,研究团队接下来进行了单突触逆行示踪检查 Cck Sp5I 神经元如何与与机械刺激相关的周围感觉神经连接。研究团队通过将 AAV-DIO-EGFP 注射到 Cck-IRES-Cre 小鼠的 Sp5I 中来探索 Cck Sp5I 神经元的传出投射,以检查 Cck Sp5I 神经元如何与与机械诱发的捕食性狩猎行为相关的大脑区域连接的一项全脑调查显示,Cck Sp5I 神经元产生了一系列到多个大脑区域的轴突投射。先前的研究表明,在狩猎过程中,需要 SC 神经元将与猎物相关的振动触觉信号整合到猎物检测和攻击中在这里,研究团队发现 Cck Sp5I 神经元投射到 SC 上的 S这一发现表明 Cck Sp5I-SC 通路可能参与机械诱发的捕食性狩猎。
Cck Sp5I-SC 通路
机械诱发捕食性狩猎所必需的
▲Cck Sp5I-SC 通路参与机械诱发的捕食性狩猎
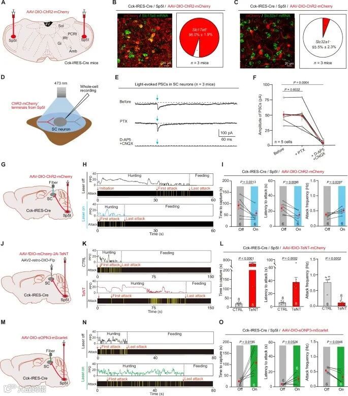
研究团队将 AAV-DIO-ChR2-mCherry 注射到 Cck-IRES-Cre 小鼠的 Sp5I 中。大多数 ChR2-mCherry 标记的 Cck Sp5I 神经元对 Slc17a6 mRNA 呈阳性,而只有一小部分 Slc32a1 mRNA 呈阳性。接下来,在 SC 的急性脑切片中进行全细胞记录。这些电流被谷氨酸受体拮抗剂 D-AP5 和 CNQX 的灌注抑制 。
为了检查 Cck Sp5I 投射的 SC 神经元是否构成机械诱发捕食性狩猎中的关键电路模块,将 AAV-DIO-ChR2-mCherry 注射到 Cck-IRES-Cre 小鼠的 Sp5I 中;随后是 SC 上方的双侧在体光遗传光纤植入。Cck Sp5I 神经元投射到 VPM 核。为了研究 Cck Sp5I 投射的 VPM 神经元是否在机械诱发的捕食性狩猎中起重要电路模块的作用,将 AAV-DIO-eOPN3-mScarlet 注射到 Cck-IRES-Cre 小鼠的 Sp5I 中,然后在 VPM 上方植入光纤。值得注意的是,VPM 中 eOPN3-mScarlet 轴突末端的光抑制对捕食性狩猎的效率没有影响。总之,这些数据表明 Cck Sp5I-SC 通路是机械诱发捕食性狩猎所必需的。
掠夺性狩猎在动物的生存中起着至关重要的作用。运动相关的振动体感信号对于小鼠的猎物检测和狩猎至关重要。人们对将振动体感线索转化为触发捕食性狩猎的神经回路知之甚少。在这里,研究团队报道了对雄性小鼠振动区的机械力是捕食性狩猎的关键刺激。从 Cck Sp5I 神经元到上丘的投射的突触失活损害了机械诱发的捕食性攻击。总之,这些数据揭示了一个脊髓三叉神经核神经回路,该神经回路专门参与翻译振动体感线索以激发掠食性狩猎。
领脑科技最新产品在体可穿戴微型显微镜MiniFM1,作为同类的钙成像研究必备的国产自研设备,已全新上市!
领脑科技将持续为您
跟进业界最新技术与资讯,
下期见。
往期精彩内容
微信号 | 领脑科技
邮箱 | lingnaokeji@163.com
网址 | www.lambdaroptic.com
参考文献:
https://www.nature.com/articles/s41467-025-57771-0

