“我今年45岁,一直是别人眼中的女强人,以前加班熬夜工作连轴转、全国各地飞来飞去都不在话下,睡一觉精神马上就好了,也有同事叫我「六边形女战士」,因为我是团队中那个总能迎难而上,解决各种疑难杂症的核心。
然而,即使最坚强的战士也会有疲惫的时候。年过四十以后,我感觉身体越来越不得劲儿,工作中的高效和精准开始受到影响,加上孩子的课业压力也越来越大,我常有种身体透支的感觉。
起初,我以为只是工作压力大,休息一下就会好,但症状并没有缓解。我还跟家人开玩笑说自己是不是提前进入了更年期,但内心的直觉告诉我,这可能不仅仅是年龄的问题,我必须更认真地对待身体发出的信号。”
1►
疲惫的「六边形战士」
竟是身体在悄悄失血
2020年,经过当地医院检查,发现赵女士的血常规结果不容乐观:血红蛋白(HGB)只有57g/L,远低于正常水平(120~160g/L)。铁三项检查显示为铁元素严重缺乏。这一发现使她意识到,这场她认为是与年龄相关的战斗,实际上是一场隐藏在幕后的健康危机。
被诊断为缺铁性贫血后,赵女士接受了补铁和输血治疗。治疗后症状有所好转,血红蛋白提高到了88g/L,她带着复苏的体力回到了繁忙的工作中。
但平静的日子并没有持续太久,两年后,赵女士再次遭遇了疲倦与虚弱的袭击,头晕和乏力如阴影般笼罩着她的生活。
她回到医院做了全面检查,这一次,血红蛋白(HGB)严重偏低到只有48g/L,可能会有生命危险,骨穿结果显示为缺铁性贫血(IDA)。经过胃镜检查,显示赵女士有贫血胃粘膜像、慢性非萎缩性胃窦炎,肠镜则发现了结肠息肉,但这些都无法完全解释她的贫血问题。
2►
一颗胶囊
探明消化道检查盲区
为了找到严重贫血的真正原因,赵女士来到了天津医科大学总医院,再次进行了电子胃镜和电子肠镜的检查。
医生在电子胃镜检查中发现,赵女士的十二指肠降段远端可见新鲜血迹,盐水冲洗后仍可见血性液体,未见出血病灶,但电子胃镜已无法继续进镜。
同时,电子肠镜显示:进镜90cm,到达回盲部。结直肠可见较多褐色及暗红色血迹,未见新鲜出血。
赵女士的化验还显示:大便常规+潜血呈双阳性。要进一步明确消化道出血的具体位置,上端电子胃镜和下端肠镜在插管检查的范围内却都没看到出血病灶。那么,病灶是否存在于中间小肠端?这就亟需无需插管的磁控胶囊内镜做进一步深入探查。
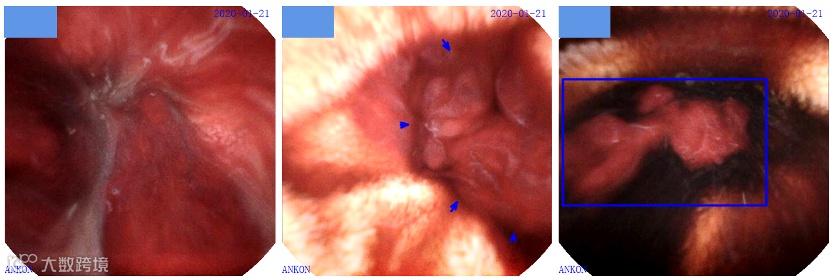
于是,医生为赵女士进行了磁控胶囊内镜检查。终于,在小肠内找到了出血病灶:
胶囊内镜检查显示:1小时04分起始可见新鲜出血,1小时05分28秒可见肠腔较大不规则隆起,表面粘膜局部糜烂,1小时15分32秒、1小时42分疑似隆起性病变,粘膜充血水肿糜烂。
胶囊内镜检查显示:1小时53分05秒疑似一隆起性病变;1小时57分可见肠腔内一较大不规则隆起性病变、表面粘膜糜烂。
3►
康复之路艰辛
早发现早治疗是关键
找到出血病灶后,赵女士接受了针对性治疗,手术切除了小肠肿物。
术后大病理结果显示:粘膜下见不规则淤曲扩张的脉管样结构,免疫组化染色示:CD31和CD34阳性,D2-40部分阳性,Desmin平滑肌阳性,考虑粘膜下血管瘤。医生最终诊断,赵女士的消化道出血病因——小肠良性肿瘤(黏膜下血管瘤)。
Q:
什么是小肠血管瘤?
小肠血管瘤是一种少见的良性肿瘤,极少发生恶变;
可导致消化道大出血;
由于诊断困难,误诊、漏诊率高;
病因:先天性,起源于中胚层的胚胎残余;
特点:可单发,也可多发,可并发胃及小肠血管瘤
手术非常成功,赵女士的身体逐渐康复,恢复了以往的活力。
诚然,即便是“六边形战士”也需要时刻留意身体的信号,面对健康的挑战时,早诊断、早治疗是关键,而科技的进步则是健康最强大的盟友。
* 特别鸣谢:天津医科大学总医院消化内科

