点击平阳影像苑
关注我们
结核性腹膜炎
病史
女,55岁
主诉: 腹胀、腹痛、纳差、恶心、乏力20天。
现病史: 患者于20天前诉“感冒”后开始出现腹部饱胀不适、腹痛症状,以上中腹部为主,进食量减少为平时的1/4,进食后胀痛症状加重,同时伴有恶心症状,无呕吐,自觉全身疲乏无力,活动后症状加重,伴有咳嗽,无咳痰,无黄疸、腰背痛、黑便、腹泻,偶有心悸、头晕症状,开始症状较轻未予重视,自行口服多种胃及开胸顺气丸对症治疗,效果欠佳,近2天来上述症状加重,因腹胀不能进食。患者自发病以来、精神欠佳,睡眠欠佳,饮食同前,大便不成形,小便呈深黄色,体重下降约2.5kg。
追问病史,发病前间断有午后低热,睡眠后盗汗症状
实验室检查



影像学检查
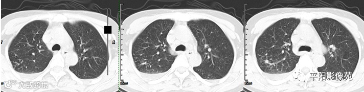
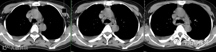
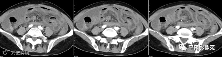
胸部


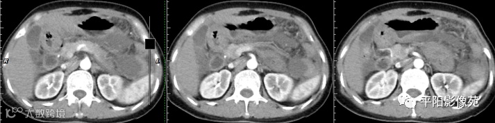
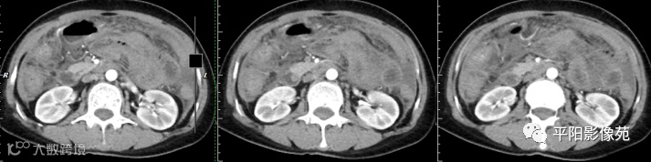
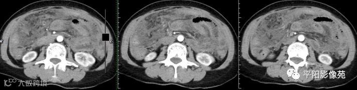
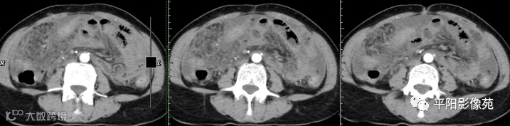
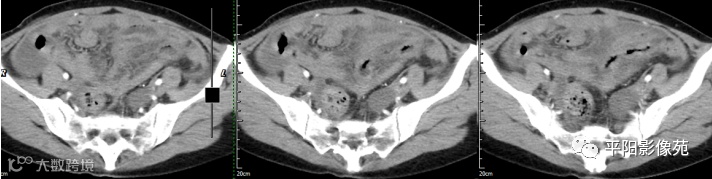
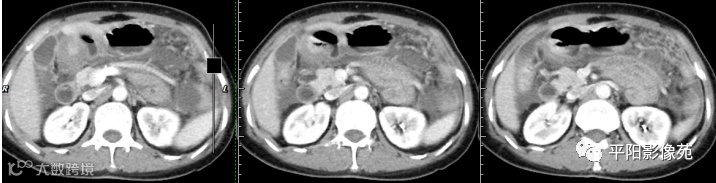
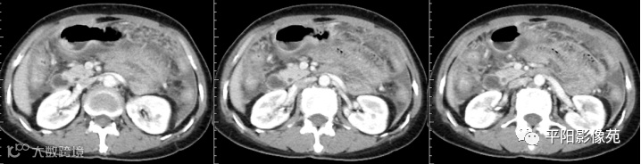
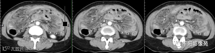
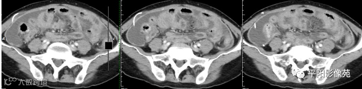
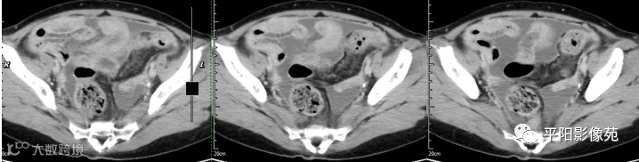
腹部增强 动脉期











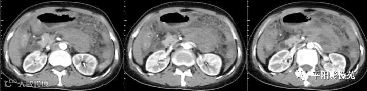
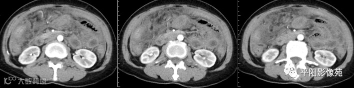
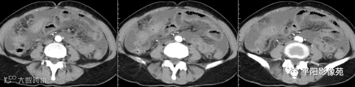
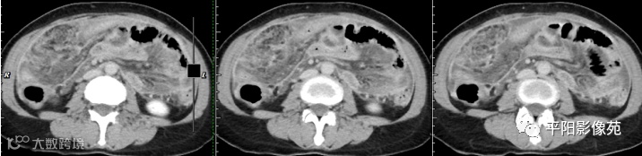
腹部增强 门脉期





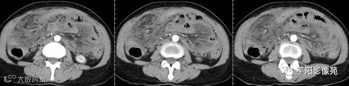
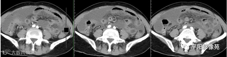
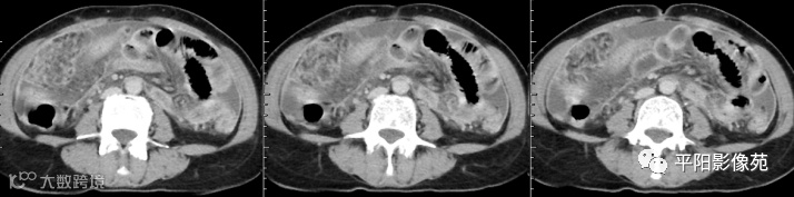
腹部增强 延迟期




病程记录
追问病史,发病前间断有午后低热,睡眠后盗汗症状
腹水穿刺:见黄色透亮腹水流出,抽出黄色透亮腹水约230ml
住院期间,PPD试验48小时,接种部位红斑直径在1.5cm,考虑为阳性,血沉增快、支持结核杆菌感染,腺苷脱氨酶值恢复正常,考虑与近期使用抗结核药物治疗相关,目前患者抗结核治疗5天后症状略有减轻,无发热,诉睡眠后出汗较多,考虑仍有结核中毒症状
讨论
结核性腹膜炎可以发生于任何年龄,但是以中青年为主,尤其是女性居多。
结核菌侵犯腹膜途径有:①直接蔓延;②淋巴、血行播散感染;③直接饮入。
常继发于肺结核、肠结核,常由粟粒型结核血行播散所致,腹内结核病灶和肠系膜淋巴结结核破裂所致
男女比例1:1.77-1:4.6。
起病缓慢,病程较长;不明原因低热2周以上并伴有腹胀、腹痛、腹泻、腹水、腹壁柔韧感(揉面感)或腹部包块等。
病理分型
渗出型(腹水型) 腹膜充血、水肿,表面覆以纤维蛋白渗出物,并由黄色或灰白色细小结核结节,可融合成较大的结节或斑块,腹腔内有程度不等的浆液纤维蛋白渗出物积聚,腹水为草黄色,少数为血性腹水(3%),偶见乳糜状腹水。
粘连型 病理表现有大量纤维增生、腹膜明显增厚,肠袢互相粘连并和其他脏器紧密缠结在一起,肠曲常因受压和束缚而发生成梗阻,大网膜亦增厚明显,蜷缩成团块。本型常在渗出型腹水吸收后形成,但是也可开始即以粘连型为主。此型腹腔内仅有少量渗出液或无渗出液。
干酪溃疡型 也称小房型,以干酪坏死为主,肠曲、大网膜、肠系膜以及腹腔内脏器相互粘连而分隔成许多小房。小房内有混浊或脓性积液,同时有干酪样坏死的肠系膜淋巴结参与其间,形成结核性脓肿。小房可向肠曲、阴道或腹腔穿破形成瘘管。本型多由渗出、粘连型演变而来,是本病的重症型。
混合型 上述两种或两种以上同时存在乃称为混合型。
实验室检查
腹穿腹水:黄色渗出液,细胞数量增多且以淋巴细胞为主;PPD试验强阳性;腹水ADA酶活性增高;结核感染T细胞检测阳性。
影像学检查
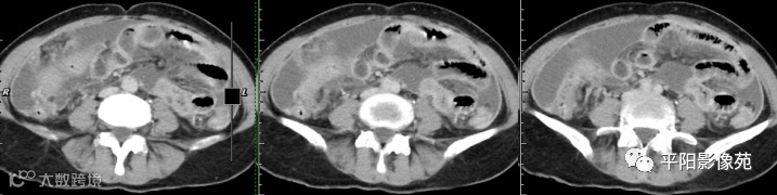
壁腹膜增厚伴或不伴腹水;增厚的腹膜光滑、均匀,呈线带状,部分可见腹膜结节,网膜及肠系膜广泛浸润性改变;增强扫描明显强化。
合并淋巴结肿大,可钙化,若中心干酪样坏死,增强扫描环形强化
纤维性或干性结核性腹膜炎:不常见,分隔性腹水、巨大网膜团块和肠袢分离或固定
分型
湿型:渗出性高密度腹水(CT值20-45HU),高密度由于高蛋白和细胞含量多可能。
干型:干酪性肠系膜淋巴结病、纤维粘连、增厚,网膜饼状改变
纤维型:网膜饼状团块
鉴别诊断
1、腹膜转移:
肿瘤病史,卵巢、胃、肠等;腹膜不规则增厚;腹膜腔软组织肿块
网膜污垢状、饼状改变;腹水;腹膜结节
2、腹膜恶性间皮瘤
起源于间皮细胞及间皮下层细胞的肿瘤,以胸膜多见,其次腹膜
老年男性常见,与石棉接触相关
恶性腹膜间皮瘤病理分:上皮型、混合型和肉瘤型
临床分弥漫型和局限型:
弥漫型:腹水、腹膜不规则增厚、广泛腹膜结节、强化明显、缺乏肿大淋巴结
局限型:囊实性为主,囊壁厚薄不均,有壁结节、肿瘤实性部分明显强化。
郭慧/文

