

病史

患者,男,63岁 ,已婚;
主诉:慢性咳嗽、咳痰5年,加重伴胸闷、气短1月余,头晕6天。
现病史:患者五年前开始出现咳嗽、咳痰,秋冬季受凉后易诱发,症状较轻,未予重视。6天前因亲人病故出现头晕,乏力,表现为头重脚轻,行走不稳,摔倒三次,无意识丧失,无视物旋转,无大小便失禁。
既往史:平素健康状况尚可,否认其它疾病史 。
辅助检查检查









影像检查

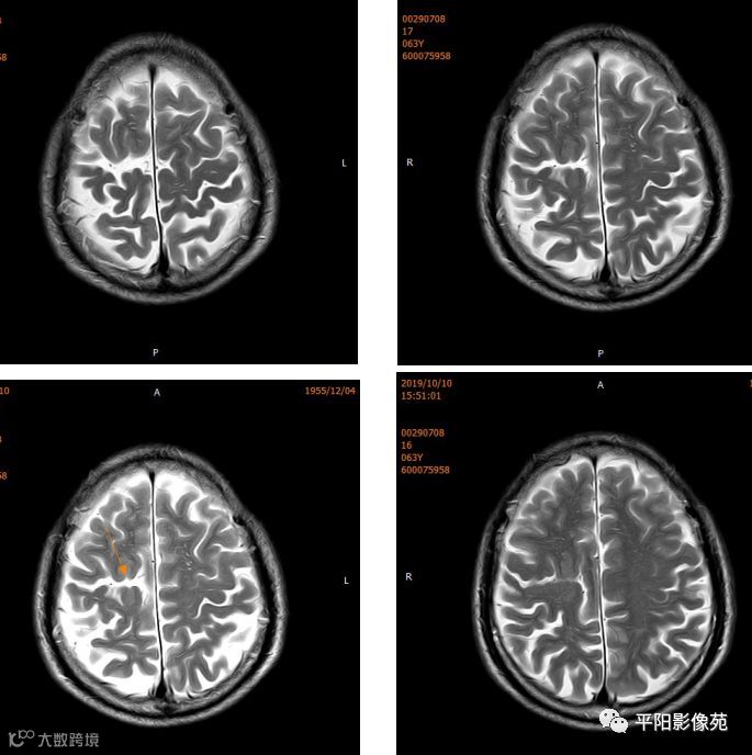
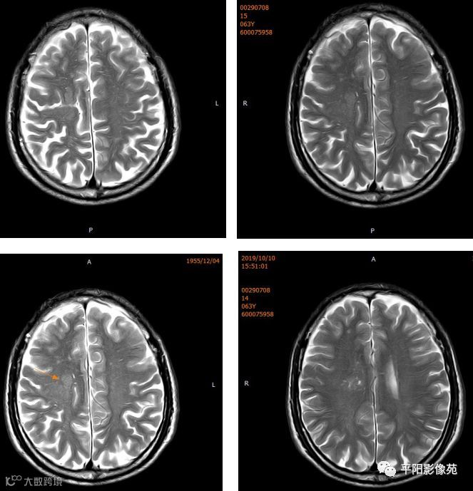
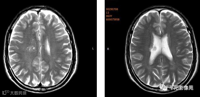
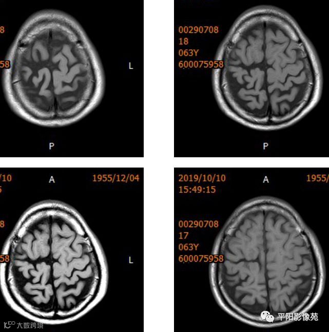
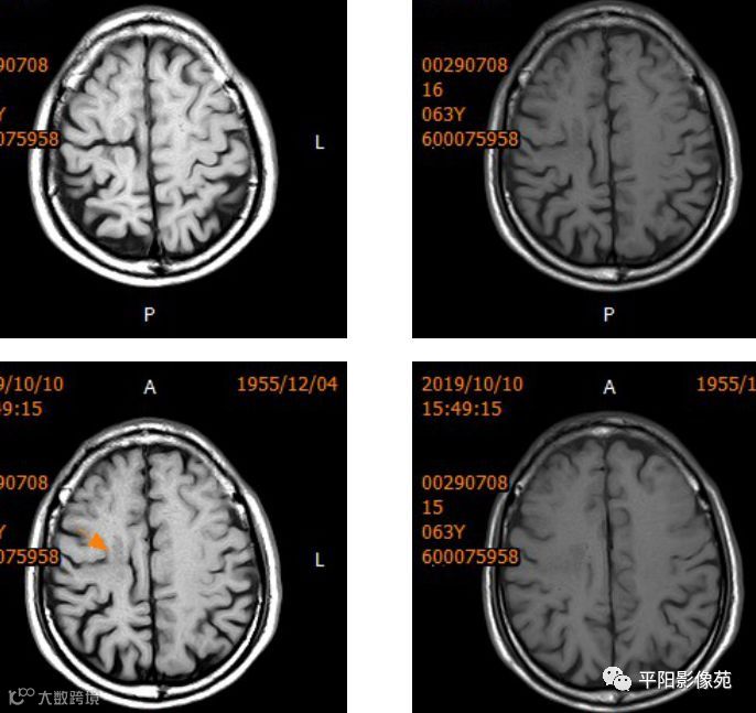
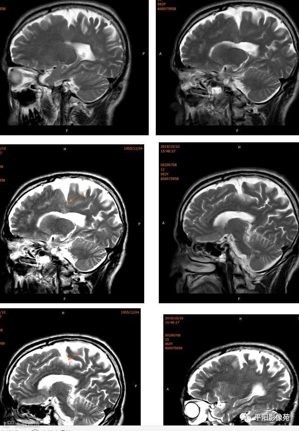
右侧额叶中央前回局部脑裂增宽,并向内延伸,周围衬以等灰质信号,呈稍长T1稍长T2信号,病灶自软脑膜向内延伸,与室管膜相连。
您的诊断?

讨论

平阳影像苑

病史

患者,男,63岁 ,已婚;
主诉:慢性咳嗽、咳痰5年,加重伴胸闷、气短1月余,头晕6天。
现病史:患者五年前开始出现咳嗽、咳痰,秋冬季受凉后易诱发,症状较轻,未予重视。6天前因亲人病故出现头晕,乏力,表现为头重脚轻,行走不稳,摔倒三次,无意识丧失,无视物旋转,无大小便失禁。
既往史:平素健康状况尚可,否认其它疾病史 。
辅助检查检查









影像检查

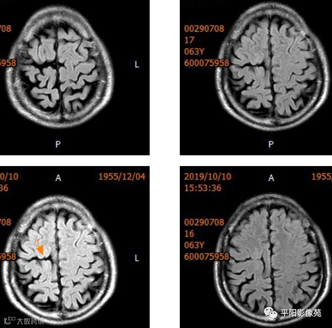
右侧额叶中央前回局部脑裂增宽,并向内延伸,周围衬以等灰质信号,呈稍长T1稍长T2信号,病灶自软脑膜向内延伸,与室管膜相连。
您的诊断?

讨论
