关注一下,更多精彩等着你!
患者男,15岁
主诉: 发现左膝部肿物半年。
现病史: 患者半年前无意间发现左膝部有一实性肿物,偶感左膝部疼痛不适,活动后明显,休息后可减轻,当时曾就诊于当地县人民医院,建议继续观察,之后自觉肿物较前渐增大,遂来我院。

















影像表现:
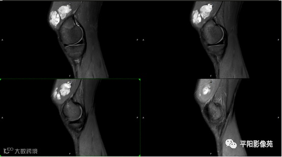
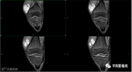
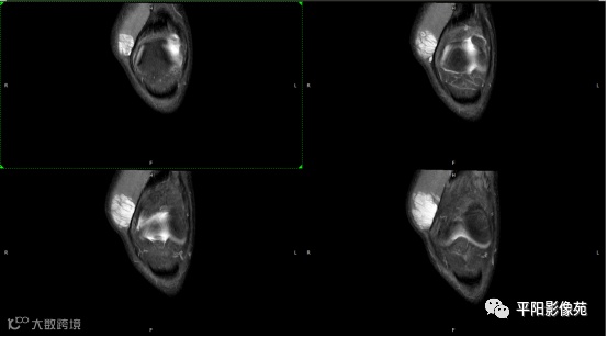
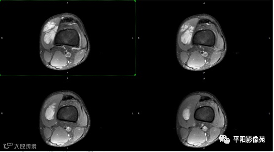
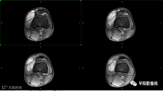
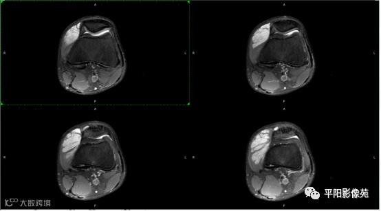
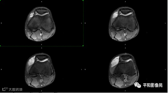
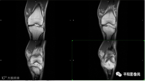
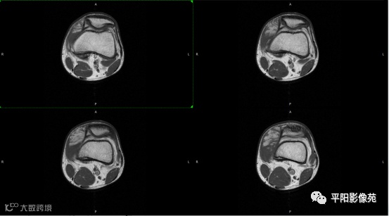
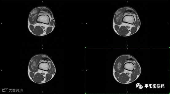
左膝关节股内侧肌内见多房样短T1长T2信号,内可见分隔,增强扫描明显强化,分隔未见明显强化,病灶局部与股骨远端分界不清。
您的诊断?

海绵状血管瘤发生原因多是由于胎儿期的神经管闭合不全导致毛细血管与连接的动脉血管异常分化所致, 故也有学者认为是血管的错构瘤, 而非真性肿瘤。组织学上主要为无数蜿蜒迂曲的薄壁血管构成。其不仅含有血管结构, 尚有较多的脂 肪、纤维和肌肉成分, 可反复出血出现血肿机化、钙化等, 此即海绵状血管瘤的MRI成像基础。
MRI表现:好发于下肢, 较大病灶多为与肢体长轴一致的梭形, 边缘不清, 较小病灶呈类圆形, 边缘较清;②T1WI呈等或稍高信号, 病灶内部或边缘可见线条状或花边状高信号灶, 类似于皮下脂肪信号, T2WI上为明显高信号, 为本病特征性MRI表现;③病灶内静脉石及血管流空影为又一特征MRI表现;④GD-DTPA增强, 病灶明显强化, 其内低信号间隔无强化;⑤可见骨外形改变, 骨质增生及骨质吸收等表现。
不典型肌肉海绵状血管瘤需与以下疾病鉴别:
①脂肪瘤:若血管瘤 T1WI上呈高信号时需与脂肪瘤鉴别, 前者信号不甚均匀, 脂 肪抑制序列可呈高信号, 而脂肪瘤则为低信号。
②神经源性肿瘤: 单凭肿瘤形态与影像学表现有时难以鉴别。神经源性肿瘤发生部位与神经血管束关系密切, 沿神经干分布以及神经支配的肌肉萎缩是其特点;而血管瘤改变肢体位置, 病变大小、形态可发生改变, 可资鉴别。
③软组织恶性肿瘤:多数边界不清, 周围软组织充血水 肿, T1WI呈中等信号, T2WI呈中高信号, 信号不均。仔细检查并结合临床体征, 可与海绵状血管瘤相鉴别。
参考文献
朱汇慈.管真等.MRI对四肢肿块型血管瘤与外周神经鞘瘤的鉴别诊断[J].中国医学影像杂志.2020(02).
赵晓博,陈江海等.右前臂巨大肌肉血管瘤一例[J].中华手外科杂志.2016(02).
吕达飞/文

