

病史

患者,女,79岁
主诉: 间断咯血4天,发热3天
现病史: 4天前打扫卫生过程中吸入尘土后出现咯血,为鲜红色,约3-5口,量少,无发热、胸痛,无咳嗽、咳痰,无胸闷、心悸、呼吸困难等,就诊于我院门诊,9月6日下午出现发热,体温最高达38.5℃,自行口服退热药物(具体不详),体温可逐渐下降,但易反复,次日下午再次出现体温升高,偶感头痛,无全身肌肉酸痛,无畏寒、寒战,无尿频、尿急、尿痛,无腹痛、腹泻等,为进一步诊治,以“肺部病变性质待查”收住我科。自发病以来,精神、饮食、睡眠可,大小便正常,体重无明显增减。
影像检查






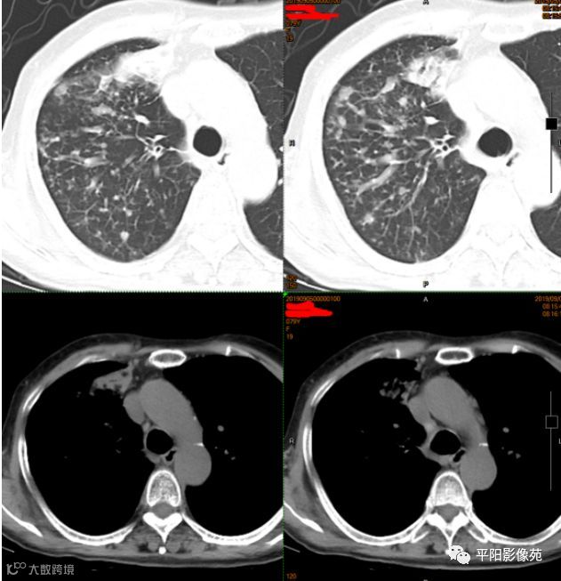
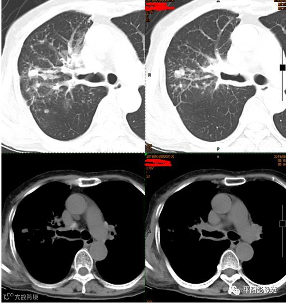
右主支气管壁及分支壁肥厚,伴右肺上叶弥漫小叶间隔结节样增厚,不除外中央型肺癌伴癌性淋巴管炎可能。
您的诊断?

讨论

肺结核以往已经介绍过很多期,具体临床和影像特点不在做过多介绍,重点讨论本例与肺癌的鉴别点。
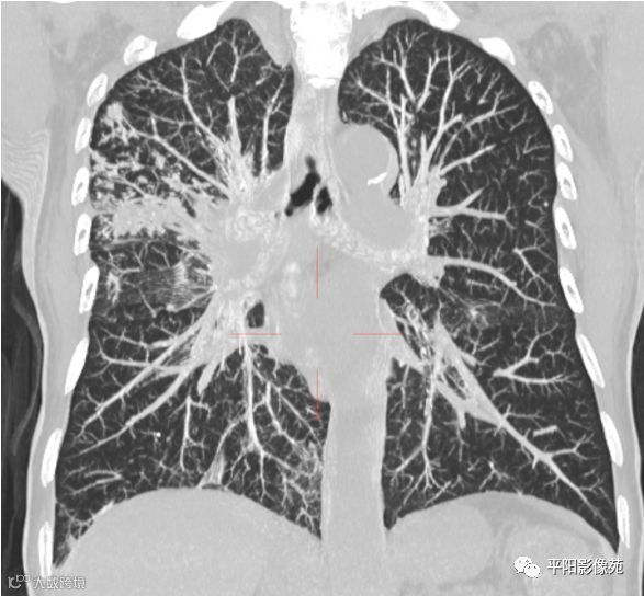
本例影像特点,右主支气管壁肥厚,管腔狭窄不明显,管壁内缘光滑,管腔内有明显病灶堵塞,且远侧各段支气管与其他肺叶表现相同,肺内多发树叶征及实变影。
整体符合渗出、增殖、实变等特点,且病灶形态多样,局部肺间质病变反应较明显,与肺结核特征相符,而肺癌,尤其中央型肺癌,多见于鳞癌,起源于支气管壁,癌灶堆积生长,多会形成肿块且堵塞气管,引起远侧肺组织阻塞性肺气肿、肺炎、肺不张等改变,较晚期的病灶引起淋巴结转移,形成癌性淋巴管炎,但影像表现主要为肺间质不规则、结节样增厚,边缘毛糙,为网格影伴磨玻璃影,边界不清,而本例或者无此类表现,且肺组织内均为树芽征,边界清楚,与肺癌的表现不符。
本例患者鉴别的难点在于,患者年龄较大,起病突然,有咯血,支气管堵塞及相应的阻塞性表现,容易向肺癌倾向。这就需要我们对疾病的发病机制有深刻的认识,结合影像特点予以鉴别。
樊鹏飞/文

