患者 女,53岁
主诉: 下腹部持续性疼痛7天余
现病史: 既往月经规律,4-5/30天,量多,偶有痛经,近2-3年月经不规律,
末次月经:2018-10-12。2018年11月1日感冒后开始出现下腹部疼痛,呈持续性,能忍受,活动时加重,偶尔伴恶心,呕吐,无阴道流血,排液等症状,自行口服头孢类抗生素(具体不详),症状未见缓解,遂就诊于临汾市尧都区中山医院,妇科彩超(2018-11-6)示:右附件可见一大小约10.9*6.6cm囊实性包块,建议转上级医院治疗,患者为求进一步治疗,今日就诊于我院,门诊以“盆腔包块”收入院,患者自发病以来,精神睡眠食欲佳,大小便正常,无明显体重减轻
专科情况: 妇科检查:外阴:阴毛分布均匀,稀疏,婚产式;阴道:畅,可见少量白色分泌物,未见出血点及溃疡;宫颈:光滑,无接触性出血,触痛;宫体:后位,约7cm×5cm,质中,压痛(+);附件:右侧附件区可触及10*7cm的肿物,质韧,移动度尚可,边界不清压痛(+),左附件区未及明显异常,压痛(-)。
【实验室检查】



【影像检查】
















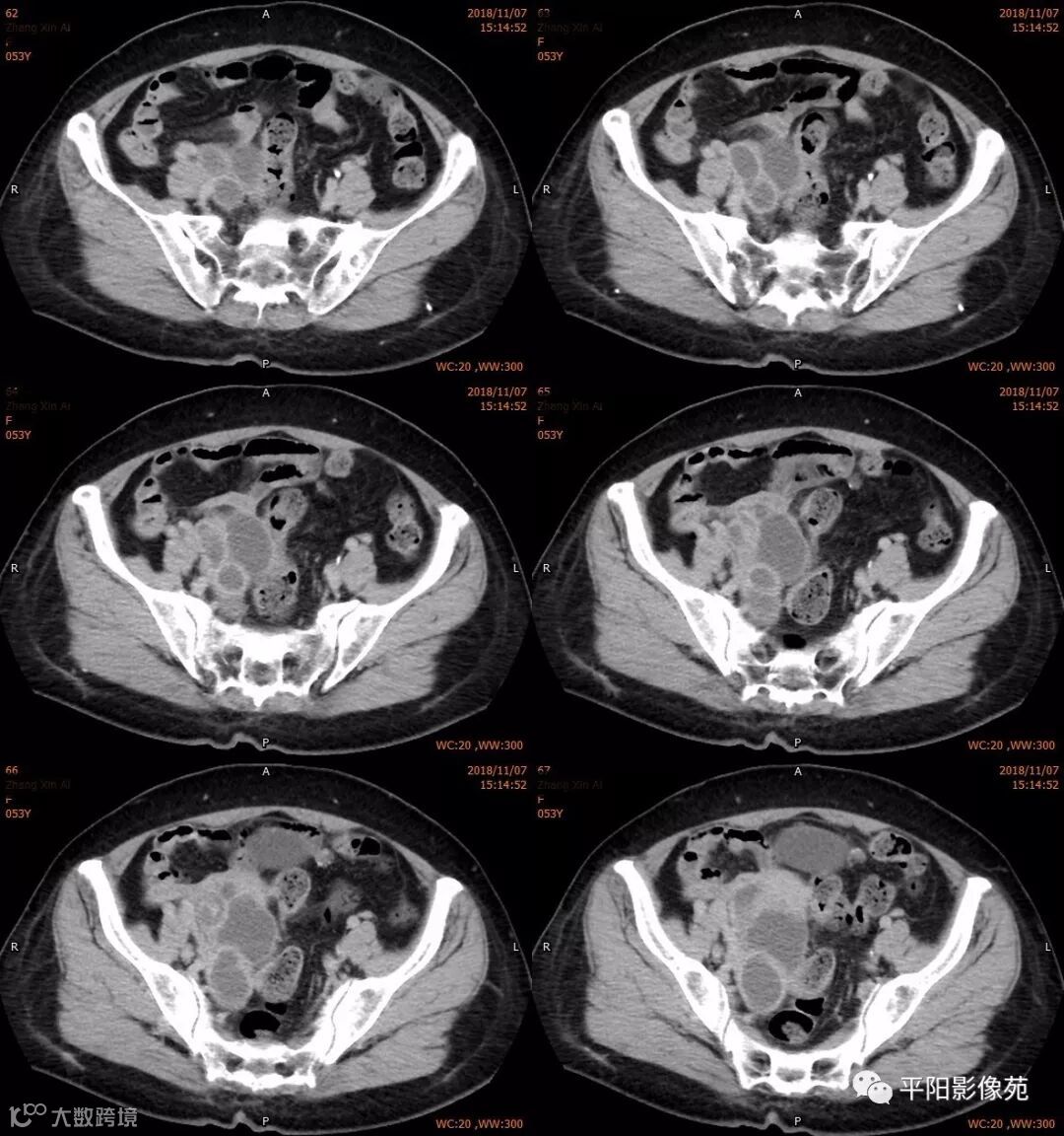
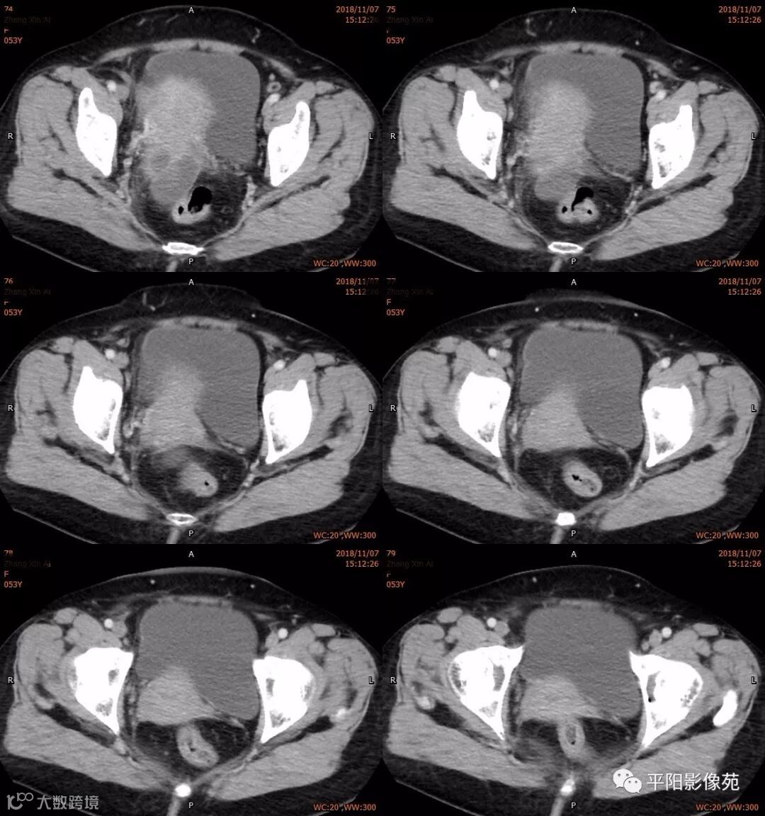
影像特点
右附件区薄壁囊性病变,壁明显强化,边界不清,供血动脉源自子宫动脉,且局部动脉血管增多;其内侧可见卵圆形无强化囊性病灶。
分析思路
附件区病变多见于卵巢,以囊性为主的病灶多为卵巢囊肿、粘液/浆液性囊腺瘤、皮样囊肿等,这些病灶都具有鲜明瘤体结构,且壁强化多为轻-中度,供血动脉多源自卵巢动脉;而本例患者右附件区薄壁囊性病灶,多位置观察形态为迂曲管状,且壁有明显延迟强化,供血动脉源自子宫动脉,较对侧血管丰富,故而考虑源自输卵管或子宫病变,但子宫发生的薄壁囊性病变较少,多见于子宫肌瘤囊变,完全囊变者少见,且形态轮廓与肌瘤相同为球形故而排除,结合患者腹痛前有感冒病史,且有压痛,因此考虑输卵管积脓可能。其内侧无强化囊性肿块,考虑卵巢囊肿可能。
【手术记录】
手术经过:麻妥后,取仰卧位,常规消毒铺单,取下腹部脐轮下缘小切口切开皮肤1cm,置入气腹针,形成CO2气腹,置入10mmTrocar,置镜,左下腹以2个0.5cmTrocar穿刺,右下腹以0.5cmTrocar穿刺,置入操作钳,探查:子宫约6cm×5cm,表面充血,子宫后壁下段与肠管紧密粘连,右侧输卵管增粗约8cm×3cm与右侧卵巢致密粘连,右侧卵巢包裹于周围肠管中。左侧附件外观未见异常。钝性分离粘连,分离粘连恢复右侧附件解剖关系,右侧卵巢可见囊肿约9cm×6cm,分离粘连过程中囊肿破裂,囊液呈白色胶冻状。
标本肉眼所见:右侧输卵管内容物为黄色脓性,右侧卵巢囊肿,囊壁光滑囊液呈胶冻状。
【病理结果】

【讨论】
输卵管积脓
临床概述
输卵管积脓多因输卵管炎症化脓后,伞部粘连,脓液积聚所致。
输卵管炎因致病菌,分为非特异性与结核性两类;非特异性输卵管炎又称输卵管炎,主要致病菌为链球菌、葡萄球菌、淋球菌及沙眼衣原体、支原体等感染所致。
常见病因有不洁性交、多个性伴侣、流产、分娩、盆腔手术或阑尾穿孔等将病菌带入体内,经淋巴传播或宫腔、腹膜直接蔓延致输卵管炎。
急性输卵管炎临床症状多表现为高热、下腹痛、白带多、阴道流血等。
影像特点
附件区局限性囊性低密度灶,壁厚,均匀强化,脓腔不强化,若病灶内有气体存在更支持积脓。
【鉴别诊断】
主要与卵巢囊肿伴感染、皮样囊肿、卵巢囊腺瘤等鉴别,当病变表现相似时,可根据供血动脉以兹鉴别,卵巢病灶为卵巢动脉供血,其自腹主动脉,输卵管病变多由输卵管动脉供血,源自髂内动脉→子宫动脉→输卵管动脉。
樊鹏飞/文

