近年来,被称为“胃癌之王”的胃印戒细胞癌被越来越多人知晓,因其侵袭性强、难以捕捉、预后较差,并且患病者呈年轻化趋势,常令人谈「戒」色变。
这种胃癌的筛查,往往只给内镜医生一次机会,一旦漏诊,下次查出很可能已至晚期,病人恐将直接丧失治疗的机会,因此,这类癌症筛查需要高精度的医疗技术。
现代医学的一项创新——磁控胶囊胃镜,为我们提供了一种非侵入性且高效的筛查方法。胶囊胃镜小巧如药丸,能够在患者体内自由导航,捕捉到胃部最隐蔽的病变,有效识别出印戒细胞癌,为尽早治疗提供了可能。
1►
TA的故事:
经常反酸的“小毛病”
菲姐(化名)是一位47岁的家庭主妇,是朋友们眼中幸福的全职太太。菲姐的丈夫是一名工程师,经常出差,所以家里的大小事务都由她一手包办。她的生活虽然简单,但充满了幸福和满足。
几个月前,菲姐开始感觉到胃部有些不适——比如饭后经常感到胸部灼热和喉咙不适,尤其在吃完辛辣或油腻的食物后,喉咙里会有酸水倒流的感觉;晚上吃饱躺在床上时,这种感觉会更加明显,有时甚至影响到她的睡眠。
她尝试调整饮食习惯,少吃多餐,避免进食后立即躺下,但这些自我管理的方法并没有带来太大的改善。
2►
无痛无创
磁控胶囊胃镜初体验
丈夫多次建议菲姐去医院做个胃镜检查,但菲姐害怕插管胃镜的痛苦,一直拖着没去。无奈症状一直没有好转,终于,菲姐来到了中日友好医院的体检中心。医生告诉她,现在有一项成熟的不用插管的无痛胃镜技术——磁控胶囊胃镜检查,这是通过精准磁控技术完成的胃部全面检查,与电子胃镜的诊断准确性一致。
图:一颗胶囊 轻松查胃
菲姐在医生的指导下吞下了一个小小的胶囊,胶囊内装有微型摄像机,可以实时传输胃部的高清图像。胶囊胃镜的检查过程非常舒适快捷,对于即将看到的结果,菲姐还是有点紧张,但她也希望这次检查能够找到胃部不适的原因。
图:磁控胶囊胃镜检查过程示意
3►
意外发现
凶险的胃印戒细胞癌
检查结果令人意外。磁控胶囊胃镜报告显示:菲姐的胃部有花斑样充血,胃体下段粘膜粗糙,可见类溃疡样改变,周围粘膜聚集,局部变形。这与此前怀疑的胃食管反流症状不完全吻合,预示着病情可能没有预想的这么简单。
图:磁控胶囊胃镜检查报告(部分)
接下来,菲姐做了进一步的电子胃镜检查和活检病理。在进一步的检查中,医生在她的胃角处发现了白斑凹陷,病理结果对菲姐来说是一个巨大的打击——她被诊断为低分化腺癌,部分呈印戒细胞癌。
图:电子胃镜报告(部分)
病理诊断:
(胃)低分化腺癌,部分呈印戒细胞癌(大小约4*4*0.5cm),侵至黏膜下层,查见脉管癌栓,双侧手术断端净,网膜组织未见癌,淋巴结查见转移癌。
免疫组化结果:CK(AE1/AE3)(+),D2-40(+),CD34(+),CEA(+),KP-1(-)。
这个意外的发现让菲姐感到震惊,她从未想过自己的症状背后隐藏着如此严重的疾病。
4►
胃里的“毒戒指”
只给内镜一次机会
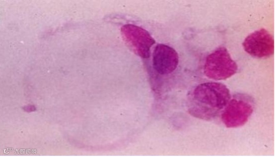
胃印戒细胞癌,之所以叫这个名字,就是因为它的癌细胞形态呈“戒指”样。
“印戒”听上去是个浪漫的名字,让人联想起象征美好爱情的戒指。但在医学临床上,这可是一枚能把专业人士吓出一身冷汗的“毒戒指”。
图:印戒细胞癌
Q:
什么是胃印戒细胞癌?
胃印戒细胞癌,是一种特殊类型的高度恶性肿瘤,约占胃癌的9.9%。
胃印戒细胞癌起源于胃黏膜上皮,是一种含有大量黏液的特殊胃癌类型,由于细胞中充满了黏液,把细胞核挤向了细胞的一侧,使其外形酷似一枚戒指。
胃印戒细胞癌多发于中青年,特别是青年女性。
它的恶性程度高,病情进展快,侵袭力强,极具攻击性,对放化疗还不敏感,预后差,危害大。
胃印戒细胞癌最大的挑战是,它通常只给内镜医生一次机会,如果这一次没发现,几个月或一年后可能就变成了进展期,甚至出现“皮革胃”、全身多处广泛转移等晚期表现,预后极差,酿成悲剧。
有医生认为,胃镜检查时,尤其青年女性,有下列征象者应怀疑胃印戒细胞癌:
① 病变范围较广,尤其胃及胃中下部;
② 胃壁僵硬、蠕动减弱或消失,胃腔变形、伸展不良;
③ 胃黏膜粗糙、增厚、糜烂,边缘不规则;
④ 伴有巨大溃疡、非幽门梗阻性胃潴留。
现在随着胃镜常规体检意识的提高及胃镜技术进步,已有越来越多的早期印戒细胞癌被发现。
5►
胶囊胃镜
开启我的“第二次生命”
在家人的支持下,菲姐决定勇敢面对,她知道她需要坚强,为了自己,也为了她的家庭。
菲姐开始了漫长的治疗旅程。手术、化疗、放疗,每一次治疗都是对她意志的考验,好在治疗效果不错。在医院的日子里,菲姐的丈夫和孩子们是她最大的支持。他们轮流陪伴在她身边,给她力量和勇气。
现在,菲姐定期要做磁控胶囊胃镜复查,她经常对身边的朋友说:“自己险些因为害怕做胃镜错过了治疗胃癌的最佳时期,是胶囊胃镜给了她第二次生命。”
* 特别鸣谢:中日友好医院

