关注一下,更多精彩等着你!
患者,女,13岁
主诉: 下腹部胀痛2+月,加重1天
现病史: 患者月经未来潮,2+月前无明显诱因感下腹部憋胀,间断胀痛,可忍耐,伴排便困难,自认为便秘引起腹胀,未在意。近1+月腹胀、胀痛次数增加,觉下腹部逐渐增大,小便正常。
既往史:平素健康状况 体健,否认病毒性肝炎、肺结核、伤寒、疟疾病史,否认高血压、糖尿病、高血脂病史,否认心脏病、脑血管疾病史,否认精神病史、地方病史、职业病史。否认外伤、输血、中毒、手术史,否认药物、食物过敏史,预防接种史不详。
个人史:出生在山西省乡宁县,久居乡宁,文化程度小学毕业,职业为学生,居住情况较好,无疫区、疫情、疫水接触史,无化学物质、放射物质、有毒物质接触史,无冶游、吸毒史,无吸烟、饮酒史。
婚育史:未婚,未育。
月经史:月经未来潮。





















您的诊断?
子宫10cm×12cm大小,饱满,呈紫红色,子宫下段增粗膨大呈柱状,右侧卵巢可见一约18*15cm大小的肿物,表面呈紫红色,输卵管明显增粗膨大,伞端及卵巢粘连包裹于子宫后壁及侧盆壁,左侧卵巢可见一约8*7cm大小的囊肿,左侧输卵管增粗膨大伞端包裹粘连于子宫后壁及侧盆壁,直肠粘膜粘连于子宫后壁。部分大网膜粘连于子宫及卵巢表面。 注射器针头刺入子宫肌层至宫腔,抽取出大量暗红色血液,宫腔内积血,子宫缩小,子宫下段膨大,不排除生殖道畸形,双侧卵巢巧克力囊肿可能,钝性分离粘连,针头刺入右侧卵巢囊腔,吸出咖色液体约800ml,娩出右侧卵巢,切开右侧卵巢囊肿表面组织达囊壁,钝性剥离囊肿,剥离过程中可见大量黑褐色液体流出,3-0可吸收线缝合囊腔止血使卵巢成形,大小约5*6cm,同法处理左侧,使左卵巢成形,分离双侧输卵管粘连,暴露伞端,行宫腔穿刺可抽取出大量暗红色血液,考虑生殖道畸形,需改阴式手术探查,破坏处女膜,术中向患者家属交待病情,需改阴式手术破坏处女膜,患者家属表示理解,同意改阴式探查并签字。 患者取膀胱截石位,常规消毒铺巾,见外阴外观发育正常,分开小阴唇,见尿道口下方可见处女膜环,剪开处女膜环,可见阴道壁约1cm,前为盲端,分开处女膜后,于尿道下方阴道口位置,将1:10000的肾上腺素注入阴道直肠间隙,在尿道口下方阴道壁痕迹处横切约2.5cm,钝性分离,可及一囊肿,表面淡紫色,20ml注射器经此处穿刺,抽出暗褐色积血,用注射器向阴道积血方向穿刺,抽出褐色积血,探查囊腔与宫腔相通,未见明显宫颈组织,上段未见阴道粘膜,考虑宫颈缺如及生殖道畸形,清理宫腔积血,将子宫下段最低端缝合于约1cm的阴道粘膜上,形成宫颈形状,宫腔放置一根引流管,查无出血。
(左卵巢)子宫内膜异位囊肿,伴囊状滤泡形成,(右卵巢)纤维囊壁组织,未见上皮细胞被覆,符合单纯囊肿。
无痛宫腔镜检查:可见手术缝扎线,未见宫颈组织,宫腔形态失常,可见子宫内膜,未见明显双侧输卵管开口。
宫颈缺如、阴道闭锁
阴道闭锁
阴道起源于胚胎发育时期副中肾管尾端和泌尿生殖窦的融合,阴道闭锁则是由于其发育缺陷造成的阴道完全或部分闭锁。先天性阴道闭锁罕见,其既可独立出现也可示某些综合征的部分表征,最常见于先天性子宫阴道缺如(MRKH)综合征。
AFS阴道闭锁分型:
1998年,美国生育协会(AFS)提出将阴道闭锁分为阴道完全闭锁和阴道下段闭锁。
北京协和医院阴道闭锁分型:
2002年,北京协和医院根据阴道闭锁解剖学特点的不同将其分为两种类型:
(1) 阴道闭锁I型:对应AFS系统中的阴道下段闭锁,阴道上段及子宫发育正常,内膜功能好
(2) 阴道闭锁II型:对应AFS系统重的阴道完全闭锁,常合并子宫颈闭锁,子宫体发育正常或有畸形,子宫内膜功能稍差
该分型对于临床治疗具有指导意义,已成为中国专家共识。
临床表现
常因原发性闭经而就诊,部分患者出现无周期性腹痛,部分有子宫内膜的患者出现经血潴留及周期性下腹痛。婚后患者不孕。
比较影像学
1.盆腔充气造影 可显示子宫外形、大小、子宫底轮廓,对阴道闭锁价值有限,且操作复杂,已很少使用。
2.子宫输卵管造影 仅见阴道显影,子宫不显示。但由于检查方法受操作者技术影响,亦有诸多限制。
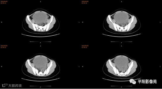
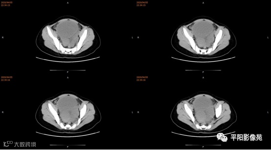
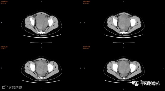
3.CT检查 对子宫、阴道的界限区分有一定限制,对子宫内膜、肌层难以分辨,故CT对子宫先天性异常的研究较少。阴道闭锁时,若宫腔内经血潴留,可见液性低密度聚集,子宫肌层密度均匀。
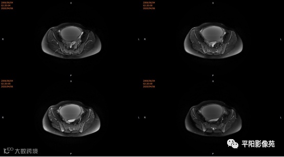
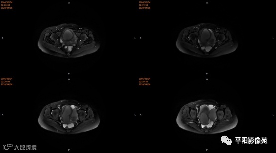
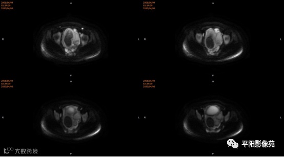
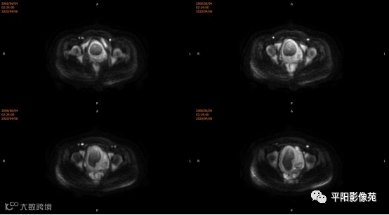
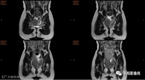
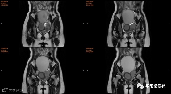
4.MRI检查 对软组织分辨率好,能够清晰区分子宫及阴道,对子宫内膜、结合带、肌层可清晰分辨;能明确子宫、宫颈、阴道结构异常的部位、范围、性质等。宫腔内经血潴留时,宫腔内见短T1长T2信号。
5.超声检查 在子宫先天性异常方面应用广泛,且诊断准确率高,经阴道内超声的敏感性100%,特异性80%。能够明确病变的部位、范围及性质。
参考文献
1.先天性阴道发育异常的MRI影像表现[J].徐生芳,岳松虹等.医学影像学杂志.2019(01)
2.女性泌尿生殖系统复杂畸形MRI诊断价值[J].刘焦枝,高平等.湖北医药学院学报
3.MRKH综合征的MRI研究进展[J].王悦,陆菁菁等.放射学实践
4.盆腔MRI诊断原发性闭经[J].金保良,何之彦等.中国医学影像技术
孟雅婷/文

