焦虑障碍是全球最常见的心理健康障碍类别之一,影响全球约15%的人口,且与COVID-19大流行相关的患病率显著上升。焦虑障碍对个体日常功能的重大影响凸显了开发更有效治疗干预的必要性。
右旋美托咪定是一种高度选择性的α2肾上腺素能受体激动剂,常用于临床环境的镇静和镇痛,且无显著的呼吸抑制作用。近期临床研究表明,Dex能有效缓解成人和儿科手术患者在围手术期的焦虑症状。鉴于焦虑障碍的慢性性质,Dex是否能持续产生抗焦虑效果仍不确定。
位于脑干的蓝斑点在调节唤醒和应激反应中起着关键作用。该区域主要由表达酪氨酸羟化酶的神经元组成,TH是去甲肾上腺素释放的主要位点。近期研究,尤其是涉及人类和动物模型的研究,强调了LC-NE系统在压力诱发焦虑症状表现中的关键作用。然而,LC导致焦虑障碍的具体机制仍需进一步研究。
2025年11月18日,来自中国科学院脑科学与智能技术卓越中心神经科学研究所张哲团队在《 Translational Psychiatry 》上发表了题为Dexmedetomidine elicits a prolonged anxiolytic effect by inhibiting adrenergic neurons in the locus coeruleus in mice的研究论文。
在本研究中,研究团队采用了慢性约束压力小鼠模型,这是一种成熟的焦虑相关症状研究范式。研究团队的研究结果表明,LC-NE神经元在慢性焦虑状态下表现出持续激活,单次注射Dex对LC-NE神经元的兴奋产生长期抑制作用,这种兴奋特异性由α2肾上腺素受体介导。这种抑制作用随后导致mPFC中NE水平异常升高,从而缓解焦虑症状。
Dex缓解由慢性约束压力引发
类似焦虑的行为
▲Dex对小鼠焦虑样行为的影响
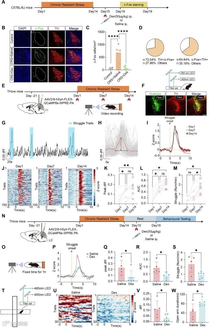
为了研究Dex对慢性焦虑的影响,研究团队采用了CRS小鼠模型。CRS组的小鼠经历了14天的约束压力,而对照组则在稳定条件下被维持,包括在家中笼子内进行等效的禁食和缺水时间。最后一次约束后一天,小鼠被随机分配接受一次腹腔注射,注射生理盐水或Dex。这些发现综合表明,慢性约束压力会引发强烈的类焦虑行为,而单次低剂量的Dex有效缓解了这些行为。为评估Dex抗焦虑效果的持续时间,在给药后第七天对一组小鼠进行了独立测试。结果显示,慢性压力继续诱发类似焦虑的行为,但在较晚时间点,CRS+生理盐水组与CRS+Dex组之间无显著差异。所有后续行为研究均在Dex给药后第三天进行。
Dex抑制由慢性约束压力诱导的
LC-NE神经元的过度兴奋性
▲慢性约束应激会在小鼠中诱导LC-NE神经元的过度激活Dex则减轻LC-NE神经元的过度兴奋性
鉴于LC在调节压力反应中的关键功能,研究团队探讨了CRS后LC神经元活动的变化以及Dex对LC神经元活动的影响。由于NE神经元是LC中的主要细胞类型,研究团队利用c-Fos免疫荧光评估了其在焦虑小鼠中的活动变化。这些结果表明,慢性约束应激会诱导小鼠LC-NE神经元的持续激活,Dex给药则降低LC-NE神经元的兴奋性。
为了全面评估慢性约束压力下LC-NE神经元活动的时间动态,研究团队在约束范式的三个不同时间点对钙信号进行了纵向在体光遗传光纤光度记录:第1天、第7天和第14天。死后组织学验证确认了光纤定位准确且仅限于LC内TH+神经元的GCaMP6m表达。综合来看,这些结果表明,随着长期暴露于慢性约束压力,伴随焦虑状状态加剧,LC-NE神经元的兴奋性逐渐增加。
研究团队使用在体光遗传光纤光度测量评估给药后LC-NE神经元的变化。建立CRS模型后,小鼠通过腹腔注射给予50 μg/kg的Dex或生理盐水。这些发现表明,Dex给药能减弱LC-NE神经元的兴奋,并降低进入开臂小鼠的钙信号。
慢性约束压力后LC NE神经元
持续兴奋会使mPFC中的NE升高
▲Dex缓解了束缚过程中mPFC中NE过度释放
在研究LC-NE激活后,研究团队使用带有mCherry标记的病毒研究NE神经元的投射。注射后三周,多个脑区出现红色荧光投射,包括mPFC、外侧隔核、下丘脑室旁核、中央杏仁核及丘脑室旁核。
先前研究已证实,mPFC中NE浓度升高与小鼠焦虑加剧之间存在相关性。鉴于LC系统是大脑NE的主要来源,研究团队进一步探讨LC-NE神经元的持续激活是否通过NE释放导致小鼠焦虑。同时记录LC-NE钙信号和mPFCNE信号,确认了mPFC-NE的准确记录。实验发现表明Dex能减轻mPFC-NE的升高,并减轻焦虑样状态。
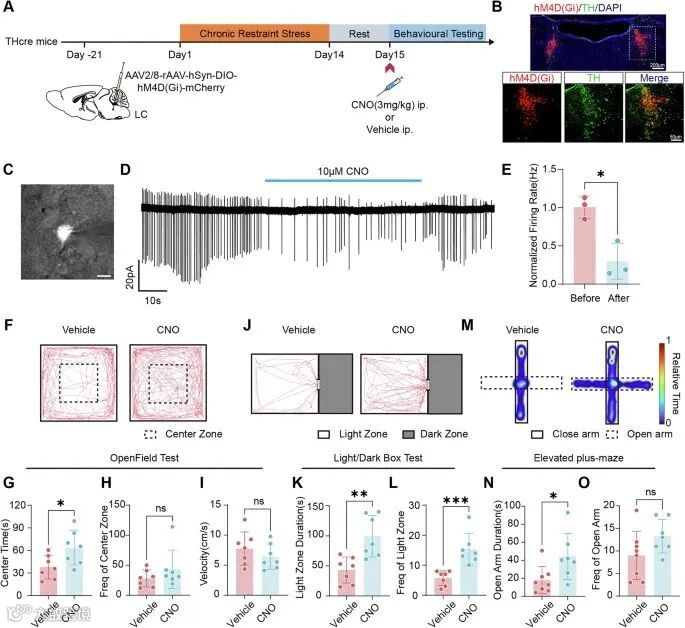
对LC-NE神经元的化学发生抑制
可缓解长期约束压力下小鼠的焦虑样行为
▲LC-NE神经元的化学发生抑制改善焦虑样行为
由于LC-NE神经元激活是CRS诱发焦虑的重要组成部分,研究团队探讨了抑制作为治疗策略。研究团队双侧注射AAV2/8-rAAV-hSyn-DIO-hM4D(Gi)-mCherry病毒到小鼠的液质。组织学证实病毒在双侧LC区域成功表达。这些发现表明LC-NE神经元抑制有效减轻焦虑。
▲LC-NE神经元的化成抑制降低了升高的mPFC-NE水平
为评估LC-NE抑制是否能减轻短暂限制期间mPFC-NE升高,研究团队将AAV2/9-hSyn-NE2h-WPRE-hGH-pA病毒注射到小鼠双侧LC中,并将AAV2/8-rAAV-hSyn-DIO-hM4D(Gi)-mCherry注射到小鼠双侧LC中。LC-NE神经元的抑制减少了与抗争相关的mPFC-NE升高,并缓解了焦虑。
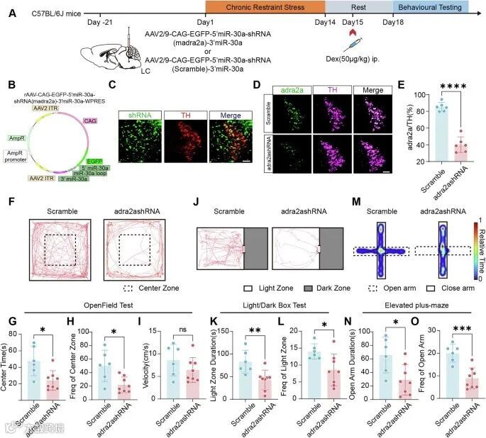
Dex通过激活焦虑小鼠中的α2肾上腺素受体
抑制LC-NE神经元
▲LC-NE神经元中α2受体的干扰逆转了Dex的抗焦虑效果
Dex是一种有效的α2激动剂,α2受体在NE神经元末端丰富。为研究α2受体在介导Dex产生的抗焦虑作用中的作用,研究团队使用了荧光原位杂交共染色LC中的TH和α2受体。脑切片在给药后第三天进行灌注固定并采集,进行FISH染色显示,α2受体在LC区域内分布较为显著,外部存在极少。这些发现表明NE神经元上的α2受体可能在焦虑调节中发挥作用。
基于这些发现,研究团队开发了一种用于神经元特异性α2受体干扰的病毒质粒。干扰病毒或对照病毒被注入双侧LC。结果显示,与Scramble组相比,adra2ashRNA组LC区域的α2/TH共定位率显著降低,证实了敲除成功。这些结果共同表明,Dex的抗焦虑效果依赖于NE神经元上α2受体的存在。
焦虑障碍带来了巨大的全球负担,但现有的药物治疗往往缺乏持续疗效,且存在依赖风险。右美托咪定是一种选择性α2肾上腺素能受体激动剂,主要用于镇静,具有良好的抗焦虑特性,但其长期神经机制尚不明确。在体光遗传光纤光度测量和化疗方法表明,Dex能抑制LC-NE神经元的过度活跃,并使mPFC的NE水平正常化。这些发现阐明了一种神经机制,即Dex通过α2受体介导的LC-NE-mPFC回路抑制来维持焦虑缓解,凸显了其作为焦虑障碍新型长效治疗策略的潜力。
领脑科技多通道同步光遗传光纤记录系统,具有同时实现多个通道的光遗传刺激和荧光信号记录的特点和优势,每个通道光刺激参数可独立调控。该系统能够解析多神经环路神经活动与行为的关联,探索行为的多样调控机制。
产品即将在今年推出,敬请期待!
领脑科技将持续为您
跟进业界最新技术与资讯,
下期见。
往期精彩内容
微信号 | 领脑科技
邮箱 | lingnaokeji@163.com
网址 | www.lambdaroptic.com
参考文献:
https://www.nature.com/articles/s41398-025-03682-z#Abs1

