点击平阳影像苑

关注我们
病史
实验室检查



影像学检查


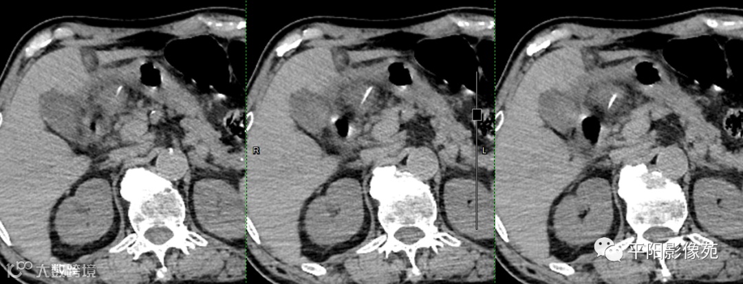
影像表现:
胃角胃壁增厚、毛糙,内侧可见一条状高密度,一端尖锐,周围可见软组织密度影包裹,边界不清。

手术记录和病理结果
手术记录
于胃角处质硬组织行钝性+锐性分离,见其中包裹一长约5cm质硬骨刺,胃角处胃壁有破损,取出骨刺
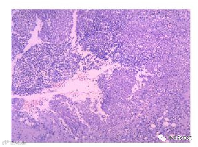
病理结果
部分胃壁)送检增生的纤维脂肪组织内可见大量急慢性炎细胞浸润,部分区域脓肿形成,边缘可见大量炎性坏死组织,结合临床符合穿孔的病理改变

讨论

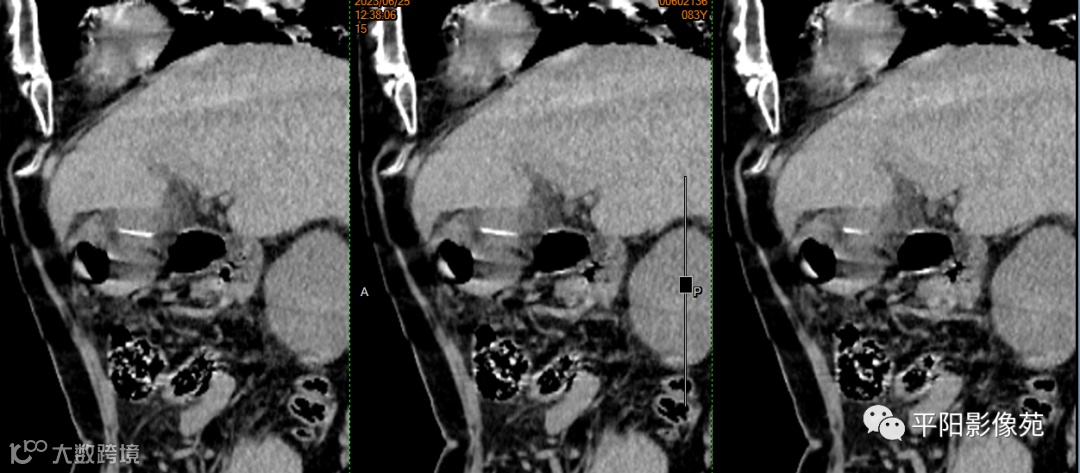
图1 A:胃幽门区鱼刺,刺破胃壁突入腹腔;B:肝左叶脓肿
鱼刺的影像特点:
条形高密度,形状规则,边界清晰
CT值约100~200HU左右,低于人类骨骼CT值的300~800 HU
局部可继发炎症,进而形成脓肿

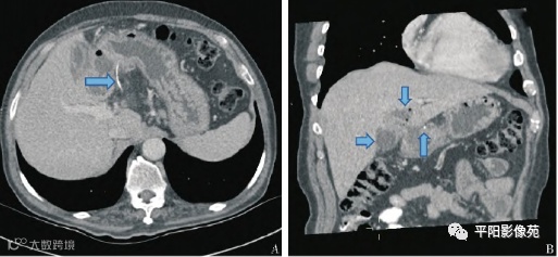
图2 鱼刺穿透胃壁刺入肝脏,伴发脓肿
总之,临床诊疗中,若怀疑胃肠道异物损伤时,要详细询问病史,明确吞咽异物的性状,并且需要影像学读片详尽描述,异物的位置、形状、大小、局部继发的病变及累及范围,帮助临床准确判断病情,及时救治。,
参考文献:
岳娜,王韶轩,解瑞金,等.鱼刺穿透胃壁继发肝脓肿1例[J].胃肠病学,2022,27(03)
陈志添,陈晖,萨本仲,等.鱼刺穿透胃壁致肝脏异物继发左肝脓肿1例[J].福建医药杂志,2021,43,(01)



