搜索
首页
大数快讯
大数活动
服务超市
文章专题
出海平台
流量密码
出海蓝图
产业赛道
物流仓储
跨境支付
选品策略
实操手册
报告
跨企查
百科
导航
知识体系
工具箱
更多
找货源
跨境招聘
DeepSeek
首页
>
small RNA-seq揭示SNORA7A能够促进人脐带间充质干细胞的自我更新
>
0
0
small RNA-seq揭示SNORA7A能够促进人脐带间充质干细胞的自我更新
烈冰科技
2016-10-27
2
导读:第二军医大学的刘厚奇教授与王越教授通过对small RNA-seq数据的分析及实验验证,发现了一种起关键作用的snoRNA——SNORA7A
客户文章
small RNA-seq揭示SNORA7A能够促进人脐带间充质干细胞的自我更新
导读
如何研究核仁小RNA(snoRNA)在间充质干细胞自我更新中的作用?small RNA-seq技术提供了非常有力的
工具
。本期介绍的是烈冰利用small RNA-seq数据分析助力研究snoRNA在促进人脐带间充质干细胞的自我更新中的分子机制。
研究背景
人类脐带来源的间充质干细胞(Umbilical Cord Mesenchymal Stem Cells, uMSC)是一种具有多能性的细胞,它能分化成许多种组织细胞,被认为在临床治疗中具有广阔的应用前景。然而受其在体外培养时增殖能力下降以及多能性逐渐丢失的限制使得这类细胞在临床应用过程中具有很大的局限性。snoRNA(small nucleolar RNAs)是一类
长度
在60-300nt的非编码RNA,目前报道的两类主要的snoRNA分别为box H/ACA snoRNAs以及box C/D snoRNAs,他们能够与特定的蛋白形成snoRNP来行使功能。研究发现snoRNA除了参与多种疾病的发生过程之外,还参与了造血干细胞的分化过程,暗示着其在干细胞领域的重要作用,但是相关的作用机制还不明确。因此,通过small RNA-seq找到关键的snoRNA,并研究其在干细胞的增殖及多能性维持中的机制,将有助于我们增进对干细胞生物学中相关调控网络的了解,也将为干细胞的临床应用提供更多的理论依据。
为了研究snoRNA在uMSC增殖及多能性维持中的作用,来自第二军医大学的刘厚奇教授与王越教授通过对small RNA-seq数据的分析及实验验证,发现了一种起关键作用的snoRNA——SNORA7A,该研究结果最近以“H/ACA Box Small Nucleolar RNA 7A promotes the Self-Renewal of Human Umbilical Cord Mesenchymal Stem Cells”为题发表于著名国际学术期刊《STEM CELLS》。烈冰生信团队在small RNA测序数据的生信分析方面给予了有力的支持。
文章通过对已分化及未分化的间充质干细胞small RNA-seq数据进行分析,发现了在uMSC中表达量最高的一些H/ACA box snoRNAs在细胞分化后显著降低,暗示了其在多能性维持中的作用。其中SNORA7A在uMSC中具有最高的表达量,被用于后期的功能研究。通过一系列的验证实验,作者首次发现了H/ACA Box snoRNA参与了uMSC的增殖及多能性的维持,并证明了SNORA7A是其中的一个关键snoRNA,该snoRNA通过招募snoRNP来发挥相关作用。
我们首先来理清这项研究的思路。如下图所示,作者通过前期的实验发现H/ACA box snoRNP在uMSC的增殖及多能性维持中起着关键作用,然后对已分化及未分化MSC的small RNA-seq数据进行分析。筛选到了在uMSC中表达量最高的且在分化后显著降低的SNORA7A,通过过表达、knockdown、位点突变等一系列实验验证,证明SNORA7A作为其中的一个关键snoRNA,通过招募snoRNP调控了uMSC的增殖及自我更新。
A.文章对H/ACA box snoRNAs的reads数进行了统计,发现了SNORA7A在uMCS中具有最高的表达,且在分化细胞中表达量显著降低。在体外传代过程中,SNORA7A的表达量逐渐降低,且与细胞形态的改变、细胞多能性相关基因、细胞周期相关基因的表达下调相吻合。
B.在uMSC中对SNORA7A进行过表达后,发现细胞的倍增
时间
缩短,EdU及CFU-F实验显示细胞增殖能力和克隆形成能力增加,同时细胞多能性相关基因以及细胞周期相关基因的表达量与对照组相比也显著提升。
C.作者针对SNORA7A进行了knockdown及相关结合位点的突变,同时在SNORA7A过表达的情况下knockdown snoRNP复合体的核心组成蛋白DKC1,通过类似的实验证实了SNORA7A在uMSC自我更新中的重要性,并且这种功能依赖于snoRNP以及rRNA的修饰。
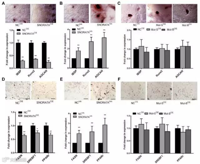
D.最后,作者观察了SNORA7A在uMCS向成骨细胞分化过程中的作用。结果发现过表达SNORA7A会抑制细胞钙化结节的形成并下调成骨细胞marker基因的表达,抑制SNORA7A则会提升成骨细胞的分化效率,而过表达突变的SNORA7A不会产生影响。在uMCS向脂肪细胞的分化过程中也观察到了同样的现象。
通过上述数据分析及实验验证,作者得出以下结论:H/ACA box核仁小RNA 7A(SNORA7A)在uMSC的增殖及自我更新中通过招募snoRNPs发挥关键的作用,并且这是首次发现H/ACA box核仁小RNA在间充质干细胞的增殖及多能性维持方面的作用。
如果您还有什么问题的话,欢迎拨打全国免费咨询电话400-065-1811,我们的技术支持随时恭候~
【声明】内容源于网络
0
0
烈冰科技
不仅仅有高通量测序实验,深度定制化数据分析,更有功能全面易用,且经过每天分析300GB以上各类组学数据分析压力测试的云计算系统,借助NovelBrain®云计算平台发表的SCI已过百篇。
内容
12
粉丝
0
关注
在线咨询
烈冰科技
不仅仅有高通量测序实验,深度定制化数据分析,更有功能全面易用,且经过每天分析300GB以上各类组学数据分析压力测试的云计算系统,借助NovelBrain®云计算平台发表的SCI已过百篇。
总阅读
2
粉丝
0
内容
12
在线咨询
关注