【病史】
女,45岁
主诉: 发作性头晕伴恶心5天。
现病史: 患者5天前无明确诱因出现头晕伴恶心,伴腹泻3次,感全身麻木、后背发凉,无头痛、呕吐,无复视、视物模糊及听力下降,无言语含糊及肢体无力等,头晕无视物旋转、恶心、听力下降,持续时间不等,转颈及体位变化时加重,休息后好转,昨日在临汾市人民医院行头颅CT未见明显异常(未见片子及报告),于今日就诊于我院门诊,为进一步明确诊治收治我科。自发病以来,精神欠佳,饮食少,睡眠多,大便次数多,小便正常,体重无明显变化。
既往史:既往胆固醇偏高,曾口服药物治疗,否认病毒性肝炎、肺结核、伤寒、疟疾病史,否认高血压、糖尿病病史,否认心脏病、脑血管疾病史,否认精神病史、地方病史、职业病史。否认外伤、输血、中毒、手术史,否认药物、食物过敏史,预防接种史不详。
实验室检查



影像检查


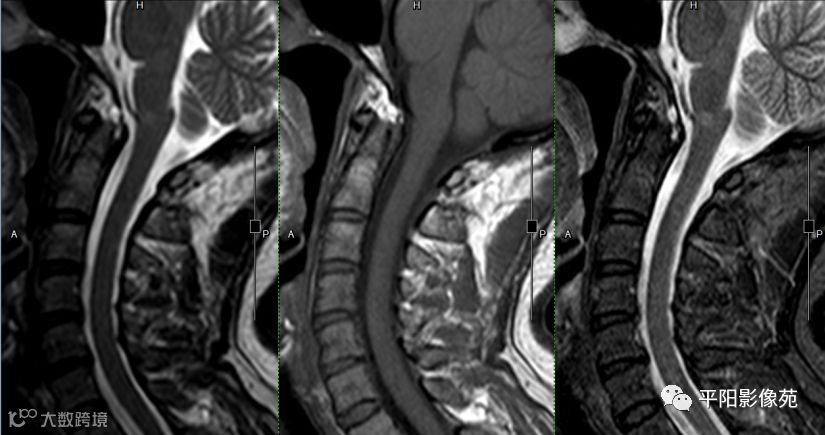
影像表现
延髓与颈脊髓交界区见斑片状长T1长T2信号,抑制序列为高信号,增强后病灶中等强化。
您的诊断?
【实验室检查】



抗炎治疗后,患者肢体麻木症状较前好转。
出院诊断:脊髓炎
【讨论】
临床概述
脊髓炎
指由于感染或变态反应引起的脊髓炎症。
临床表现:急性起病,常先有背部疼痛或胸部束带感,接着出现双下肢麻木、无力和大小便障碍。临床症状取决于脊髓受累节段。
影像表现:
MR是目前唯一能直接显示脊髓炎的影像检查手段。
多位于胸段或颈段及上胸段。
为长T1长T2信号,边界不清,局部脊髓肿胀膨大,肿胀较轻。矢状位T2加权图可清楚显示病变的范围。
-
增强:轻度强化或无明显强化。
鉴别诊断:
髓内胶质瘤:范围长,增粗多显著,外缘不规则;瘤体内易出现囊变和远侧脊髓空洞;增强扫描胶质瘤显著强化;病程长,无发热等症状。
-
脊髓外伤:主要结合临床病史。
樊鹏飞/文

