患者,男,14岁
主诉:发热伴咳嗽、咳痰4天
现病史:于入院4天前无明显诱因出现发热,测体温40.0℃,伴阵发性咳嗽,咳痰,为白色粘痰不易咳出,伴咽痛,无喘息,无腹痛、腹泻,就诊于当地诊所,给予抗生素等静点2天(具体不详),效差,仍有反复发热,体温最高达40.0℃,热峰约2次/日,咳嗽、咳痰较前加重入院。
既往史:平素体健,否认病毒性肝炎、肺结核、伤寒、疟疾病史,否认外伤、输血、中毒、手术史,否认药物、食物过敏史。
入院实验室检查:



入院X线片:

入院CT:








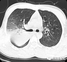
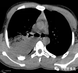
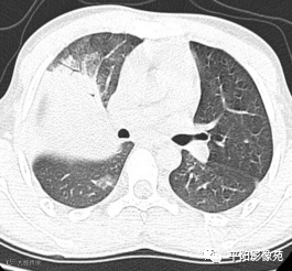
5天后复查X线片及CT:较前加重





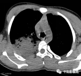
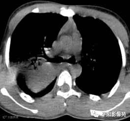
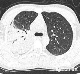
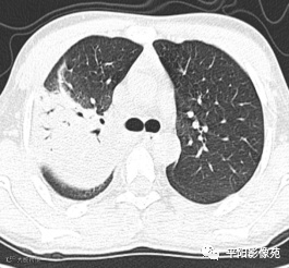
10天后再次复查CT:较前有所好转




影像特征:X线片右肺中上野片状高密度影,下缘以叶间裂为界,上缘及外侧缘模糊;CT位于右肺上叶后段,呈片状实变影,内见支气管影,边缘模糊。
影像诊断:右肺上叶大叶性肺炎。
大叶性肺炎
1.临床表现:
好发于青壮年,多于冬春季节发病,发病急。高热、寒战、咳嗽、胸痛及气急为常见症状,咯铁锈色痰为典型表现,严重者可出现休克。白细胞计数及中性粒细胞分类明显增高。
2. 病理变化:
致病菌95%为肺炎链球菌,分为四期:①充血期(发病后12-24小时)肺泡壁毛细血管扩张,肺泡内有少量渗出液;②红色肝样变期(发病后2-3天)肺泡腔内充有纤维素及大量红细胞;③灰色肝样变期(发病后4-6天)肺泡腔内出现大量白细胞;④消散期(发病后7-10天)白细胞溶解,纤维素性渗出物逐渐被吸收。
3. 影像表现:
①充血期:X线无阳性征象或仅表现为局限性肺纹理增粗;CT表现为边缘模糊的磨玻璃样阴影。②实变期:整个肺叶、大部分肺叶或肺段呈高密度阴影,阴影密度均匀,内可见支气管充气征,肺叶实变以叶间裂为界,边缘清楚。③消散期:大叶阴影密度减低,逐渐变为散在斑片状阴影,进而演变为索条状阴影,直至完全吸收。
4. 鉴别诊断:
①急性肺脓肿:早期为密度增高影,边缘模糊,病灶的一边紧贴胸膜、纵隔或叶间裂;坏死物被部分咳出并有空气进入时,于浓密的炎性浸润阴影中常可见到带有液平的空洞,空洞内壁光整或略不规则,空洞周围有较厚的炎性浸润,浸润的边界模糊不清;病灶动态变化快。
②干酪性肺炎:多见于上叶的大叶性病变,密度多不均匀;可见气管充气征和(或)空洞,但不严格按照肺叶或肺段的解剖结构,边界模糊;在病灶的附近、同侧以致对侧肺野内往往可见到播散的小叶渗出性病灶;临床上除高热之外兼具结核的其他特征。
③阻塞性肺炎:一般患者年龄偏大;常有吸烟史;阻塞初期常为不完全性,密度不均,可夹杂含气的肺组织,同时多合并不全性肺不张;要注意同侧肺门有无增大或肿块;临床症状和体征类似于一般的肺炎,其特点是经抗生素治疗后吸收缓慢、不完全吸收或在同一部位反复发作,此时应高度怀疑阻塞性肺炎可能,需行胸部CT扫描进一步观察支气管是否阻塞。
张龙/文

