关注一下,更多精彩等着你!
患者,男,49岁;
主诉:体检发现肝门淋巴结增大


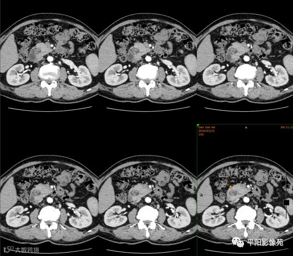
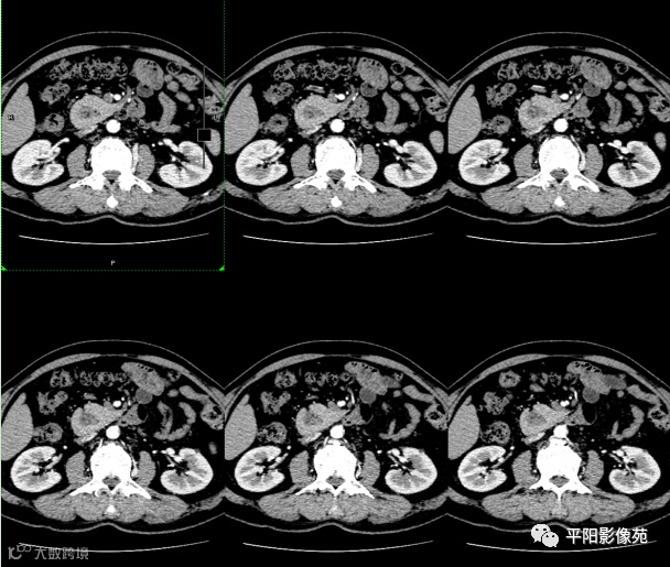
影像表现:胰头环形包绕十二指肠降部
生理、病理基础:
人胚发育至第4周时,形成原始肠管,即前肠、中肠和后肠。在前肠尾端腹侧靠近卵黄囊管处,内胚层增厚,称肝憩室,即肝和胆道的原基。同时,前肠尾侧端内胚层增厚,形成胰的原基。胰原基有背胰及腹胰两个,背胰在前肠尾端的背侧,略高于肝憩室;腹胰则出现于前肠尾端腹侧壁,稍低于肝憩室。
在胚胎发育过程中,胃及十二指肠旋转,腹胰随着胆总管旋转至十二指肠背侧;胚胎第7周时,腹胰与背胰接合,胰腺体尾部来自背胰,胰头来自腹胰。腹胰与背胰管连接成主胰管,与胆总管汇合,开口于十二指肠降部,背胰管的近侧部分常残留成为副胰管,开口于十二指肠的小乳头。
背侧胰腺胚芽(DPB):
发育成胰颈、胰体、胰尾和胰头上部,通过背侧胰管(Santorini管)引流入小乳头。
腹侧胰腺胚芽(VPB):
发育成胰头下部和钩突,通过腹侧胰管(Wirsung管)远端进入大乳头。
胰腺正常发育过程:
D:十二指肠 ST:胃 LC:肝索 GB:胆囊 DP:背侧胰腺 VP:腹侧胰腺CBD:胆总管
第五周

第六周

第七周

在胚胎第8周,腹侧胰管(Wirsung)与背侧胰管(Santorini)融合形成主胰管连接。融合后,背侧胰管(Santorini)近侧段多数在胎儿期自发闭锁、消失,失去在副乳头处与十二指肠的直接连接。

疾病认识:
环状胰腺1818年由Tiedeman首先描述,1862年Ecker根据其特点将其命名为“环状胰腺”。
病因学:
该病病因尚不完全清楚,目前存在两种假说,Lecco假说和Baldwin假说。
Lecco假说:
D代表十二指肠

腹侧和背侧分别形成两个原始胰腺结构(始基本)。

在胰腺融合的过程中,如果腹侧胰腺始基与十二指肠壁粘连;那么腹侧胰腺始基旋转过程中,会把十二指肠带入。最后胰腺融合后会包绕十二指肠。

这样,就形成了环状胰腺。胰腺组织分部或完全包绕十二指肠降段。

1.Baldwin假说:
Bladwin认为腹侧胰腺有两个始基,正常情况下一个要萎缩。如果在发育过程中,一个始基没有萎缩,就有可能形成环状胰腺包绕十二指肠。

临床分型:
1型:婴儿型环状胰腺
2型:成人型环状胰腺
婴儿型环状胰腺特点:
发病率远高于成人;
常合并其他先天异常:唐氏综合征,先天性心脏病,先天性肛门闭锁;
婴儿型的患者需要做手术治疗;
婴儿型的临床症状明显;
成人型环状胰腺特点:
有症状的成人型环状胰腺环状不多见;
临床症状包括:腹痛,呕吐,胃出口梗阻,黄疸,合并胰腺炎;
成人型病例一般不需要手术治疗及临床干预;
临床分类:
日本学者吉冈根据环状部胰管的走行及汇入情况,将环状胰腺分为四类。

环状部胰管开口于主胰管

环状部胰管开口于胆总管,与主胰管不相通

环状部胰管开口于胆总管,该型主胰管缺如,副胰管存在

环状部胰管开口于副胰管
影像检查:
MRCP:直接显示环状部胰管为诊断标准。
CT检查:主要征象为胰头部扩大,包绕十二指肠降段,导致十二指肠降段狭窄。增强扫描,胰腺组织明显强化,与十二指肠形成良好的对比。
王国荣/文

