病例1
现病史: 患者3年前无意见发现左背部肿物,约鸡蛋大小,无发热、恶心、呕吐、肩背部疼痛,近3年来肿物逐渐增大,约6cm*5cm大小,未经任何治疗。
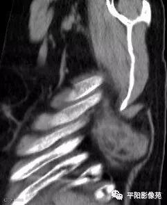
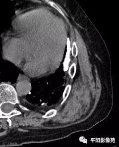
影像表现



病例2
现病史: 患者约5月前无意见发现左背部一肿物,质硬,稍有活动度,疼痛不明显,无发热寒战。
影像表现



影像表现
两例患者均为左侧肩胛下实性软组织肿块,边缘模糊,质软,内为肌肉样密度及脂肪密度,以肌肉样密度为主。
您的诊断
手术记录
术中见:左背部肩胛区有一肿物,约6cm*6cm*5cm大小,位于肌层,质软,表面光滑,有完整包膜,活动度好,内为脂肪组织。
讨论
概述
弹力纤维瘤是一种较为少见的来源于间叶组织的良性肿瘤。
病因
病因不明,可能与机械性摩擦、体力劳动者、慢性刺激、易感体质等有关。
流行病学特征
好发于中老年女性,肩胛下区多发(前锯肌背阔肌与胸壁之间),多单侧,双侧少见。
临床表现
缓慢生长的肿物,多无临床症状,部分有肩部麻木、僵硬、疼痛或肩胛骨运动时发出咔哒声。
病理
大体表现:无包膜,切面为斑驳状,胶原纤维束及脂肪组织。
组织学表现:大量胶原纤维(含弹力纤维),少量成熟脂肪组织细胞。
影像表现
CT:边界模糊,与肌肉相似的密度,病变内部可见点状、条状脂肪密度,增强扫描轻度强化或无强化。
综合其好发部位及影像特征可以确诊。
鉴别诊断
1.脂肪瘤:为均匀脂肪密度.
2.脂肪肉瘤:含软组织密度与脂肪密度,脂肪成分含量与组织类型有关,边界不清,软组织成分可轻度强化。
3.血管瘤:结节状、分叶状或团块状软组织肿块,内部可见近似脂肪或水样密度,或伴有静脉石和钙化,增强后显著强化为特征。
4.纤维肉瘤:肿块加大,边界不清,成熟纤维较少,密度相对低,内部容易出现液化坏死,增强扫描实性成分较明显强化。

