点击平阳影像苑
关注我们
肩袖撕裂
概念
由冈上肌、冈下肌、小圆肌、肩胛下肌肌腱组成肌腱环,分布在肩关节后、上、前方,维持肩关节稳定。
解剖
冈上肌肌腱:斜冠位、轴位显示最佳
止点位于肱骨大结节的上外侧面

冈下肌肌腱:轴位显示佳
止点位于肱骨大结节的后下方

小圆肌肌腱:轴位显示佳
指点位于肱骨大结节更下方,冈下肌肌腱下方

肩胛下肌肌腱:轴位和斜矢状位显示佳
止点位于肱骨小结节的前部

临床表现
有两个主要特征:肩部疼痛和活动障碍,特别是外展、外旋活动时。患侧抬臂力量减弱,即使只有较轻的负重,亦会导致外展或前屈困难。
早期:疼痛呈间歇性,劳作后及夜间卧位时加重,休息后减轻。
病情长:肩峰前下方与大结节之间间隙压痛,患者疼痛弧征阳性。
分类
按程度划分,分为部分撕裂(关节面撕裂、滑囊面撕裂、肌腱内撕裂)和全层撕裂。
部分撕裂:依据厚度和位置分为
Ⅰ级:宽度小于肌腱的1/4,厚度小于3mm
Ⅱ级:宽度小于肌腱的1/2,厚度约3~6mm
Ⅲ级:宽度大于肌腱的1/2,厚度约大于6mm
备注:冈上肌肌腱的关节面部分撕裂又称“PASTA”损伤,常用来描述冈上肌肌腱的3级和4级(Snyder分级)病变。冈上肌肌腱的滑囊面部分撕裂又称“反PASTA”。
全层撕裂:指肌腱的连续性中断、撕裂,从关节面延伸到滑囊面。
Snyder根据撕裂大小和复杂程度分级为:
0级:撕裂的滑囊面和关节面无交通
Ⅰ级:小孔状撕裂
Ⅱ级:一条肌腱中度撕裂(<2cm),且无肌腱回缩
Ⅲ级:整条肌腱的大范围全层撕裂(3~4cm),伴轻度撕裂端肌肉回缩
Ⅳ级:2条或以上肌腱的大范围全层撕裂,通常伴肌肉回缩和肌腱端的瘢痕形成。
MRI表现
部分撕裂主要表现有:
肩袖变细、磨损、表面不规则、肌腱内出现液性信号。MR关节造影:关节面部分撕裂可见造影剂充满裂隙;滑囊面部分撕裂和肌腱内部分撕裂的裂隙无造影剂充填。
当关节腔内存在积液时,关节面部分撕裂容易诊断,并伴有肌腱变细、磨损等征象。若无积液时,诊断较为困难,需要依靠MR关节造影提高诊断的敏感性和特异性。
滑囊面撕裂在肩峰下滑膜出现积液时较易诊断,同时伴有肌腱变细、磨损等征象。
肌腱内撕裂的特征是肌腱内出现液性信号,且不累及关节面和滑囊面,MR关节造影时造影剂不进入肌腱内。
全层撕裂主要表现有:
肌腱连续性中断,裂隙由滑囊面贯穿至关节面,信号强度近似水信号强度,伴有肌腱回缩。
MR关节造影对一些容易漏诊或误诊为部分撕裂的小全层撕裂有较高的敏感性和特异性,当存在小全层撕裂时,MR关节造影能显示肌腱连续性中断,造影剂经过裂隙进入肩峰下-三角肌下滑囊内。
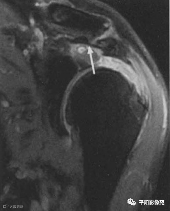
肌腱部分撕裂,示例
1、冈上肌肌腱关节面部分撕裂(Ⅲ级撕裂),造影剂进入肌腱

2、冈上肌肌腱滑囊面部分撕裂(Ⅲ级撕裂),肩峰下滑膜积液

3、冈上肌肌腱内部分撕裂,造影剂未进入肌腱

4、小圆肌关节面部分撕裂

5、肩胛下肌关节面部分撕裂

肌腱全层撕裂,示例
1、冈上肌肌腱全层撕裂,肌腱断端回缩

2、冈上肌肌腱全层撕裂,肌腱断端回缩,肩峰下-三角肌下滑囊积液

文章内容摘自《肌肉骨骼磁共振成像诊断》
笔记/樊鹏飞

