
点击上面“平阳影像苑”关注我们

1
01
病史


02
实验室检查


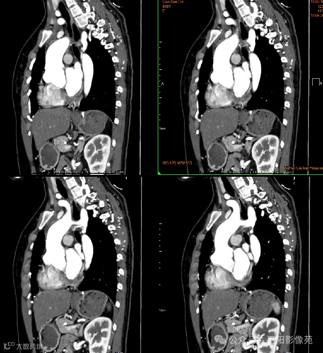
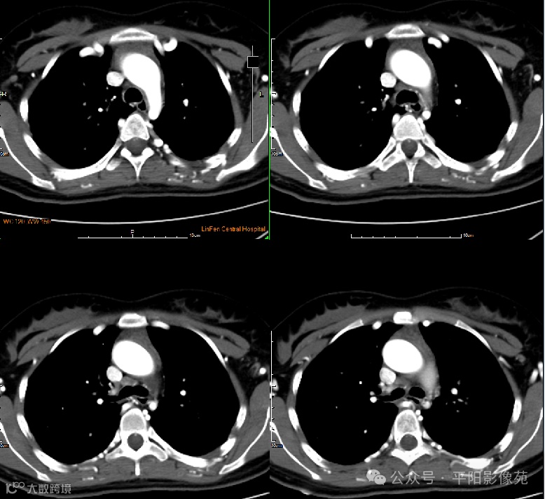
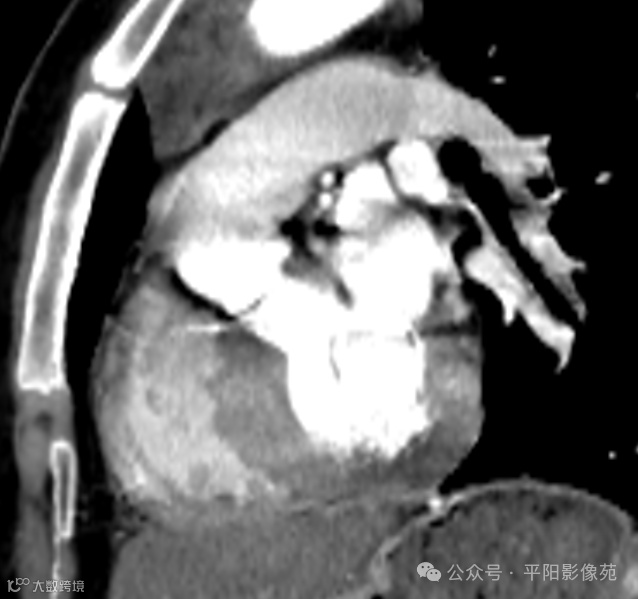
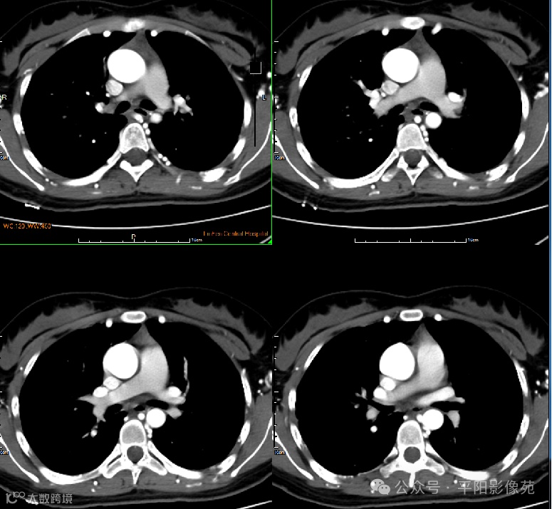
03
影像检查


04
病理结果

主动脉弓离断合并室间隔缺损

05
讨论


平阳影像苑
点击上面“平阳影像苑”关注我们

1
01
病史


02
实验室检查


03
影像检查


04
病理结果

主动脉弓离断合并室间隔缺损

05
讨论

