点击平阳影像苑
关注我们
十二指肠腺癌
病史
实验室检查


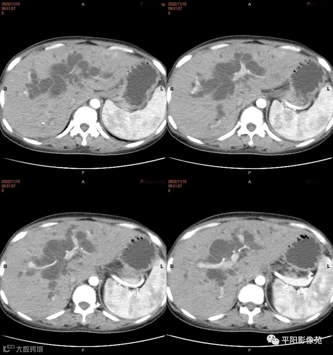
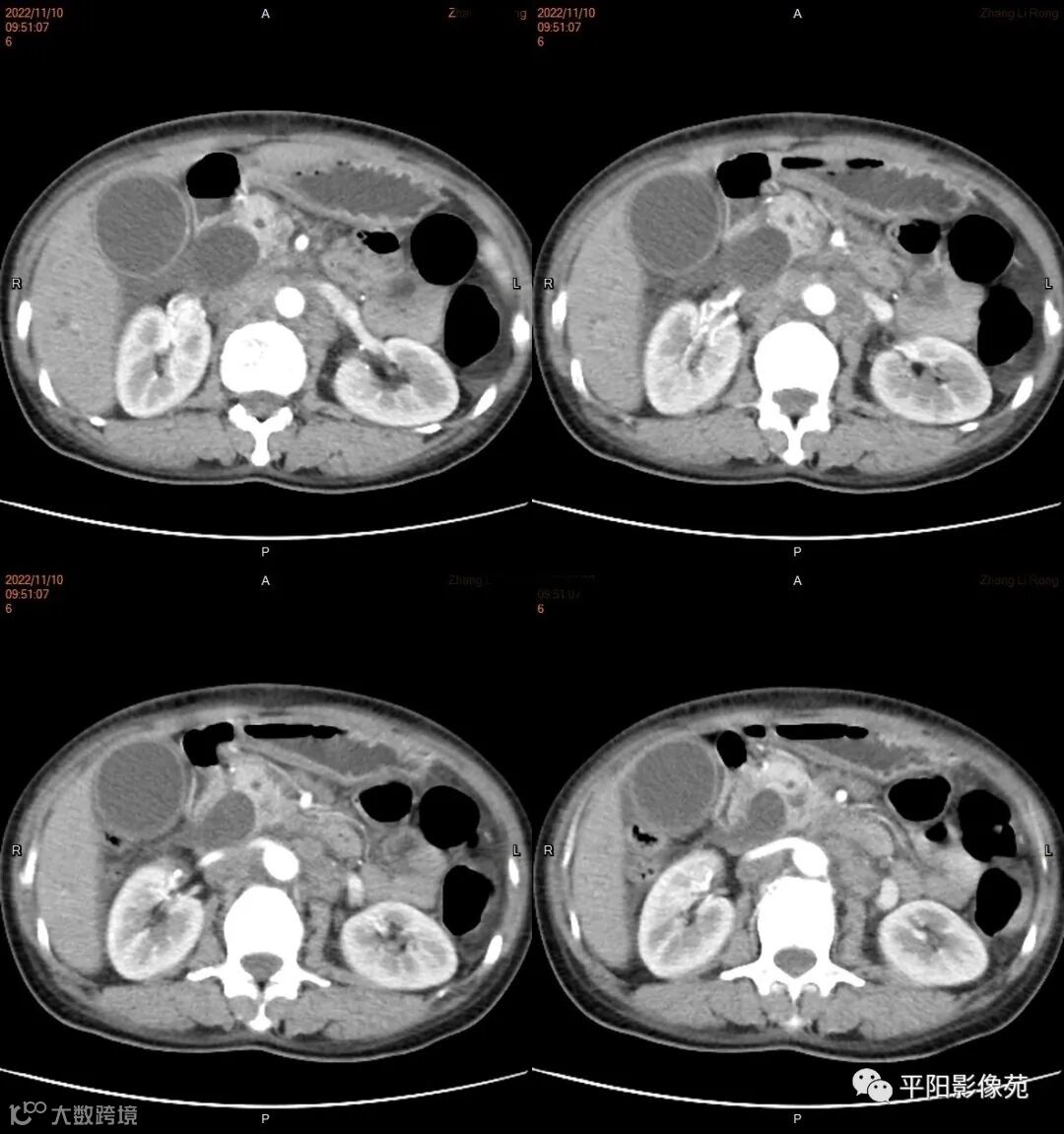
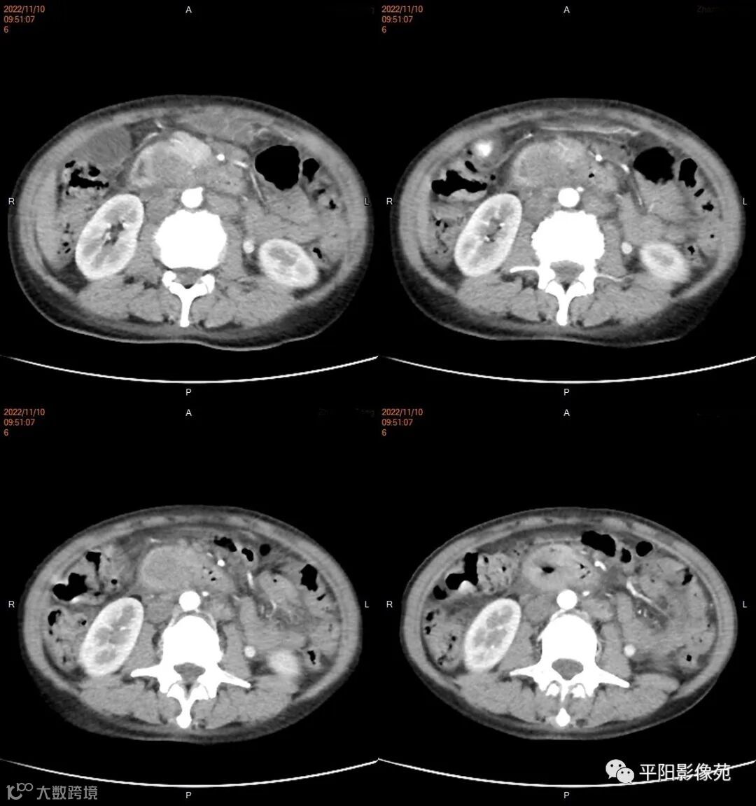
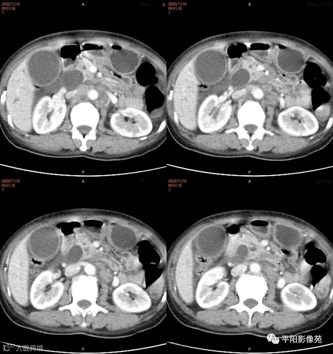
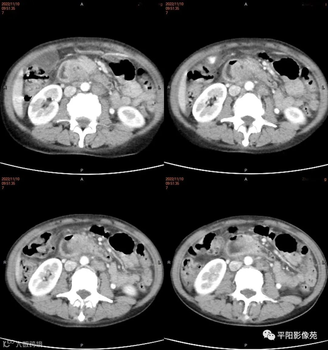
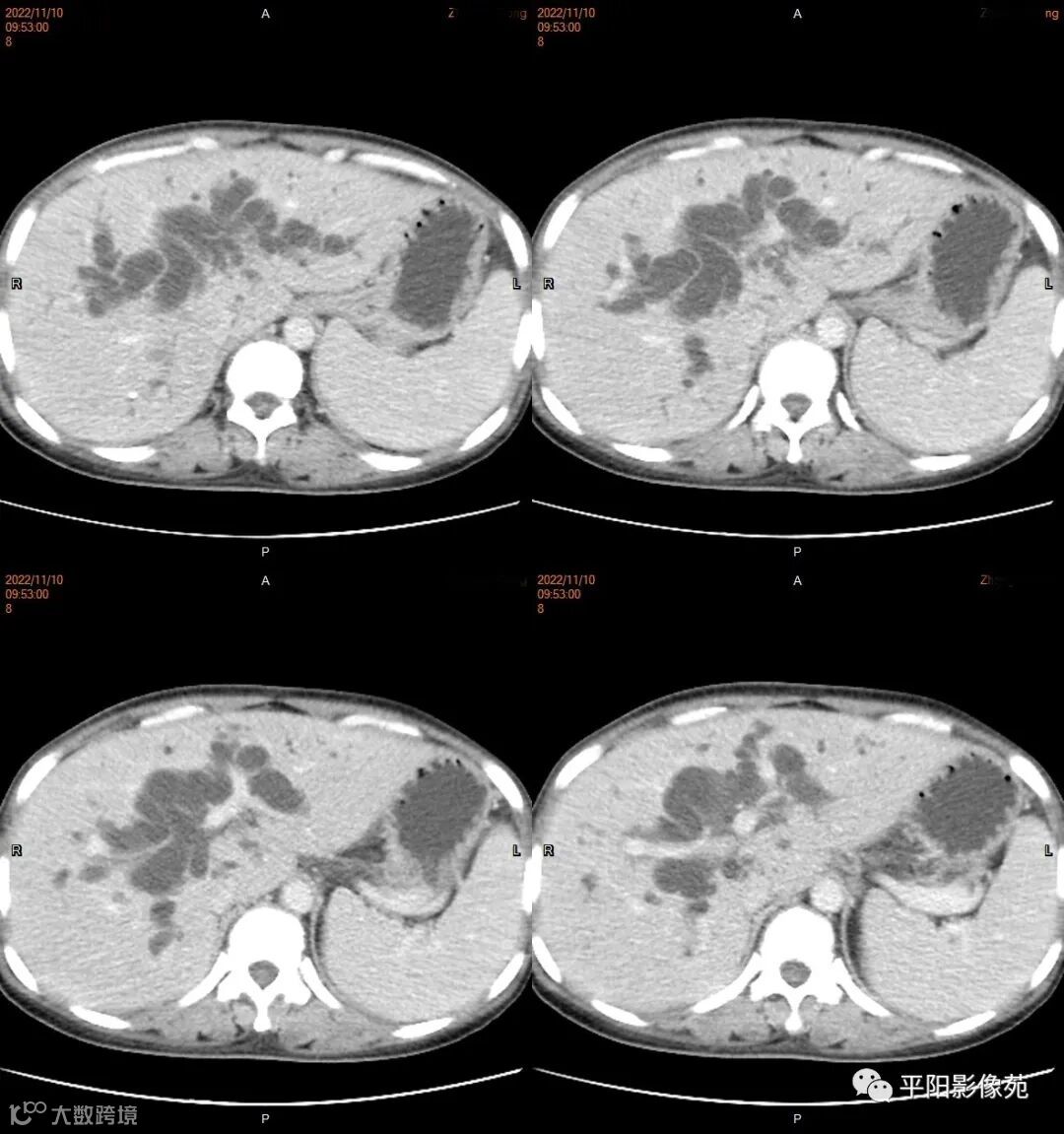
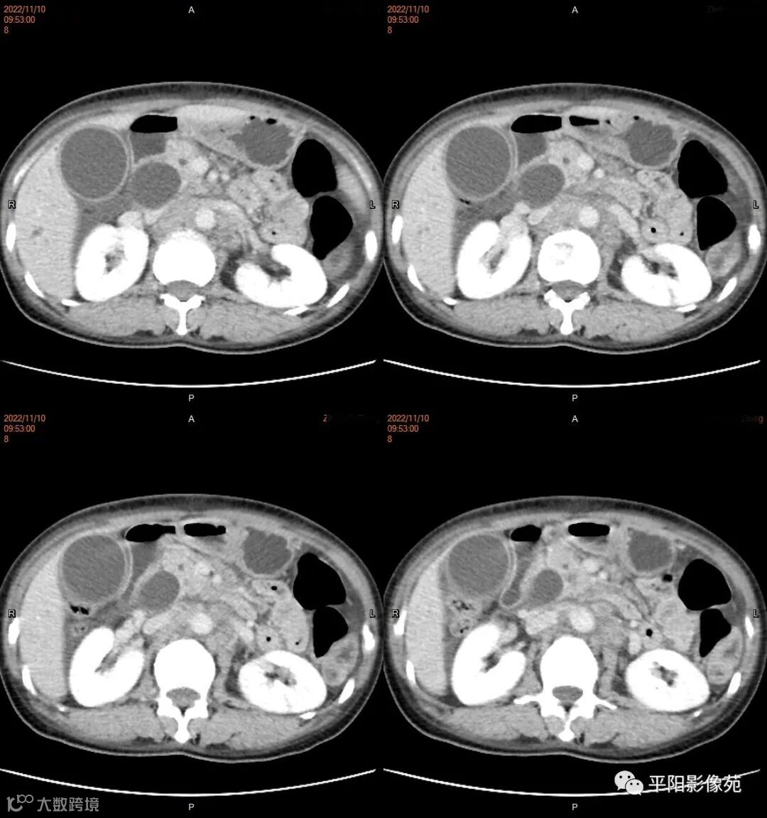
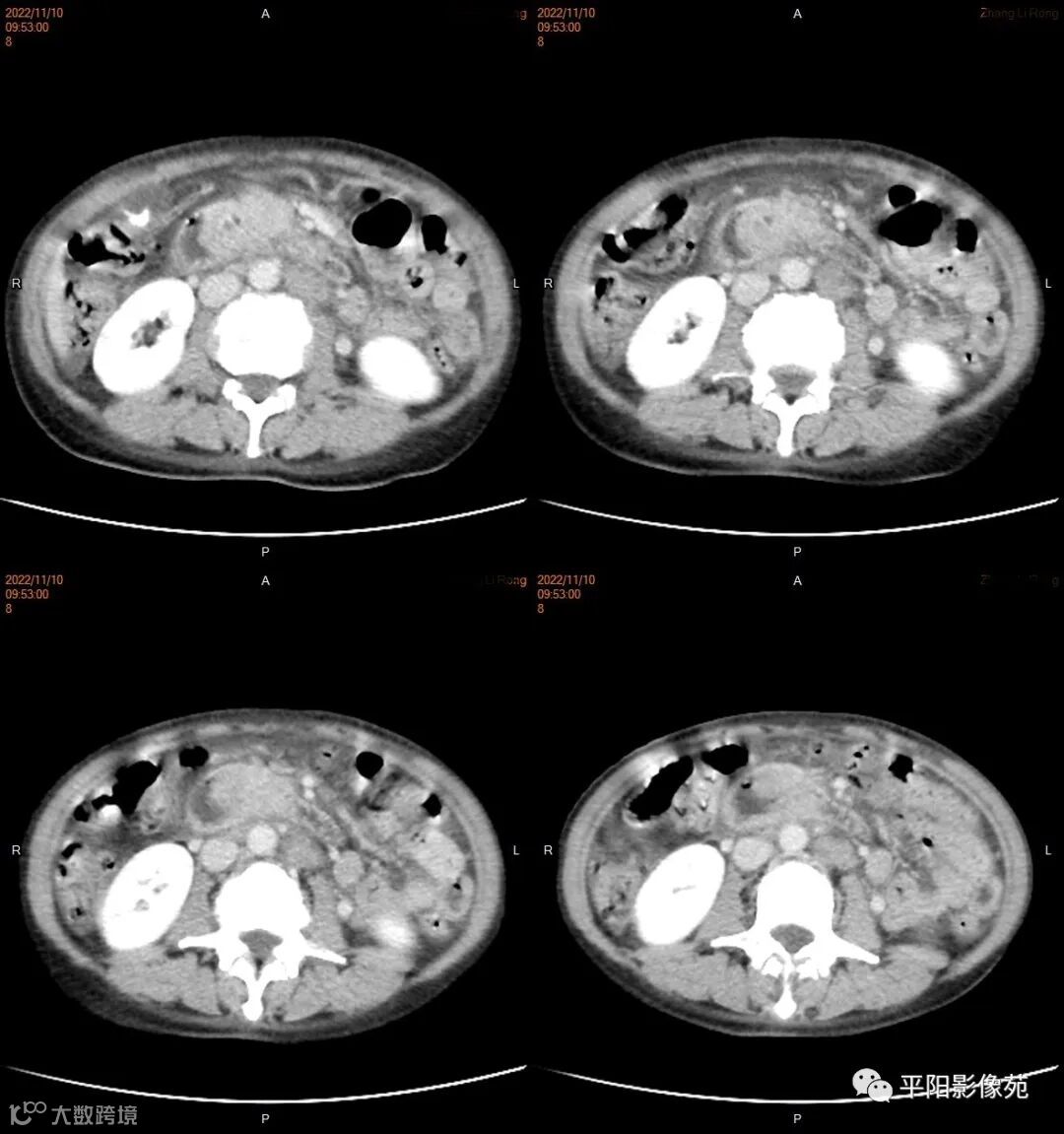
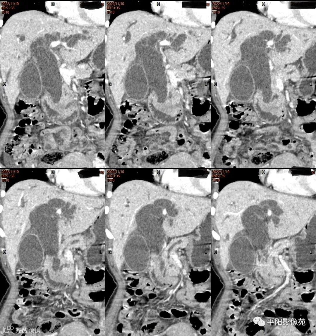
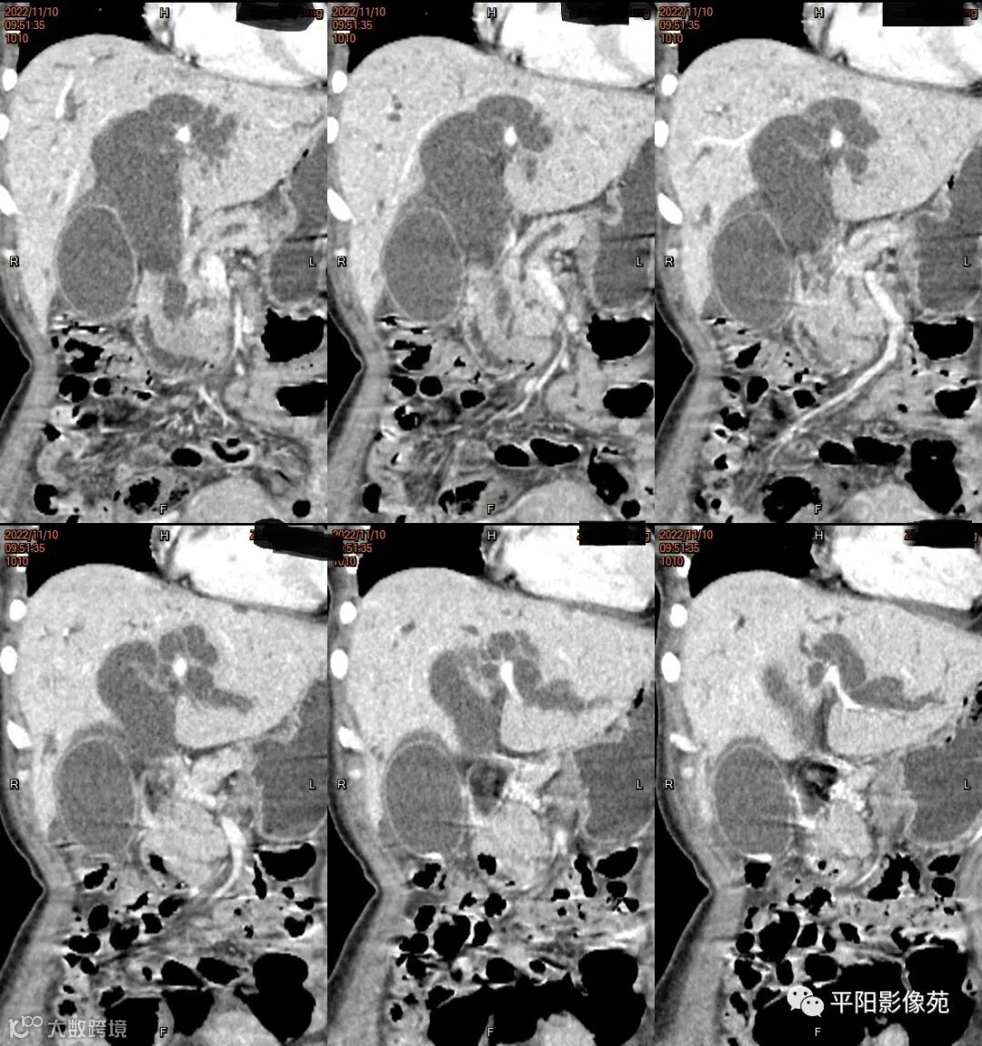
影像学检查
CT













MR











病理结果

讨论
原发性十二指肠腺癌( primary duodenal adenocarcinoma,
PDA)
是起源于十二指肠黏膜腺体上皮且除外 Vater 壶腹部、总管下段和胰头部的恶性肿瘤,占所有胃肠道恶性肿瘤的 1% 以下。
肿瘤病理基础以肉眼形态分型可分为息肉型、溃疡型、缩窄型、弥漫狭窄型。
临床表现与病程和肿瘤部位有关,常表现为消化道非特异性症状,早期以腹痛表现为主;阻塞肠腔可引起频繁恶心、呕吐、腹胀的肠梗阻症状;贫血和消化道出血也较常见;黄疸多见于乳头部肿瘤,可因肿瘤坏死、脱落而使黄疸波动,且伴有腹痛,这有别于胰头癌常见的进行性加重的无痛性黄疸。
影像表现:
-
李丹.23例原发性十二指肠腺癌多层螺旋CT图像表现及鉴别诊断研究[J].中国CT和MRI杂志,2022,20(5) -
周爱平,王春,马周鹏,等.MR动态增强结合MRCP对64例壶腹周围癌的诊断及鉴别分析[J].中国中西医结合外科杂志,2020,26(4)
-
史玉雪,陈卫昌.原发性十二指肠腺癌诊治进展[J].胃肠病学,2018,26(6)

