点击“平阳影像苑”关注我们!
CT
结直肠穿孔
1
病史
女,68岁
主诉: 持续性下腹部疼痛9小时,伴腰背部不适。
现病史: 患者今日10时许突觉下腹部疼痛,呈绞痛,无发热、寒战,无胸憋、气短,无腹胀、腹泻,无恶心、呕吐等,病程中患者下腹部疼痛持续不缓解,阵发性加重,逐渐出现腰部疼痛不适,并伴有少量暗红色血便
2
影像检查





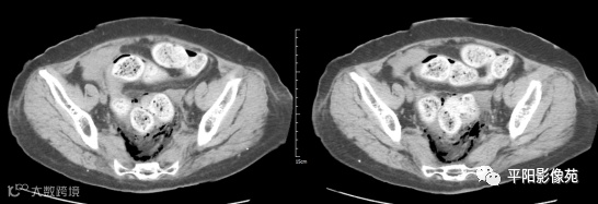
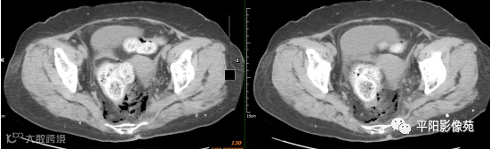
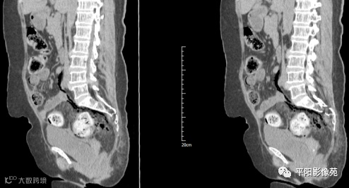
影像表现:乙状结肠前方可见不规则条状软组织密度影,边界不清,内见点状高密度;乙状结肠周围及骶前可见多发气体密度影。
3
手术记录
术中见:腹腔内有淡红色脓液液体约200ml,聚集于下腹部、盆腔,腹膜反折上方直肠可及约8.0*8.0*8.0cm肿物,质韧,光滑,界清,局部直肠系膜坏死、色黑、有脓液及气体自系膜坏死区域溢出,伴粪臭味,横结肠、降结肠及乙状结肠内有大量干粪块。吸尽脓液,探查肝脏左右叶、网膜、腹膜均未见肿瘤及转移结节,术中诊断:直肠穿孔。遂决定行直肠切除、乙状结肠造瘘术。
标本肉眼:剖开标本可见位于腹膜反折上方约3cm处,直肠系膜侧肠壁有一约5cm纵行裂口,大量粪块经此裂口进入直肠系膜内,裂口周围直肠粘膜略有质韧、局部组织肿胀,未见明显肿瘤存在。
4
病理结果

5
讨论
结直肠穿孔是指非外力作用引起的结直肠穿孔,常见病因包括结直肠肿瘤、自发性结直肠穿孔、炎症性肠病、结肠憩室炎、结肠血管病变、创伤性等。
⑴自发性穿孔 (又称特发性穿孔),结直肠本身无病变或损伤而突发的穿孔,易继发腹膜炎 。好发于 老年男性,有长期便秘史或腹内压增高史,尤其合并脑血管疾病及糖尿病患者好发于肠腔内径变窄处,即乙状结肠或直乙状结肠交界处,其特点是肠壁黏膜呈慢性炎性病理学改变。
⑵粪性穿孔:因结肠内积聚大量干结粪块压迫肠黏膜引发缺血坏死形成溃疡及穿孔。穿孔部位与自发性穿孔部位基本相同,常大便用力时出现,位于肠管系膜的对侧,因此处血供差,肠壁薄。
⑶缺血性结肠穿孔:因结直肠壁缺血、缺氧,导致肠壁坏死而发生穿孔。多见于心血管疾病或动脉硬化及血栓形成引起的血管闭塞及狭窄,心功能不全的患者。当伴有糖尿病及慢性呼吸系统等疾病,会进一步加重结直肠壁缺血、缺氧。
⑷结肠憩室穿孔:多见于老年人,肠道蠕动功能减退,免疫力低下,易引起异物存留感染,从而继发周围肠壁的炎性反应或局部的脓肿时可引起穿孔导致弥漫性腹膜炎。
⑸炎性结直肠病穿孔:包括溃疡性结肠炎、克隆病等结直肠非特异性炎性反应,均可以引起结直肠壁黏膜组织的缺血、坏死甚至穿孔。
⑹乙状结肠扭转致肠绞窄坏死穿孔:它不是结直肠穿孔的直接原因,但易引起肠扭转或肠管高度扩张,致肠腔压力增大,肠壁受压缺血坏死,导致穿孔。
临床表现:主要是持续性腹痛,腹痛程度不同,可伴有腹胀等症状;体格检查:可触及局部或全腹部压痛,反跳痛,可有腹肌紧张。
影像表现:主要特点是腹腔内游离气体,可见肠壁增厚,边缘模糊,周围脂肪间隙模糊不清,并见不规则片状低密度,有粪石漏出时可见结节状高密度。
参考文献
严建刚,耿 荻,周词平,等.老年人结直肠穿孔临床分析[J].云南医药,2021,42(3)
杨阳,张春霞,刘建磊,等.非创伤性结直肠穿孔病因分析及治疗体会[J].腹部外科,2020,33(6)
赵 猛,刘 海 彬.肠 破 裂4 1例 诊 治 体 会[J].中国实用外科杂志,2011,31(1)
郭慧/文

