关注一下,更多精彩等着你!
患者 男 47岁
主诉: 发现右侧颌下肿物一年余。
现病史:患者于一年前因全身发烧,全身抗感染对症治疗大约一周后,发烧症状消失,后出现右侧颌下区肿胀,约鸡蛋大小,舌下区也出现轻度肿胀,挤压颌下区舌下区可出现唾液分泌,无疼痛、皮肤发红等不适症状,出现进食时右侧颌下区肿胀史,口服阿莫西林效果不佳,为行进一步治疗,来我院门诊以“右侧颌下区肿物”收住入院。入院以来精神饮食正常,大小便正常,近期体重无明显改变。
既往史:平素健康状况 体健,否认病毒性肝炎、肺结核、伤寒、疟疾病史,否认高血压、糖尿病、高血脂病史 ,否认心脏病、脑血管疾病史,否认精神病史、地方病史、职业病史。否认外伤、输血、中毒、手术史 ,否认药物、食物过敏史,预防接种史不详。
专科情况:右侧颌下区稍肿胀,皮肤不发红,局部可触及约5*4*3cm大小椭圆形肿物,活动性好,表面呈不规则状,无明显触痛,挤压口底无明显肿胀,导管口通畅,挤压导管口有少量唾液流出。






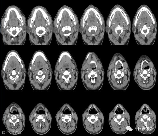
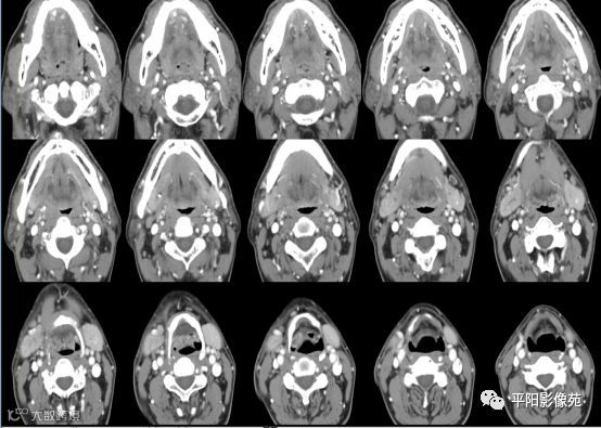
双侧颌下腺、腮腺对称,形态完整,右侧颌下腺强化程度较左侧略低,其内涎腺管增粗,周围脂肪间隙清晰,邻近骨质未见异常,右侧涎腺走行区可见结节样致密影,较大者大小约0.5cm,双侧颌下软组织对称,未见异常密度,所扫范围颈部未见明显肿大淋巴结。
考虑右侧涎腺管结石。
右侧颌下腺强化程度较左侧略低,涎腺管扩张,考虑炎性改变,请结合临床。
涎石症与下颌下腺炎
涎石病:腺体或导管内发生钙化性团块而引起的一系列病变。
涎石形成可能原因:
1.唾液电解质平衡失调2.炎症刺激3.唾液淤滞4.唾液PH值改变
涎石的典型结构:中心为高度矿化的球状核,周围是无机物与有机物交替排列的层状结构。
好发部位:颌下腺最常见,其次腮腺,偶见于小唾液腺。
涎石病多发生于颌下腺,与下列因素有关:
①颌下腺为混合性腺体,分泌的唾液富含粘蛋白,较腮腺分泌液粘滞,钙的含量也高出2倍,钙盐容易沉积;
② 颌下腺导管自下向上走行,腺体分泌液逆重力方向流动;导管长、在口底后部有一弯曲部,导管全程较曲折,这些解剖结构均使唾液易于淤滞,导致涎石形成。
临床表现:
颌下腺炎伴涎石常见于中、青年。
导管口阻塞症状:
进食时腺体肿大,感觉肿胀和疼痛。停止进食后不久腺体自行复原,疼痛亦随之消失
导管口粘膜红肿,挤压腺体有少量脓性分泌物溢出。
导管口内的结石,双手触诊常可触及硬块,并有压痛
涎石阻塞引起腺体继发感染
慢性下颌下腺炎症状:进食时反复肿胀,检查腺体呈硬结性肿块。
诊断:
临床特点:进食时下颌下腺肿胀及伴发疼痛,导管口溢脓及双手触诊可扪及导管内结石。确诊应作X 线检查。
辅助检查:下颌横断牙合片
摄片方法:
1.下颌横断片——软组织投照条件 :导管前段。
2.颌下腺侧位片:导管后段或腺体内;
3.腮腺片(口内片)——导管前段结石
4.鼓腮喉前位片:导管后部结石
阳性涎石:
形态:单个或多个园形或类圆形;层状或同心圆状。大小:数毫米到2cm不等;
位置:沿导管走行方向排列;
鉴别:颌下淋巴结钙化,呈不规则点片状聚集。不沿导管走行区。
阴性涎石——涎腺造影(水溶性造影剂)。
造影片示:圆形、卵圆形充盈缺损,圆心段导管扩张;涎石完全阻塞导管,造影剂影突然中断,或末端分叉状。
与气泡鉴别:气泡随体位改变形态。
鉴别诊断:
颌下腺肿瘤:表现为下颌下三角区肿块。
良性肿瘤除肿块外,常无任何白觉症状。
恶性肿瘤侵犯舌神经时出现舌痛及舌麻木,舌下神经受累时出现舌运动受限,伸舌时歪向患侧,也可出现舌肌萎缩及舌肌震颤。肿瘤波及下颌骨骨膜时,与下颌骨体融合一体而不能活动。侵及皮肤者,呈板样硬。部分肿瘤出现颈淋巴结肿大 。
舌下腺肿瘤:不易被察觉,常规检查时发现;部分自觉一侧舌痛、舌麻木或运动受限,触诊舌下腺硬性肿块,可与骨膜粘连不活动,口底黏膜完整;
治疗:
①小的涎石可自行排出
②颌下腺导管取石术:适应于口腔内能触及,相当于第二磨牙以前部位的涎石.
③颌下腺摘除术:适应于导管后部接近腺体或腺体内涎石或颌下腺炎反复发作,腺体纤维化者。
陈玲/文

