【病史】
患者,女,13岁。
主诉:左侧颌下肿物2月余。
现病史:2月前自觉左侧颌下区一小结节,大小约2.5×2.0×1.8cm,质较硬,边界清,活动度好,无压痛,不随吞咽运动,无明显不适症状,与进食无关,未予重视。查体:T:35.8 ℃,P:76次/分,R:17次/分,体重:40Kg,血压:108/67mmHg。
既往史:平素健康状况体健,否认病毒性肝炎、肺结核、伤寒、疟疾病史,否认高血压、糖尿病、高血脂病史,否认心脏病、脑血管疾病史,否认精神病史、地方病史、职业病史。否认外伤、输血、中毒、手术史 ,否认药物、食物过敏史,预防接种史不详。
实验室检查


影像检查



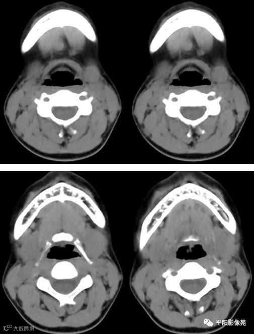
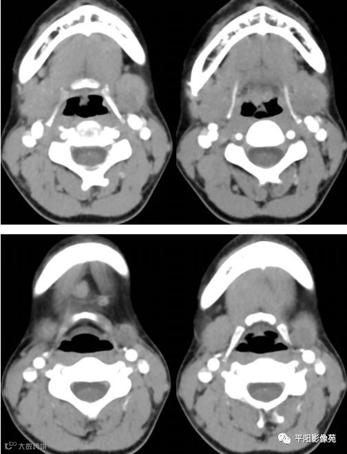
影像表现:
CT:左侧颌下腺增大,其内后下方可见类圆形等密度影,增强扫描轻度强化,动脉期CT值约50Hu,静脉期CT值约61Hu,边界欠清,大小约1.6cmX1.3cm。增强扫描右侧颌下腺形态完整,密度均匀,边缘光滑,周围脂肪间隙清晰,颈I区可见明显肿大淋巴结,较大者约1.0cmX0.8cm。
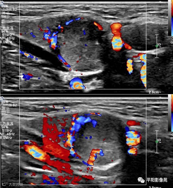
超声检查

左侧颌下腺内可见大小约1.3cm*1.2cm不均质低回声结节,内可见多发点状强回声,边界清,形态规则,CDFI:周边及内部可见血流信号。
您的诊断?
【手术及病理】


【讨论】
多形性腺瘤
发病率:85.26%
年龄:中老年女性多见
部位:腮腺多见,亦可见于颌下腺
病理:内含正常结构、黏液、软骨样组织等多种成份
临床表现:生长缓慢,质软、韧,可活动
影像表现:CT 类圆形或分叶状肿块,界清,密度不均匀,轻度强化,少见 钙化;当边缘模糊,侵犯周围结构时提示恶性
MR T1 为低信号,T2为等或高信号,轻度强化
鉴别诊断
1. 颌下腺慢性炎症:也可表现为无痛性肿块,但常有感染来源,如面部、口腔或咽部的炎症。肿块常为多个,有时大时小的消长史,抗感染治疗常有效。
2. 颌下腺癌:肿块形态不规则,密度不均,增强扫描呈不均匀轻至中度强化,边缘模糊不清,易侵犯邻近结构,伴有同侧淋巴结肿大。
贾永强/文

