点击“平阳影像苑”关注我们!
CT
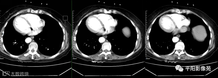
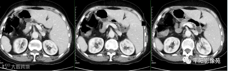
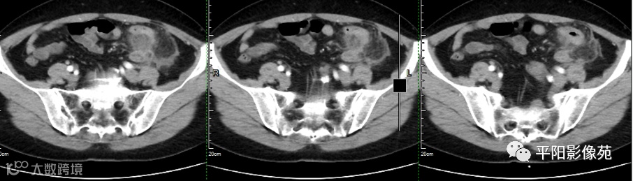
全内脏转位
1
病史
患者,女,57岁
主诉: 腹痛10余天。
现病史: 患者于10余天前无明显诱因出现腹痛,以左下腹为主,进食后明显,与体位无关,伴腹胀、纳差、乏力,偶有恶心呕吐、咳嗽咳痰,无反酸烧心,无呃逆,无吞咽困难,无口干口苦,无头晕心悸,无发热黄疸,就诊于当地诊所,给予口服“阿莫西林”、“肠炎宁”等药物,腹痛可有所缓解,但仍有反复发作。
2
实验室检查
血细胞分析(五分类)(20210425):白细胞13.20×10^9/L,血红蛋白128g/L,血小板385.00×10^9/L,中性粒细胞比率80.70%,中性粒细胞数10.66×10^9/L;CRP+LPS+血AMY(20210425):C-反应蛋白77.22mg/L,淀粉酶32.0U/L,脂肪酶32.39U/L。
3
影像检查











4
临床诊断
全内脏翻转并左侧阑尾炎
5
讨论
全内脏转位
内脏转位是一种很少见的人体内脏解剖变异,分为部分内脏转位与完全内脏转位。
完全内脏转位是指心脏、肺部、横膈及腹腔脏器等全部内脏呈180°转位,因此又被称为“镜面人”,其发生率0.5/10 000~2/10 000。
部分内脏转位患者多表现为伴有其他复杂畸形。
在内脏转位患者中,全内脏转位占86%,部分内脏转位占14%。
6
近期文献报道
中华放射学杂志, 2021,55(3): 299-300 作者:侯志彬 赵滨 王春祥
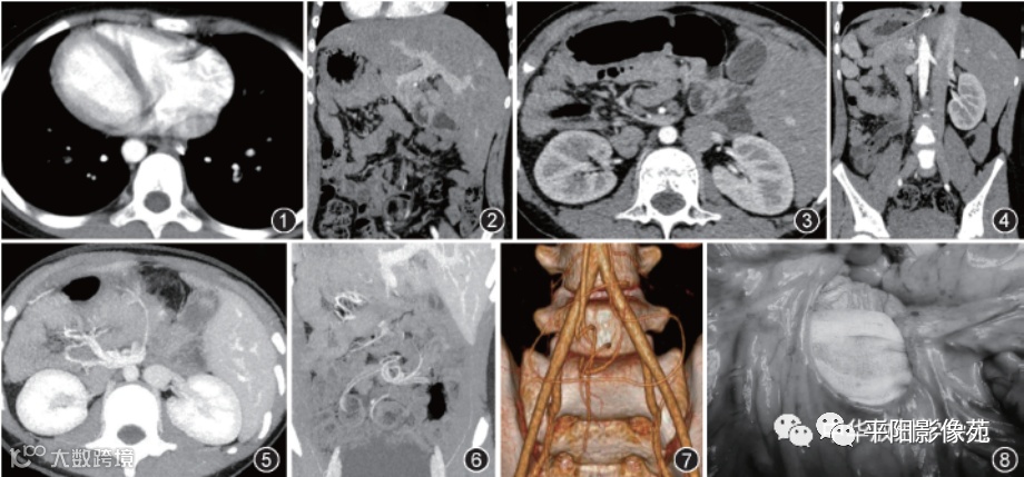
儿童罕见先天性肠系膜裂孔疝并完全内脏反位影像表现一例。
患儿男,9岁,因间断腹痛伴呕吐1天于2020年1月就诊于天津市儿童医院。患儿入院前1天出现无明显诱因下腹痛伴呕吐3~4次,胃内容物不含咖啡样物质。患儿无明显发热、寒战,大小便正常,否认家族史和传染病史。急诊超声提示全内脏转位,不除外肠扭转。体检:神志清,反应可,发育正常,营养中等,蜷缩体位,呼吸促,口唇周无发绀。腹胀,未见肠型及蠕动波,全腹部散在压痛,下腹部压痛感明显,无明显肌紧张和反跳痛,未及腹部包块,肠鸣音存在。实验室检查正常。

CT检查显示心脏、胸腹部大血管及腹腔实质脏器完全性反位(图1~3),右中腹部肠管间见无肠黏膜异常含气空腔,考虑腹内疝并肠管缺血;前方可见固定小肠襻成“C”字形,肠系膜上动脉围绕上静脉旋转,肠系膜上静脉及门静脉增粗,近段小肠扩张积液(图2,3),脾脏形态不规则伴数量异常(图4);最大密度投影及容积再现技术重组图像示肠系膜根部血管走行异常并呈“缆绳征”,远端分支血管异常旋转(图5~7)。诊断结果考虑:全内脏反位;肠扭转;腹内疝并肠管缺血不除外。术中见肠系膜上动脉与肠系膜下动脉间系膜缺如(图8),右侧脏层腹膜局限性缺如,由2条肠系膜动脉围绕形成一个巨大肠系膜裂孔,最大径约12 cm×10 cm,大部分小肠及部分结肠疝入其中并顺时针扭转540°,肠管暗红色,此段肠管复位后颜色逐渐红润,予以保留,同时修补巨大肠系膜裂孔。
郭慧/文

