点击上面“平阳影像苑”关注我们
1
01
病史
男,57岁
主诉: 间断胸憋、胸痛4天,加重4小时余
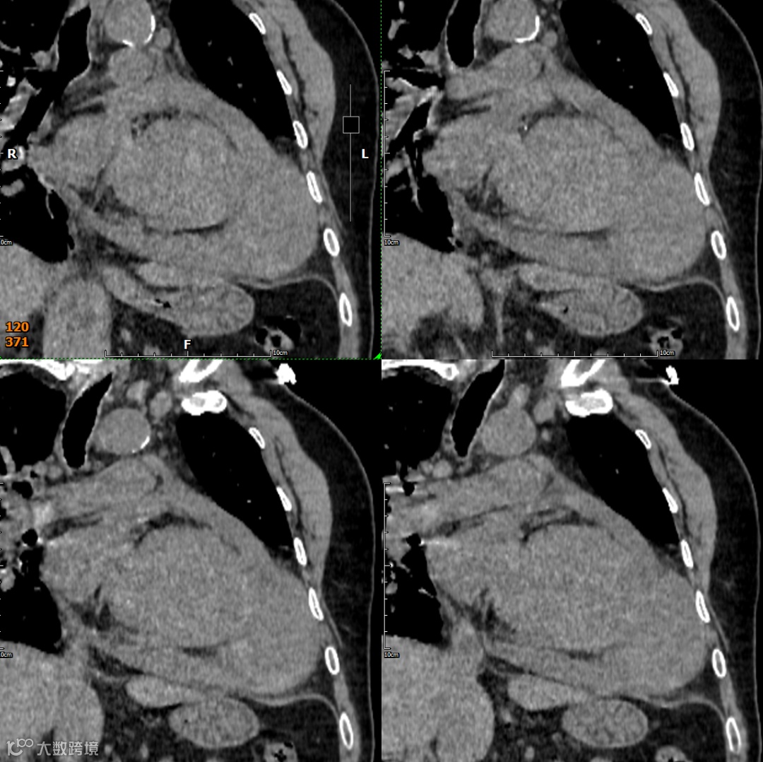
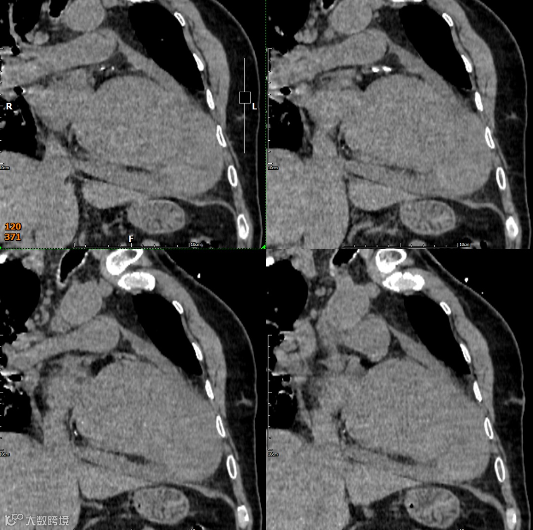
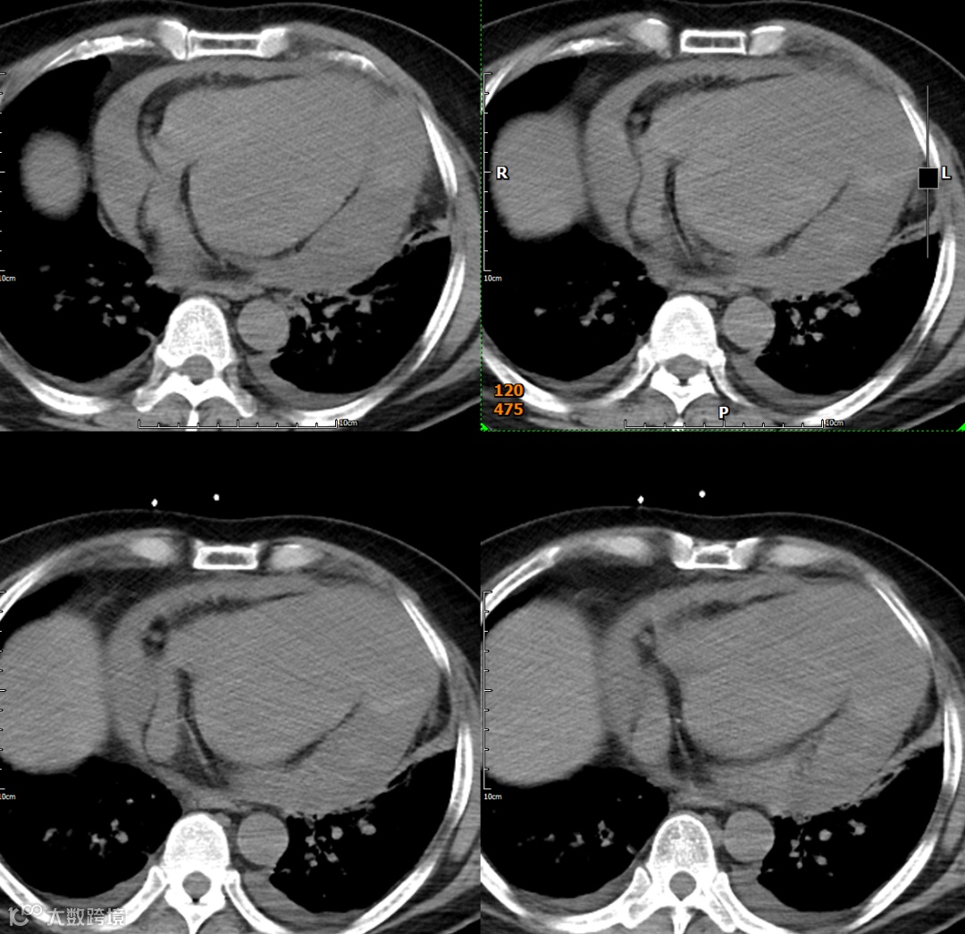
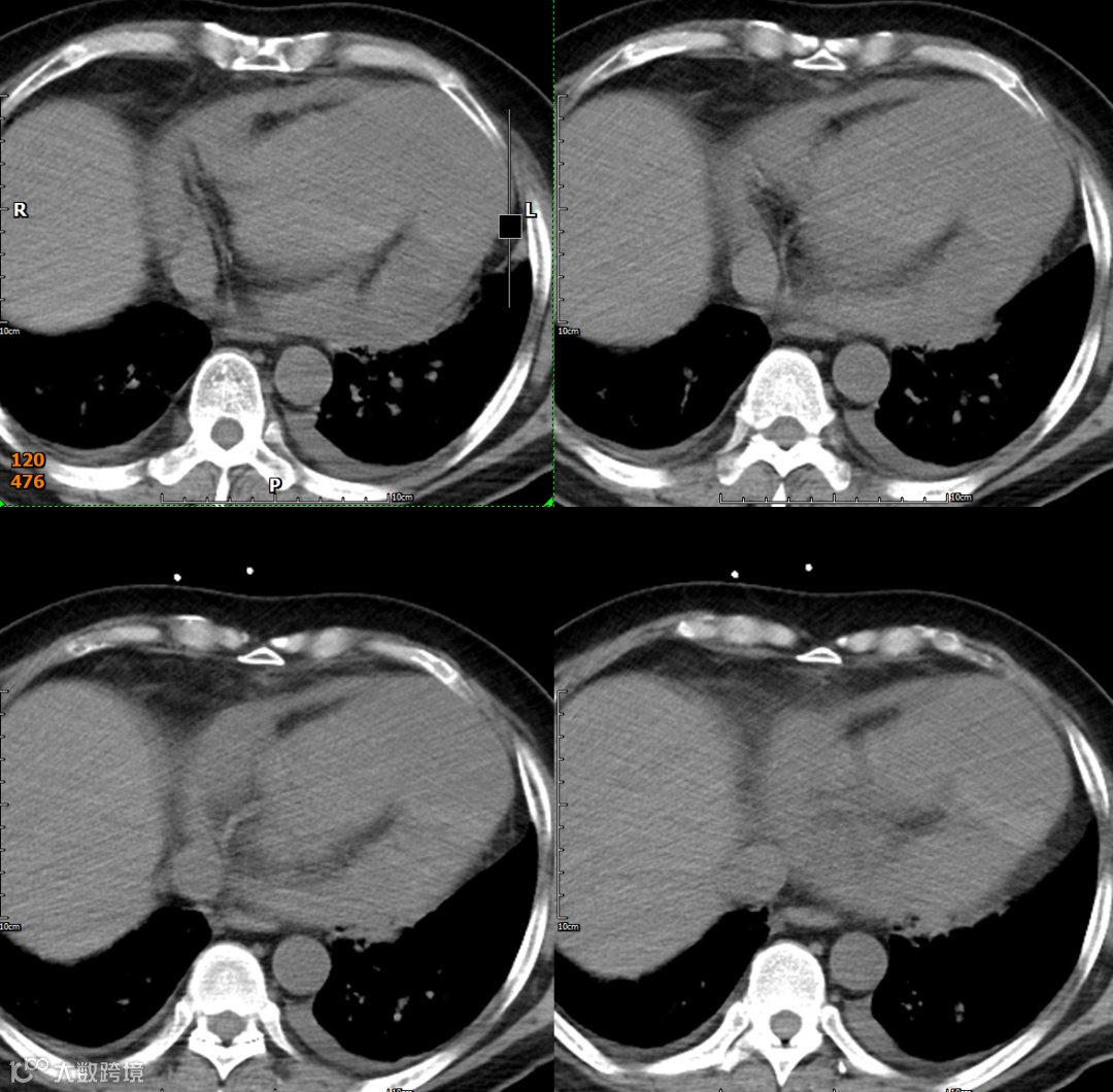
现病史: 患者4天前无明显诱因出现胸憋、胸痛、气短,并向后背放射,无咳嗽、发热,未行特殊处理,近4小时来患者觉症状加重,持续不缓解,就诊予我院急诊,心脏彩超(心超室):左心增大 前间隔、左室前壁基底段至心尖部节段性运动异常 左室心尖部异常回声 考虑假性室壁瘤 建议密切复查。
02
影像学检查
04
病理结果
手术记录:纵劈胸骨正中开胸,悬吊心包,见左室明显增大,心尖部假性室壁瘤形成,大小约10cm×6cm,并与左侧心包粘连,分离室壁瘤粘连,切开假性室壁瘤见左室壁破口约8cm,切除室壁瘤体坏死变薄心肌组织
05
讨论
心肌室壁瘤与假性室壁瘤
【概述】
在冠心病患者的长期随访中,心肌梗死后心脏结构的改变是需要我们影像科医生高度关注的重点。其中,心肌室壁瘤 (Left Ventricular Aneurysm, LVA) 和假性室壁瘤 (Left Ventricular Pseudoaneurysm, LVPA) 是两种具有重要临床意义的并发症。虽然名称相似,且都与心肌梗死后心室壁局部膨出相关,但其本质、风险及影像表现却大相径庭。前者是心肌被瘢痕替代的结果,相对“稳定”;而后者则是心脏破裂被包裹形成的“定时炸弹”,具有极高的破裂风险,需要紧急干预。
【发病机制】
真性室壁瘤 (LVA):
核心原因:透壁性心肌梗死(通常累及左心室前壁心尖部或下壁)。大面积心肌细胞缺血、坏死。
形成过程:坏死的心肌组织在愈合过程中被无收缩功能的致密纤维瘢痕组织取代。心室壁变薄、失去弹性。
形态特征:在心脏收缩和舒张期,该区域均呈矛盾运动(收缩期向外膨出,舒张期不向内回缩)或运动消失(无运动)。瘤壁虽然薄,但仍由心肌瘢痕组织及其表面的心外膜(心包脏层)构成,通常没有急性破裂的风险。可以理解为心肌组织被“瘢痕”撑开形成的永久性膨隆。
假性室壁瘤 (LVPA):
核心原因:急性透壁性心肌梗死导致心室游离壁破裂。
形成过程:破裂口被迅速形成的心包血栓、机化组织以及粘连的心包壁层所包裹、封闭。心脏血液通过破口流入由心包和纤维组织构成的囊腔中,这个囊腔通过一个通常较窄的“颈”与左心室腔相通。
形态特征:其“瘤壁”不包含任何心肌成分,仅由心包、血栓和纤维组织构成,极其脆弱。可以理解为一个被“粘合”住的心脏破口,外面挂着一个薄壁的“血袋”,随时有再次破裂导致致命性心包填塞的危险。
【临床表现】
真性室壁瘤通常病情相对稳定,破裂风险极低。假性室壁瘤则极其不稳定,具有极高的自发破裂风险(可达30-45%),常导致猝死或急性心包填塞。真性室壁瘤通常在心肌梗死后数周至数月逐渐形成。假性室壁瘤常发生在急性心梗后早期(几天到几周),但也可能在后期被发现。假性室壁瘤若瘤体较大,有时可在心前区闻及收缩期杂音(血流通过狭窄的瘤颈进出),但并非特异性。
【影像学表现】
心脏CT血管成像 (Cardiac CTA): *
真性室壁瘤 (LVA):
形态与位置:左心室局部囊状或宽基底向外膨出,常见于心尖部。膨出部分与左心室腔无明显界限。
瘤壁:变薄,但仍可见(虽然密度可能减低,提示纤维化)。CT可清晰显示瘤壁内(通常为心外膜下)或心腔内附壁血栓(低密度充盈缺损)。
瘤颈:宽大,与左心室腔自由交通。
运动(如行回顾性心电门控):可观察到矛盾运动。
假性室壁瘤 (LVPA):
形态与位置:与左心室腔相邻的囊状、球状或葫芦状对比剂充盈腔。特征性的窄瘤颈是其关键。位置常在心包反折附近(下壁、后壁、侧壁)。
瘤壁:菲薄,无心肌密度!主要由心包(可能钙化)和血栓(不强化或延迟强化)构成。
瘤颈:清晰可见的、狭窄的开口(如瓶颈状)将假性瘤腔与左心室腔相连。破口处心室壁中断是直接征象。
腔内:可见对比剂充盈,内常有血栓(充盈缺损)。
心包:局部心包增厚、粘连、积液常见。瘤体常部分嵌入心包内。
多平面重建(MPR)与三维重建(3D): 对于清晰显示瘤颈的形态、大小、位置以及与左心室壁的关系至关重要。

